N-RAS抗体

目录号 GTX108598
目录号  GTX108598
Anti-N-RAS antibody used in Western Blot (WB). GTX108598
GTX108598 WB Image

Non-transfected (–) and transfected (+) 293T whole cell extracts (30 μg) were separated by 12% SDS-PAGE, and the membrane was blotted with N-RAS antibody (GTX108598) diluted at 1:5000. The HRP-conjugated anti-rabbit IgG antibody (GTX213110-01) was used to detect the primary antibody.

1 / 3
Anti-N-RAS antibody used in Western Blot (WB). GTX108598
GTX108598 WB Image

Various whole cell extracts (30 μg) were separated by 12% SDS-PAGE, and the membrane was blotted with N-RAS antibody (GTX108598) diluted at 1:1000. The HRP-conjugated anti-rabbit IgG antibody (GTX213110-01) was used to detect the primary antibody, and the signal was developed with Trident ECL plus-Enhanced.

2 / 3
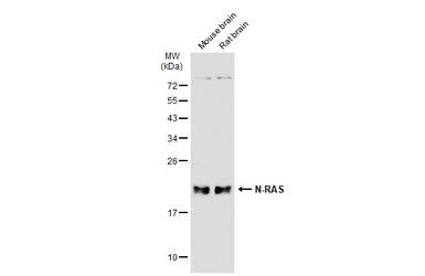
Anti-N-RAS antibody used in Western Blot (WB). GTX108598
GTX108598 WB Image

Various tissue extracts (50 μg) were separated by 12% SDS-PAGE, and the membrane was blotted with N-RAS antibody (GTX108598) diluted at 1:1000. The HRP-conjugated anti-rabbit IgG antibody (GTX213110-01) was used to detect the primary antibody, and the signal was developed with Trident ECL plus-Enhanced.

3 / 3
Anti-N-RAS antibody used in Western Blot (WB). GTX108598
Anti-N-RAS antibody used in Western Blot (WB). GTX108598
Anti-N-RAS antibody used in Western Blot (WB). GTX108598
  • 宿主
    Rabbit
  • 克隆
    Polyclonal
  • 同种型
    IgG
  • 实验应用
    WB
  • 种属反应
    Human, Mouse, Rat
查看所有 N-RAS 的产品