Myelin basic protein抗体

目录号 GTX133108
目录号  GTX133108
Anti-Myelin basic protein antibody used in IHC (Frozen sections) (IHC-Fr). GTX133108
GTX133108 IHC-Fr Image

Myelin Basic Protein antibody detects Myelin Basic Protein protein expression by immunohistochemical analysis.
Sample: Frozen sectioned E13.5 Rat brain.
Green: Myelin Basic Protein protein stained by Myelin Basic Protein antibody (GTX133108) diluted at 1:250.
Red: beta Tubulin 3/ TUJ1, a mature neuron marker, stained by beta Tubulin 3/ TUJ1 antibody [GT11710] (GTX631836) diluted at 1:500.
Blue: Fluoroshield with DAPI (GTX30920).

1 / 15
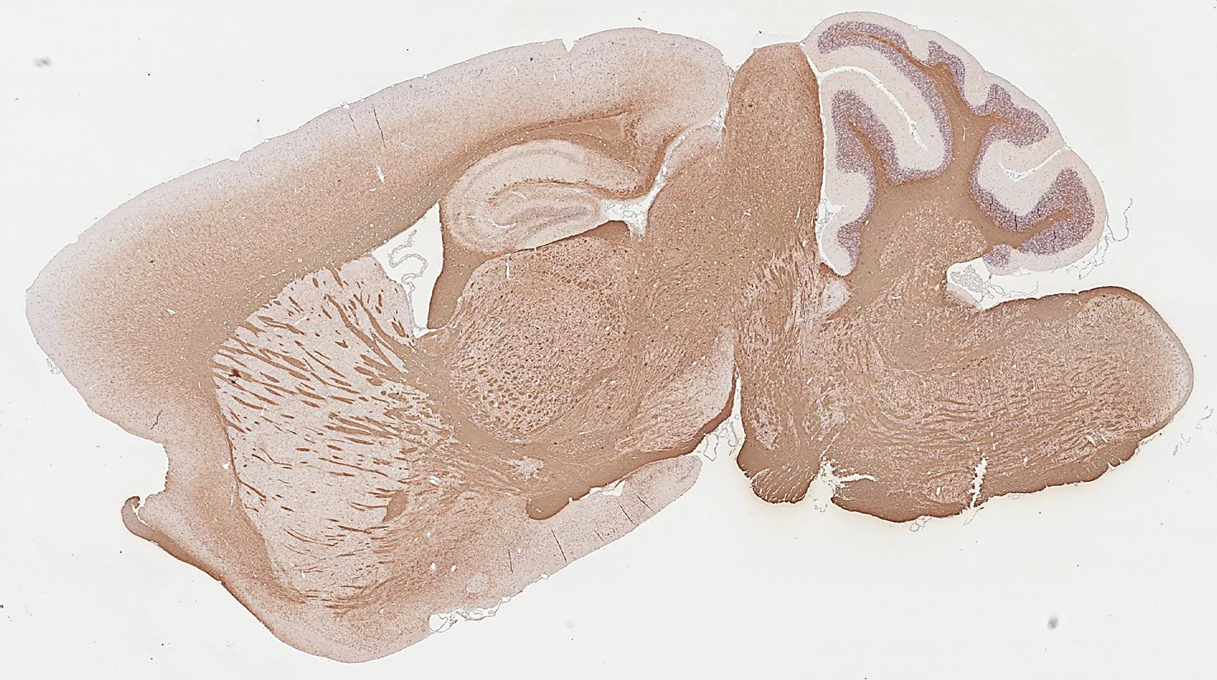
Anti-Myelin basic protein antibody used in IHC (Paraffin sections) (IHC-P). GTX133108
GTX133108 IHC-P Image

Myelin basic protein antibody detects Myelin basic protein protein at cell membrane by immunohistochemical analysis.
Sample: Paraffin-embedded rat brain.
Myelin basic protein stained by Myelin basic protein antibody (GTX133108) diluted at 1:500.
Antigen Retrieval: Citrate buffer, pH 6.0, 15 min

2 / 15
Anti-Myelin basic protein antibody used in IHC (Paraffin sections) (IHC-P). GTX133108
GTX133108 IHC-P Image

Myelin basic Protein antibody detects Myelin basic Protein protein at cell membrane by immunohistochemical analysis.
Sample: Paraffin-embedded rat brain.
Myelin basic Protein stained by Myelin basic Protein antibody (GTX133108) diluted at 1:1500.
Antigen Retrieval: Citrate buffer, pH 6.0, 15 min

3 / 15
Anti-Myelin basic protein antibody used in Western Blot (WB). GTX133108
GTX133108 WB Image

Mouse tissue extract (30 μg) was separated by 15% SDS-PAGE, and the membrane was blotted with Myelin basic Protein antibody (GTX133108) diluted at 1:200000. The HRP-conjugated anti-rabbit IgG antibody (GTX213110-01) was used to detect the primary antibody.

4 / 15
Anti-Myelin basic protein antibody used in IHC (Paraffin sections) (IHC-P). GTX133108
GTX133108 IHC-P Image

Myelin basic Protein antibody detects Myelin basic Protein protein at cell membrane by immunohistochemical analysis.
Sample: Paraffin-embedded rat brain.
Myelin basic Protein stained by Myelin basic Protein antibody (GTX133108) diluted at 1:1500.
Antigen Retrieval: Citrate buffer, pH 6.0, 15 min

5 / 15
Anti-Myelin basic protein antibody used in IHC (Paraffin sections) (IHC-P). GTX133108
GTX133108 IHC-P Image

Myelin basic Protein antibody detects Myelin basic Protein protein at cell membrane by immunohistochemical analysis.
Sample: Paraffin-embedded mouse brain.
Myelin basic Protein stained by Myelin basic Protein antibody (GTX133108) diluted at 1:1500.
Antigen Retrieval: Citrate buffer, pH 6.0, 15 min

6 / 15
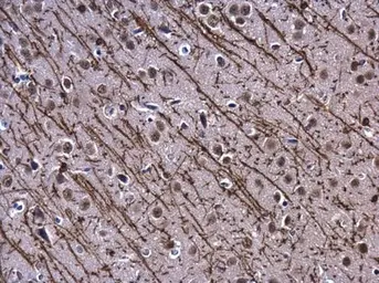
Anti-Myelin basic protein antibody used in IHC (Paraffin sections) (IHC-P). GTX133108
GTX133108 IHC-P Image

Myelin basic protein antibody detects Myelin basic protein protein at cell membrane by immunohistochemical analysis.
Sample: Paraffin-embedded rat brain.
Myelin basic protein stained by Myelin basic protein antibody (GTX133108) diluted at 1:500.
Antigen Retrieval: Citrate buffer, pH 6.0, 15 min

7 / 15
Anti-Myelin basic protein antibody used in IHC (Frozen sections) (IHC-Fr). GTX133108
GTX133108 IHC-Fr Image

Myelin Basic Protein antibody detects Myelin Basic protein expression by immunohistochemical analysis.
Sample: Frozen-sectioned adult mouse hippocampus.
Green: Myelin Basic protein stained by Myelin Basic Protein antibody (GTX133108) diluted at 1:250.
Red: NeuN, stained by NeuN antibody [2Q158] (GTX30773) diluted at 1:500.

8 / 15
Anti-Myelin basic protein antibody used in IHC (Frozen sections) (IHC-Fr). GTX133108
GTX133108 IHC-Fr Image

Myelin Basic Protein antibody detects Myelin Basic Protein expression by immunohistochemical analysis.
Sample: Frozen-sectioned adult mouse cerebellum.
Green: Myelin Basic Protein stained by Myelin Basic Protein antibody (GTX133108) diluted at 1:250.
Red: beta Tubulin 3/ TUJ1, stained by beta Tubulin 3/ TUJ1 antibody [GT11710] (GTX631836) diluted at 1:500.
Blue: Fluoroshield with DAPI (GTX30920).

9 / 15
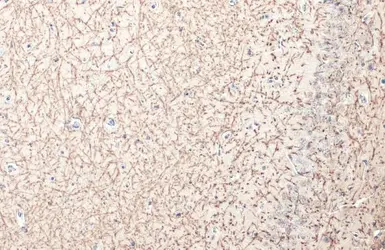
Anti-Myelin basic protein antibody used in IHC (Paraffin sections) (IHC-P). GTX133108
GTX133108 IHC-P Image

Myelin basic protein antibody detects Myelin basic protein protein at cell membrane by immunohistochemical analysis.
Sample: Paraffin-embedded mouse brain.
Myelin basic protein stained by Myelin basic protein antibody (GTX133108) diluted at 1:500.
Antigen Retrieval: Citrate buffer, pH 6.0, 15 min

10 / 15
Anti-Myelin basic protein antibody used in IHC (Paraffin sections) (IHC-P). GTX133108
GTX133108 IHC-P Image

Myelin Basic Protein antibody detects Myelin Basic Protein protein at cytoplasm in rat brain by immunohistochemical analysis.
Sample: Paraffin-embedded rat brain.
Myelin Basic Protein antibody (GTX133108) diluted at 1:500.

Antigen Retrieval: Citrate buffer, pH 6.0, 15 min

11 / 15
Anti-Myelin basic protein antibody used in IHC (Paraffin sections) (IHC-P). GTX133108
GTX133108 IHC-P Image

Myelin basic protein antibody detects Myelin basic protein protein at cell membrane by immunohistochemical analysis.
Sample: Paraffin-embedded mouse brain.
Myelin basic protein stained by Myelin basic protein antibody (GTX133108) diluted at 1:500.
Antigen Retrieval: Citrate buffer, pH 6.0, 15 min

12 / 15
Anti-Myelin basic protein antibody used in IHC (Paraffin sections) (IHC-P). GTX133108
GTX133108 IHC-P Image

Myelin Basic Protein antibody detects Myelin Basic Protein protein at cytoplasm in rat brain by immunohistochemical analysis.
Sample: Paraffin-embedded rat brain.
Myelin Basic Protein antibody (GTX133108) diluted at 1:500.

Antigen Retrieval: Citrate buffer, pH 6.0, 15 min

13 / 15
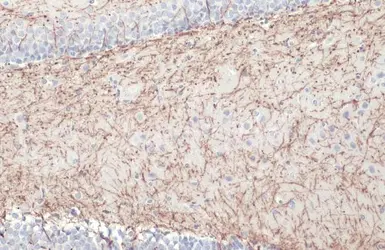
Anti-Myelin basic protein antibody used in IHC (Paraffin sections) (IHC-P). GTX133108
GTX133108 IHC-P Image

Myelin basic Protein antibody detects Myelin basic Protein protein at cell membrane by immunohistochemical analysis.
Sample: Paraffin-embedded mouse brain.
Myelin basic Protein stained by Myelin basic Protein antibody (GTX133108) diluted at 1:1500.
Antigen Retrieval: Citrate buffer, pH 6.0, 15 min

14 / 15
Anti-Myelin basic protein antibody used in Western Blot (WB). GTX133108
GTX133108 WB Image

Various tissue extracts (50 μg) were separated by 12% SDS-PAGE, and the membrane was blotted with Myelin basic protein antibody (GTX133108) diluted at 1:10000. The HRP-conjugated anti-rabbit IgG antibody (GTX213110-01) was used to detect the primary antibody.

15 / 15
Anti-Myelin basic protein antibody used in IHC (Frozen sections) (IHC-Fr). GTX133108
Anti-Myelin basic protein antibody used in IHC (Paraffin sections) (IHC-P). GTX133108
Anti-Myelin basic protein antibody used in IHC (Paraffin sections) (IHC-P). GTX133108
Anti-Myelin basic protein antibody used in Western Blot (WB). GTX133108
Anti-Myelin basic protein antibody used in IHC (Paraffin sections) (IHC-P). GTX133108
Anti-Myelin basic protein antibody used in IHC (Paraffin sections) (IHC-P). GTX133108
Anti-Myelin basic protein antibody used in IHC (Paraffin sections) (IHC-P). GTX133108
Anti-Myelin basic protein antibody used in IHC (Frozen sections) (IHC-Fr). GTX133108
Anti-Myelin basic protein antibody used in IHC (Frozen sections) (IHC-Fr). GTX133108
Anti-Myelin basic protein antibody used in IHC (Paraffin sections) (IHC-P). GTX133108
Anti-Myelin basic protein antibody used in IHC (Paraffin sections) (IHC-P). GTX133108
Anti-Myelin basic protein antibody used in IHC (Paraffin sections) (IHC-P). GTX133108
Anti-Myelin basic protein antibody used in IHC (Paraffin sections) (IHC-P). GTX133108
Anti-Myelin basic protein antibody used in IHC (Paraffin sections) (IHC-P). GTX133108
Anti-Myelin basic protein antibody used in Western Blot (WB). GTX133108
  • 宿主
    Rabbit
  • 克隆
    Polyclonal
  • 同种型
    IgG
  • 实验应用
    WB ICC/IF IHC-P IHC-Fr IHC (Free Floating)
  • 种属反应
    Human, Mouse, Rat
查看所有 Myelin basic protein 的产品