Leptin抗体

目录号 GTX109204
目录号  GTX109204
Anti-Leptin antibody used in Western Blot (WB). GTX109204
GTX109204 WB Image

MCF-7 whole cell and membrane extracts (30 μg) were separated by 15% SDS-PAGE, and the membrane was blotted with Leptin antibody (GTX109204) diluted at 1:1000. The HRP-conjugated anti-rabbit IgG antibody (GTX213110-01) was used to detect the primary antibody.

1 / 5
Anti-Leptin antibody used in Western Blot (WB). GTX109204
GTX109204 WB Image

Non-transfected (–) and transfected (+) 293T whole cell extracts (30 μg) were separated by 15% SDS-PAGE, and the membrane was blotted with Leptin antibody (GTX109204) diluted at 1:1000. The HRP-conjugated anti-rabbit IgG antibody (GTX213110-01) was used to detect the primary antibody.

2 / 5
Anti-Leptin antibody used in Western Blot (WB). GTX109204
GTX109204 WB Image

Leptin antibody detects Leptin protein by Western blot analysis.
A. 30 μg MCF-7 whole cell lysate/extract
B. 30 μg MDA-MB-231 whole cell lysate/extract
12 % SDS-PAGE
Leptin antibody (GTX109204) dilution: 1:1000

3 / 5
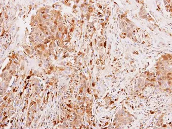
Anti-Leptin antibody used in IHC (Paraffin sections) (IHC-P). GTX109204
GTX109204 IHC-P Image

Leptin antibody detects Leptin protein at cytoplasm by immunohistochemical analysis.
Sample: Paraffin-embedded mouse adrenal gland.
Leptin stained by Leptin antibody (GTX109204) diluted at 1:500.
Antigen Retrieval: Citrate buffer, pH 6.0, 15 min

4 / 5
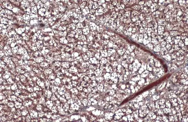
Anti-Leptin antibody used in IHC (Paraffin sections) (IHC-P). GTX109204
GTX109204 IHC-P Image

Leptin antibody detects Leptin protein at secreted on human lung papillary adenocarcinoma by immunohistochemical analysis.
Sample: Paraffin-embedded human lung papillary adenocarcinoma.
Leptin antibody (GTX109204) diluted at 1:250.

Antigen Retrieval: Trilogy™ (EDTA based, pH 8.0) buffer, 15min

5 / 5
Anti-Leptin antibody used in Western Blot (WB). GTX109204
Anti-Leptin antibody used in Western Blot (WB). GTX109204
Anti-Leptin antibody used in Western Blot (WB). GTX109204
Anti-Leptin antibody used in IHC (Paraffin sections) (IHC-P). GTX109204
Anti-Leptin antibody used in IHC (Paraffin sections) (IHC-P). GTX109204
  • 宿主
    Rabbit
  • 克隆
    Polyclonal
  • 同种型
    IgG
  • 实验应用
    WB IHC-P
  • 种属反应
    Human, Mouse
查看所有 Leptin 的产品