MST1抗体

目录号 GTX109294
目录号  GTX109294
Anti-MST1 antibody used in Western Blot (WB). GTX109294
GTX109294 WB Image

Wild-type (WT) and MST1 knockout (KO) HeLa cell extracts (30 μg) were separated by 10% SDS-PAGE, and the membrane was blotted with MST1 antibody (GTX109294) diluted at 1:500. The HRP-conjugated anti-rabbit IgG antibody (GTX213110-01) was used to detect the primary antibody.

1 / 5
Anti-MST1 antibody used in Immunoprecipitation (IP). GTX109294
GTX109294 IP Image

STK4 antibody immunoprecipitates STK4 protein in IP experiments.
IP samples: HepG2 whole cell extract
A. 50 μg HepG2 whole cell extract
B. Control with 4 μg of preimmune Rabbit IgG
C. Immunoprecipitation of STK4 protein by 4 μg STK4 antibody (GTX109294)
7.5 % SDS-PAGE
The immunoprecipitated STK4 protein was detected by STK4 antibody (GTX109294) diluted at 1:500.
[EasyBlot anti-rabbit IgG (GTX221666-01) was used as a secondary reagent]

2 / 5
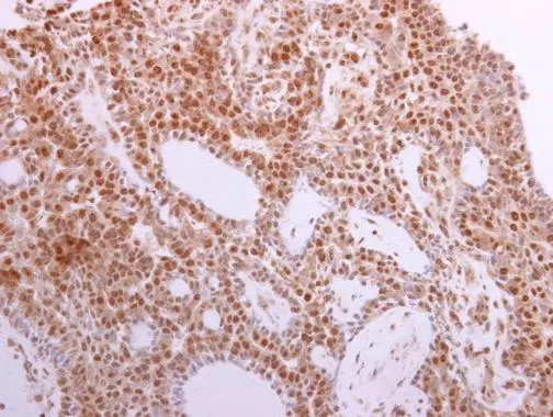
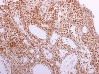
Anti-MST1 antibody used in IHC (Paraffin sections) (IHC-P). GTX109294
GTX109294 IHC-P Image

STK4 antibody detects STK4 protein at cytoplasm and nucleus in human lung adenocarcinoma by immunohistochemical analysis.
Sample: Paraffin-embedded human lung adenocarcinoma.
STK4 antibody (GTX109294) diluted at 1:500.

Antigen Retrieval: Citrate buffer, pH 6.0, 15 min

3 / 5
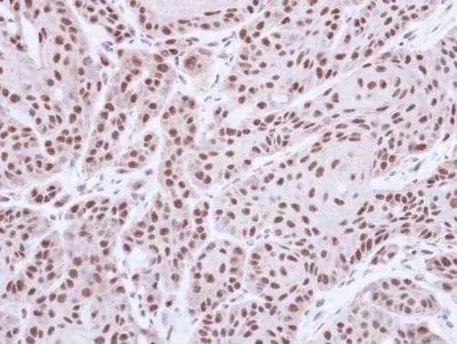
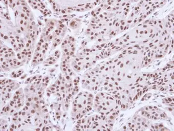
Anti-MST1 antibody used in IHC (Paraffin sections) (IHC-P). GTX109294
GTX109294 IHC-P Image

Immunohistochemical analysis of paraffin-embedded Cal27 xenograft, using MST1(GTX109294) antibody at 1:500 dilution.
Antigen Retrieval: Citrate buffer, pH 6.0, 15 min

4 / 5
Anti-MST1 antibody used in Immunocytochemistry/ Immunofluorescence (ICC/IF). GTX109294
GTX109294 ICC/IF Image

Confocal immunofluorescence analysis (Olympus FV10i) of paraformaldehyde-fixed U2OS, using STK4(GTX109294) antibody (Green) at 1:500 dilution. Alpha-tubulin filaments were labeled with GTX11304 (Red) at 1:2000.

5 / 5
Anti-MST1 antibody used in Western Blot (WB). GTX109294
Anti-MST1 antibody used in Immunoprecipitation (IP). GTX109294
Anti-MST1 antibody used in IHC (Paraffin sections) (IHC-P). GTX109294
Anti-MST1 antibody used in IHC (Paraffin sections) (IHC-P). GTX109294
Anti-MST1 antibody used in Immunocytochemistry/ Immunofluorescence (ICC/IF). GTX109294
  • 宿主
    Rabbit
  • 克隆
    Polyclonal
  • 同种型
    IgG
  • 实验应用
    WB ICC/IF IHC-P IP
  • 种属反应
    Human
查看所有 MST1 的产品