MYH10抗体 [GT246]

目录号 GTX634160
目录号  GTX634160
Anti-MYH10 antibody [GT246] used in Western Blot (WB). GTX634160
GTX634160 WB Image

Non-transfected (–) and transfected (+) 293T whole cell extracts (30 μg) were separated by 5% SDS-PAGE, and the membrane was blotted with MYH10 antibody [GT246] (GTX634160) diluted at 1:3000. The HRP-conjugated anti-mouse IgG antibody (GTX213111-01) was used to detect the primary antibody.

1 / 7
Anti-MYH10 antibody [GT246] used in Western Blot (WB). GTX634160
GTX634160 WB Image

Various whole cell extracts (30 μg) were separated by 5% SDS-PAGE, and the membrane was blotted with MYH10 antibody [GT246] (GTX634160) diluted at 1:5000. The HRP-conjugated anti-mouse IgG antibody (GTX213111-01) was used to detect the primary antibody. Corresponding RNA expression data are based on Human Protein Atlas program.

2 / 7
Anti-MYH10 antibody [GT246] used in Western Blot (WB). GTX634160
GTX634160 WB Image

Mouse tissue extract (50 μg) was separated by 5% SDS-PAGE, and the membrane was blotted with MYH10 antibody [GT246] (GTX634160) diluted at 1:5000. The HRP-conjugated anti-mouse IgG antibody (GTX213111-01) was used to detect the primary antibody.

3 / 7
Anti-MYH10 antibody [GT246] used in IHC (Frozen sections) (IHC-Fr). GTX634160
GTX634160 IHC-Fr Image

MYH10 antibody [GT246] detects MYH10 Protein expression by immunohistochemical analysis.
Sample: Frozen-sectioned adult mouse cerebellum.
Green: MYH10 stained by MYH10 antibody [GT246] (GTX634160) diluted at 1:250.
Blue: Fluoroshield with DAPI (GTX30920).

Antigen Retrieval: Citrate buffer, pH 6.0, 10 min

4 / 7
Anti-MYH10 antibody [GT246] used in Western Blot (WB). GTX634160
GTX634160 WB Image

Whole cell extract (30 μg) was separated by 5% SDS-PAGE, and the membrane was blotted with MYH10 antibody [GT246] (GTX634160) diluted at 1:5000. The HRP-conjugated anti-mouse IgG antibody (GTX213111-01) was used to detect the primary antibody.

5 / 7
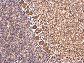
Anti-MYH10 antibody [GT246] used in IHC (Paraffin sections) (IHC-P). GTX634160
GTX634160 IHC-P Image

MYH10 antibody [GT246] detects MYH10 protein at cytoplasm in rat brain by immunohistochemical analysis.
Sample: Paraffin-embedded rat brain.
MYH10 antibody [GT246] (GTX634160) diluted at 1:200.

Antigen Retrieval: Citrate buffer, pH 6.0, 15 min

6 / 7
Anti-MYH10 antibody [GT246] used in Immunocytochemistry/ Immunofluorescence (ICC/IF). GTX634160
GTX634160 ICC/IF Image

MYH10 antibody [GT246] detects MYH10 protein at cytoskeleton by immunofluorescent analysis.
Sample: HeLa cells were fixed in 4% paraformaldehyde at RT for 15 min.
Green: MYH10 protein stained by MYH10 antibody [GT246] (GTX634160) diluted at 1:500.
Blue: Hoechst 33342 staining.
Scale bar = 10 μm.

7 / 7
Anti-MYH10 antibody [GT246] used in Western Blot (WB). GTX634160
Anti-MYH10 antibody [GT246] used in Western Blot (WB). GTX634160
Anti-MYH10 antibody [GT246] used in Western Blot (WB). GTX634160
Anti-MYH10 antibody [GT246] used in IHC (Frozen sections) (IHC-Fr). GTX634160
Anti-MYH10 antibody [GT246] used in Western Blot (WB). GTX634160
Anti-MYH10 antibody [GT246] used in IHC (Paraffin sections) (IHC-P). GTX634160
Anti-MYH10 antibody [GT246] used in Immunocytochemistry/ Immunofluorescence (ICC/IF). GTX634160
  • 宿主
    Mouse
  • 克隆
    Monoclonal
  • 克隆编号
    GT246
  • 同种型
    IgG2b
  • 实验应用
    WB ICC/IF IHC-P IHC-Fr
  • 种属反应
    Human, Mouse, Rat
查看所有 MYH10 的产品