KAP1抗体 [N3C2], Internal

目录号 GTX102226
目录号  GTX102226
Anti-KAP1 antibody [N3C2], Internal used in Immunoprecipitation (IP). GTX102226
GTX102226 IP Image

KAP1 antibody immunoprecipitates KAP1 protein in IP experiments. IP Sample: 1000 μg HeLa whole cell lysate/extract A. 50 μg HeLa whole cell lysate/extract B. Control with 2 μg of preimmune rabbit IgG C. Immunoprecipitation of KAP1 protein by 2 μg of KAP1 antibody (GTX102226) 7.5% SDS-PAGE The immunoprecipitated KAP1 protein was detected by KAP1 antibody (GTX102226) diluted at 1:1000. EasyBlot anti-rabbit IgG (GTX221666-01) was used as a secondary reagent.

1 / 9
Anti-KAP1 antibody [N3C2], Internal used in Immunocytochemistry/ Immunofluorescence (ICC/IF). GTX102226
GTX102226 ICC/IF Image

KAP1 antibody [N3C2], Internal detects KAP1 protein at nucleus by immunofluorescent analysis.
Sample: HeLa cells were fixed in 4% paraformaldehyde at RT for 15 min.
Green: KAP1 stained by KAP1 antibody [N3C2], Internal (GTX102226) diluted at 1:2000.
Red: phalloidin, a cytoskeleton marker, diluted at 1:200.
Scale bar= 10 μm.

2 / 9
Anti-KAP1 antibody [N3C2], Internal used in Western Blot (WB). GTX102226
GTX102226 WB Image

Various whole cell extracts (30 μg) were separated by 5% SDS-PAGE, and the membrane was blotted with KAP1 antibody [N3C2], Internal (GTX102226) diluted at 1:10000. The HRP-conjugated anti-rabbit IgG antibody (GTX213110-01) was used to detect the primary antibody.

3 / 9
Anti-KAP1 antibody [N3C2], Internal used in Western Blot (WB). GTX102226
GTX102226 WB Image

Sample (30 μg of whole cell lysate)
A:NIH-3T3
7.5% SDS PAGE
GTX102226 diluted at 1:1000
The HRP-conjugated anti-rabbit IgG antibody (GTX213110-01) was used to detect the primary antibody.

4 / 9
Anti-KAP1 antibody [N3C2], Internal used in IHC (Paraffin sections) (IHC-P). GTX102226
GTX102226 IHC-P Image

KAP1 antibody [N3C2], Internal detects KAP1 protein at nucleus by immunohistochemical analysis.
Sample: Paraffin-embedded mouse intestine.
KAP1 stained by KAP1 antibody [N3C2], Internal (GTX102226) diluted at 1:500.
Antigen Retrieval: Citrate buffer, pH 6.0, 15 min

5 / 9
Anti-KAP1 antibody [N3C2], Internal used in ChIP assay (ChIP assay). GTX102226
GTX102226 ChIP assay Image

ChIP assay followed by QPCR on a known KAP1-binding region
within the ZNF180 3’UTR (Mol Cell Biol, 2011, Lyengar et al)

6 / 9
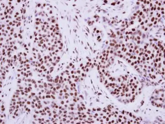
Anti-KAP1 antibody [N3C2], Internal used in IHC (Paraffin sections) (IHC-P). GTX102226
GTX102226 IHC-P Image

KAP1 antibody [N3C2], Internal detects KAP1 protein at nucleus by immunohistochemical analysis.
Sample: Paraffin-embedded mouse colon.
KAP1 stained by KAP1 antibody [N3C2], Internal (GTX102226) diluted at 1:500.
Antigen Retrieval: Citrate buffer, pH 6.0, 15 min

7 / 9
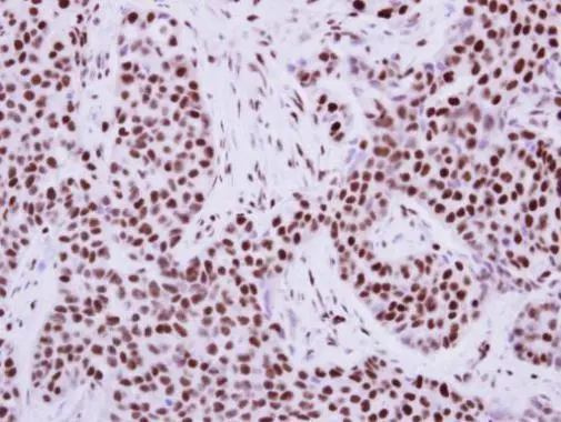
Anti-KAP1 antibody [N3C2], Internal used in IHC (Paraffin sections) (IHC-P). GTX102226
GTX102226 IHC-P Image

Immunohistochemical analysis of paraffin-embedded human breast cancer, using KAP1(GTX102226) antibody at 1:500 dilution.
Antigen Retrieval: Trilogy™ (EDTA based, pH 8.0) buffer, 15min

8 / 9
Anti-KAP1 antibody [N3C2], Internal used in Western Blot (WB). GTX102226
GTX102226 WB Image

The data was published in the journal Nutrients in 2018.PMID: 30200495

9 / 9
Anti-KAP1 antibody [N3C2], Internal used in Immunoprecipitation (IP). GTX102226
Anti-KAP1 antibody [N3C2], Internal used in Immunocytochemistry/ Immunofluorescence (ICC/IF). GTX102226
Anti-KAP1 antibody [N3C2], Internal used in Western Blot (WB). GTX102226
Anti-KAP1 antibody [N3C2], Internal used in Western Blot (WB). GTX102226
Anti-KAP1 antibody [N3C2], Internal used in IHC (Paraffin sections) (IHC-P). GTX102226
Anti-KAP1 antibody [N3C2], Internal used in ChIP assay (ChIP assay). GTX102226
Anti-KAP1 antibody [N3C2], Internal used in IHC (Paraffin sections) (IHC-P). GTX102226
Anti-KAP1 antibody [N3C2], Internal used in IHC (Paraffin sections) (IHC-P). GTX102226
Anti-KAP1 antibody [N3C2], Internal used in Western Blot (WB). GTX102226
  • 宿主
    Rabbit
  • 克隆
    Polyclonal
  • 同种型
    IgG
  • 实验应用
    WB ICC/IF IHC-P IP ChIP assay
  • 种属反应
    Human, Mouse
查看所有 KAP1 的产品