MAP2抗体

目录号 GTX133109
目录号  GTX133109
Anti-MAP2 antibody used in IHC (Paraffin sections) (IHC-P). GTX133109
GTX133109 IHC-P Image

MAP2 antibody detects MAP2 protein by immunohistochemical analysis.
Sample: Paraffin-embedded mouse cerebellum.
Green: MAP2 stained by MAP2 antibody (GTX133109) diluted at 1:500.
Red: beta Tubulin 3/ Tuj1 antibody [GT11710] (GTX631836) diluted at 1:500.
Blue: Fluoroshield with DAPI (GTX30920).
Antigen Retrieval: Citrate buffer, pH 6.0, 15 min

1 / 13
Anti-MAP2 antibody used in IHC (Paraffin sections) (IHC-P). GTX133109
GTX133109 IHC-P Image

MAP2 antibody detects MAP2 protein by immunohistochemical analysis.
Sample: Paraffin-embedded rat cerebellum.
Green: MAP2 stained by MAP2 antibody (GTX133109) diluted at 1:500.
Red: beta Tubulin 3/ Tuj1 antibody [GT11710] (GTX631836) diluted at 1:500.
Blue: Fluoroshield with DAPI (GTX30920).
Antigen Retrieval: Citrate buffer, pH 6.0, 15 min

2 / 13
Anti-MAP2 antibody used in IHC (Paraffin sections) (IHC-P). GTX133109
GTX133109 IHC-P Image

MAP2 antibody detects MAP2 protein by immunohistochemical analysis.
Sample: Paraffin-embedded mouse cortex.
Green: MAP2 stained by MAP2 antibody (GTX133109) diluted at 1:2000.
Red: beta Tubulin 3/ Tuj1 antibody [GT11710] (GTX631836) diluted at 1:500.
Blue: Fluoroshield with DAPI (GTX30920).
Antigen Retrieval: Citrate buffer, pH 6.0, 15 min

3 / 13
Anti-MAP2 antibody used in Western Blot (WB). GTX133109
GTX133109 WB Image

Rat tissue extract (50 μg) was separated by 5% SDS-PAGE, and the membrane was blotted with MAP2 antibody (GTX133109) diluted at 1:3000. The HRP-conjugated anti-rabbit IgG antibody (GTX213110-01) was used to detect the primary antibody.

4 / 13
Anti-MAP2 antibody used in Western Blot (WB). GTX133109
GTX133109 WB Image

Mouse tissue extract (50 μg) was separated by 5% SDS-PAGE, and the membrane was blotted with MAP2 antibody (GTX133109) diluted at 1:3000. The HRP-conjugated anti-rabbit IgG antibody (GTX213110-01) was used to detect the primary antibody.

5 / 13
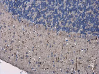
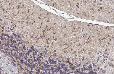
Anti-MAP2 antibody used in IHC (Paraffin sections) (IHC-P). GTX133109
GTX133109 IHC-P Image

MAP2 antibody detects MAP2 protein at cytoplasm by immunohistochemical analysis.
Sample: Paraffin-embedded mouse cerebellum.
MAP2 stained by MAP2 antibody (GTX133109) diluted at 1:500.
Antigen Retrieval: Citrate buffer, pH 6.0, 15 min

6 / 13
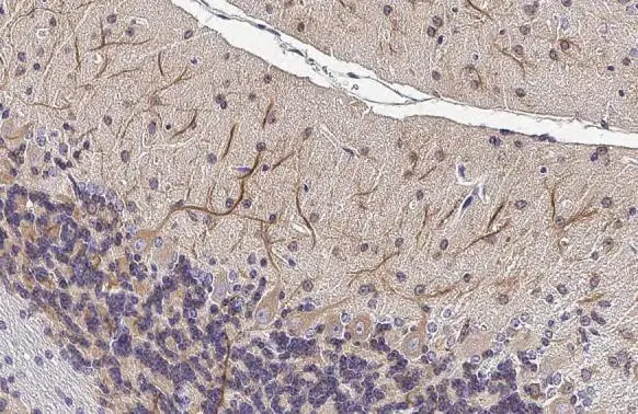
Anti-MAP2 antibody used in IHC (Paraffin sections) (IHC-P). GTX133109
GTX133109 IHC-P Image

MAP2 antibody detects MAP2 protein at cytoplasm by immunohistochemical analysis.
Sample: Paraffin-embedded rat cerebellum.
MAP2 stained by MAP2 antibody (GTX133109) diluted at 1:500.
Antigen Retrieval: Citrate buffer, pH 6.0, 15 min

7 / 13
Anti-MAP2 antibody used in IHC (Paraffin sections) (IHC-P). GTX133109
GTX133109 IHC-P Image

MAP2 antibody detects MAP2 protein at cytoplasm in mouse brain by immunohistochemical analysis.
Sample: Paraffin-embedded mouse brain.
MAP2 antibody (GTX133109) diluted at 1:500.

Antigen Retrieval: Citrate buffer, pH 6.0, 15 min

8 / 13
Anti-MAP2 antibody used in Immunocytochemistry/ Immunofluorescence (ICC/IF). GTX133109
GTX133109 ICC/IF Image

MAP2 antibody detects MAP2 protein in dendrites, but not in axons, by immunofluorescent analysis .
Sample: DIV9 rat E18 primary cortical neurons were fixed in 4% paraformaldehyde at RT for 15 min.
Grenn: MAP2 protein stained by MAP2 antibody (GTX133109) diluted at 1:500.
Red (Top right): Dendrites, stained by MAP2 antibody [HM-2] (GTX11267) diluted at 1:1000.
Red (Bottom right): Axons, stained by Tau antibody (GTX49353 ) diluted at 1:500.
Blue: Fluoroshield with DAPI (GTX30920).

9 / 13
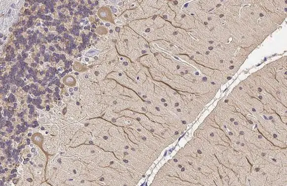
Anti-MAP2 antibody used in IHC (Paraffin sections) (IHC-P). GTX133109
GTX133109 IHC-P Image

MAP2 antibody detects MAP2 protein at cytoplasm in rat brain by immunohistochemical analysis.
Sample: Paraffin-embedded rat brain.
MAP2 antibody (GTX133109) diluted at 1:500.

Antigen Retrieval: Citrate buffer, pH 6.0, 15 min

10 / 13
Anti-MAP2 antibody used in Immunocytochemistry/ Immunofluorescence (ICC/IF). GTX133109
GTX133109 ICC/IF Image

MAP2 antibody detects MAP2 protein in dendrites, but not in axons, by immunofluorescent analysis.
Sample: DIV10 rat E18 primary cortical neuron cells were fixed in 4% paraformaldehyde at RT for 15 min.
Green: MAP2 stained by MAP2 antibody (GTX133109) diluted at 1:500.
Red: Tau, stained by Tau antibody [GT287] (GTX634809) diluted at 1:500.
Blue: Fluoroshield with DAPI (GTX30920).

11 / 13
Anti-MAP2 antibody used in IHC (Paraffin sections) (IHC-P). GTX133109
GTX133109 IHC-P Image

MAP2 antibody detects MAP2 protein at cytoplasm by immunohistochemical analysis.
Sample: Paraffin-embedded rat cerebellum.
Green: MAP2 stained by MAP2 antibody (GTX133109) diluted at 1:250.
Blue: Fluoroshield with DAPI (GTX30920).
Antigen Retrieval: Citrate buffer, pH 6.0, 15 min

12 / 13
Anti-MAP2 antibody used in IHC (Frozen sections) (IHC-Fr). GTX133109
GTX133109 IHC-Fr Image

MAP2 antibody detects MAP2 protein expression by immunohistochemical analysis.
Sample: Frozen-sectioned adult mouse cerebellum.
Green: MAP2 protein stained by MAP2 antibody (GTX133109) diluted at 1:250.
Red: Tau, stained by Tau antibody (GTX49353) diluted at 1:500.
Blue: Fluoroshield with DAPI (GTX30920).

13 / 13
Anti-MAP2 antibody used in IHC (Paraffin sections) (IHC-P). GTX133109
Anti-MAP2 antibody used in IHC (Paraffin sections) (IHC-P). GTX133109
Anti-MAP2 antibody used in IHC (Paraffin sections) (IHC-P). GTX133109
Anti-MAP2 antibody used in Western Blot (WB). GTX133109
Anti-MAP2 antibody used in Western Blot (WB). GTX133109
Anti-MAP2 antibody used in IHC (Paraffin sections) (IHC-P). GTX133109
Anti-MAP2 antibody used in IHC (Paraffin sections) (IHC-P). GTX133109
Anti-MAP2 antibody used in IHC (Paraffin sections) (IHC-P). GTX133109
Anti-MAP2 antibody used in Immunocytochemistry/ Immunofluorescence (ICC/IF). GTX133109
Anti-MAP2 antibody used in IHC (Paraffin sections) (IHC-P). GTX133109
Anti-MAP2 antibody used in Immunocytochemistry/ Immunofluorescence (ICC/IF). GTX133109
Anti-MAP2 antibody used in IHC (Paraffin sections) (IHC-P). GTX133109
Anti-MAP2 antibody used in IHC (Frozen sections) (IHC-Fr). GTX133109
  • 宿主
    Rabbit
  • 克隆
    Polyclonal
  • 同种型
    IgG
  • 实验应用
    WB ICC/IF IHC-P IHC-Fr
  • 种属反应
    Human, Mouse, Rat, Fish
查看所有 MAP2 的产品