Monoglyceride lipase抗体

目录号 GTX103517
目录号  GTX103517
Anti-Monoglyceride lipase antibody used in Western Blot (WB). GTX103517
GTX103517 WB Image

Various tissue extracts (50 μg) were separated by 10% SDS-PAGE, and the membrane was blotted with Monoglyceride lipase antibody (GTX103517) diluted at 1:1000. The HRP-conjugated anti-rabbit IgG antibody (GTX213110-01) was used to detect the primary antibody.

1 / 4
Anti-Monoglyceride lipase antibody used in IHC (Paraffin sections) (IHC-P). GTX103517
GTX103517 IHC-P Image

Monoglyceride lipase antibody detects MGLL protein at nucleus on U373 xenograft by immunohistochemical analysis.
Sample: Paraffin-embedded U373 xenograft.
Monoglyceride lipase antibody (GTX103517) dilution: 1:500.

Antigen Retrieval: Trilogy™ (EDTA based, pH 8.0) buffer, 15min

2 / 4
Anti-Monoglyceride lipase antibody used in IHC (Paraffin sections) (IHC-P). GTX103517
GTX103517 IHC-P Image

Monoglyceride lipase antibody detects Monoglyceride lipase protein at nucleus on rat fore brain by immunohistochemical analysis.
Sample: Paraffin-embedded rat fore brain.
Monoglyceride lipase antibody (GTX103517) dilution: 1:500.

Antigen Retrieval: Trilogy™ (EDTA based, pH 8.0) buffer, 15min

3 / 4
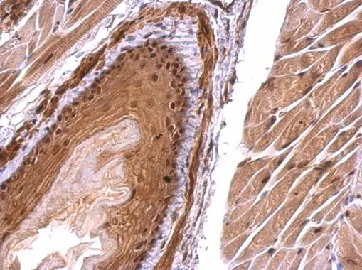
Anti-Monoglyceride lipase antibody used in IHC (Paraffin sections) (IHC-P). GTX103517
GTX103517 IHC-P Image

Monoglyceride lipase antibody detects Monoglyceride lipase protein at nucleus on mouse esophagus by immunohistochemical analysis.
Sample: Paraffin-embedded mouse esophagus.
Monoglyceride lipase antibody (GTX103517) dilution: 1:500.

Antigen Retrieval: Trilogy™ (EDTA based, pH 8.0) buffer, 15min

4 / 4
Anti-Monoglyceride lipase antibody used in Western Blot (WB). GTX103517
Anti-Monoglyceride lipase antibody used in IHC (Paraffin sections) (IHC-P). GTX103517
Anti-Monoglyceride lipase antibody used in IHC (Paraffin sections) (IHC-P). GTX103517
Anti-Monoglyceride lipase antibody used in IHC (Paraffin sections) (IHC-P). GTX103517
  • 宿主
    Rabbit
  • 克隆
    Polyclonal
  • 同种型
    IgG
  • 实验应用
    WB IHC-P
  • 种属反应
    Human, Mouse, Rat
查看所有 Monoglyceride lipase 的产品