LDHA抗体

目录号 GTX101416
目录号  GTX101416
Anti-LDHA antibody used in Western Blot (WB). GTX101416
GTX101416 WB Image

Various whole cell extracts (30 μg) were separated by 12% SDS-PAGE, and the membrane was blotted with LDHA antibody (GTX101416) diluted at 1:1000. The HRP-conjugated anti-rabbit IgG antibody (GTX213110-01) was used to detect the primary antibody.

1 / 14
Anti-LDHA antibody used in Western Blot (WB). GTX101416
GTX101416 WB Image

Various whole cell extracts (30 μg) were separated by 12% SDS-PAGE, and the membrane was blotted with LDHA antibody (GTX101416) diluted at 1:1000. The HRP-conjugated anti-rabbit IgG antibody (GTX213110-01) was used to detect the primary antibody.

2 / 14
Anti-LDHA antibody used in Western Blot (WB). GTX101416
GTX101416 WB Image

LDHA antibody detects LDHA protein by western blot analysis. Various whole cell extracts (30 μg) were separated by 10% SDS-PAGE, and the membrane was blotted with LDHA antibody (GTX101416) diluted at 1:1000. The HRP-conjugated anti-rabbit IgG antibody (GTX213110-01) was used to detect the primary antibody.

3 / 14
Anti-LDHA antibody used in Immunocytochemistry/ Immunofluorescence (ICC/IF). GTX101416
GTX101416 ICC/IF Image

LDHA antibody detects LDHA protein at cytoplasm by immunofluorescent analysis.
Sample: HeLa cells were fixed in 4% paraformaldehyde at RT for 15 min.
Green: LDHA protein stained by LDHA antibody (GTX101416) diluted at 1:1000.
Red: phalloidin, a cytoskeleton marker, stained by phalloidin (invitrogen, A12380) diluted at 1:200.
Blue: Hoechst 33342 staining.

4 / 14
Anti-LDHA antibody used in Western Blot (WB). GTX101416
GTX101416 WB Image

LDHA antibody detects LDHA protein by western blot analysis.
A. 30 μg PC-12 whole cell lysate/extract
B. 30 μg Rat2 whole cell lysate/extract
10% SDS-PAGE
LDHA antibody (GTX101416) dilution: 1:1000
The HRP-conjugated anti-rabbit IgG antibody (GTX213110-01) was used to detect the primary antibody.

5 / 14
Anti-LDHA antibody used in Immunocytochemistry/ Immunofluorescence (ICC/IF). GTX101416
GTX101416 ICC/IF Image

LDHA antibody detects LDHA protein at cytoplasm by immunofluorescent analysis.
Sample: MCF7 cells were fixed in 4% paraformaldehyde at RT for 15 min.
Green: LDHA protein stained by LDHA antibody (GTX101416) diluted at 1:1000.
Red: phalloidin, a cytoskeleton marker, stained by phalloidin (invitrogen, A12380) diluted at 1:200.
Blue: Hoechst 33342 staining.

6 / 14
Anti-LDHA antibody used in Immunocytochemistry/ Immunofluorescence (ICC/IF). GTX101416
GTX101416 ICC/IF Image

Immunofluorescence analysis of methanol-fixed A431, using LDHA(GTX101416) antibody at 1:500 dilution.

7 / 14
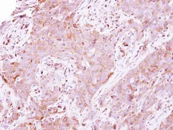
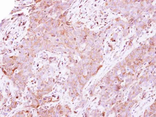
Anti-LDHA antibody used in IHC (Paraffin sections) (IHC-P). GTX101416
GTX101416 IHC-P Image

Immunohistochemical analysis of paraffin-embedded human lung papillory adenocarcinoma, using LDHA(GTX101416) antibody at 1:500 dilution.
Antigen Retrieval: Trilogy™ (EDTA based, pH 8.0) buffer, 15min

8 / 14
Anti-LDHA antibody used in Western Blot (WB). GTX101416
GTX101416 WB Image

LDHA antibody detects LDHA protein by western blot analysis.
A. 30 μg Neuro2A whole cell lysate/extract
B. 30 μg C8D30 whole cell lysate/extract
C. 30 μg NIH-3T3 whole cell lysate/extract
D. 30 μg Raw264.7 whole cell lysate/extract
E. 30 μg C2C12 whole cell lysate/extract
10% SDS-PAGE
LDHA antibody (GTX101416) dilution: 1:1000
The HRP-conjugated anti-rabbit IgG antibody (GTX213110-01) was used to detect the primary antibody.

9 / 14
Anti-LDHA antibody used in IHC (Paraffin sections) (IHC-P). GTX101416
GTX101416 IHC-P Image

LDHA antibody detects LDHA protein at cytoplasm by immunohistochemical analysis.
Sample: Paraffin-embedded mouse liver.
LDHA stained by LDHA antibody (GTX101416) diluted at 1:500.
Antigen Retrieval: Citrate buffer, pH 6.0, 15 min

10 / 14
Anti-LDHA antibody used in Western Blot (WB). GTX101416
GTX101416 WB Image

The data was published in the journal PLoS One in 2017. PMID: 29045486

11 / 14
Anti-LDHA antibody used in Western Blot (WB). GTX101416
GTX101416 WB Image

The data was published in the journal PLoS One in 2017. PMID: 29045486

12 / 14
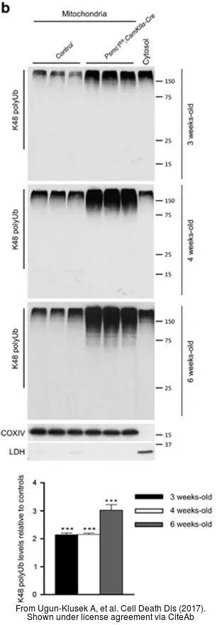
Anti-LDHA antibody used in Western Blot (WB). GTX101416
GTX101416 WB Image

The data was published in the journal Cell Death Dis in 2017. PMID: 28055010

13 / 14
Anti-LDHA antibody used in Western Blot (WB). GTX101416
GTX101416 WB Image

The data was published in the 2022 in Int J Mol Sci. PMID: 35328751

14 / 14
Anti-LDHA antibody used in Western Blot (WB). GTX101416
Anti-LDHA antibody used in Western Blot (WB). GTX101416
Anti-LDHA antibody used in Western Blot (WB). GTX101416
Anti-LDHA antibody used in Immunocytochemistry/ Immunofluorescence (ICC/IF). GTX101416
Anti-LDHA antibody used in Western Blot (WB). GTX101416
Anti-LDHA antibody used in Immunocytochemistry/ Immunofluorescence (ICC/IF). GTX101416
Anti-LDHA antibody used in Immunocytochemistry/ Immunofluorescence (ICC/IF). GTX101416
Anti-LDHA antibody used in IHC (Paraffin sections) (IHC-P). GTX101416
Anti-LDHA antibody used in Western Blot (WB). GTX101416
Anti-LDHA antibody used in IHC (Paraffin sections) (IHC-P). GTX101416
Anti-LDHA antibody used in Western Blot (WB). GTX101416
Anti-LDHA antibody used in Western Blot (WB). GTX101416
Anti-LDHA antibody used in Western Blot (WB). GTX101416
Anti-LDHA antibody used in Western Blot (WB). GTX101416
  • 宿主
    Rabbit
  • 克隆
    Polyclonal
  • 同种型
    IgG
  • 实验应用
    WB ICC/IF IHC-P
  • 种属反应
    Human, Mouse, Rat
摘要
LDHA facilitates glycolytic flux by converting pyruvate to lactate and NADH to NAD+. It is primarily cytoplasmic, but is also found in mitochondria and the nucleus. In addition to its metabolic function, LDHA is also a single‐stranded DNA‐binding protein participating in DNA duplication and transcription. Elevated expression of LDHA is observed in various cancers.
查看所有 LDHA 的产品