NDP52抗体

目录号 GTX115378
目录号  GTX115378
Anti-NDP52 antibody used in Immunocytochemistry/ Immunofluorescence (ICC/IF). GTX115378
GTX115378 ICC/IF Image

NDP52 antibody detects NDP52 protein at autophagosome  by immunofluorescent analysis.
Sample: Mock and treated HeLa cells were fixed in 4% paraformaldehyde at RT for 15 min.
Green: NDP52 stained by NDP52 antibody (GTX115378) diluted at 1:1000.
Red: phalloidin, a cytoskeleton marker, diluted at 1:200.
Blue: Fluoroshield with DAPI (GTX30920).
Scale bar= 10 μm.

1 / 11
Anti-NDP52 antibody used in Western Blot (WB). GTX115378
GTX115378 WB Image

Untreated (–) and treated (+) HepG2 whole cell extracts (30 μg) were separated by 10% SDS-PAGE, and the membrane was blotted with NDP52 antibody (GTX115378) diluted at 1:2000. The HRP-conjugated anti-rabbit IgG antibody (GTX213110-01) was used to detect the primary antibody.

2 / 11
Anti-NDP52 antibody used in Western Blot (WB). GTX115378
GTX115378 WB Image

NDP52 antibody detects NDP52 protein by western blot analysis. Un-treated (-) and treated (+, Thapsigargin treatment for 12hrs and 24hrs) Huh-7 whole cell extracts (30 μg) were separated by 10% SDS-PAGE, and the membrane was blotted with NDP52 antibody (GTX115378) diluted by 1:2000.
The ACTB was used as internal control (GTX110564, 1:50000) shown at the bottom panel.
The HRP-conjugated anti-rabbit IgG antibody (GTX213110-01) was used to detect the primary antibody.

3 / 11
Anti-NDP52 antibody used in Western Blot (WB). GTX115378
GTX115378 WB Image

Sample (30 μg of whole cell lysate)
A: Raji
10% SDS PAGE
GTX115378 diluted at 1:1000
The HRP-conjugated anti-rabbit IgG antibody (GTX213110-01) was used to detect the primary antibody.

4 / 11
Anti-NDP52 antibody used in Western Blot (WB). GTX115378
GTX115378 WB Image

NDP52 antibody detects NDP52 protein by western blot analysis. Un-treated (-) and treated (+, Thapsigargin treatment for 12hrs and 24hrs) HepG2 whole cell extracts (30 μg) were separated by 10% SDS-PAGE, and the membrane was blotted with NDP52 antibody (GTX115378) diluted by 1:2000.
The ACTB was used as internal control (GTX110564, 1:50000) shown at the bottom panel.
The HRP-conjugated anti-rabbit IgG antibody (GTX213110-01) was used to detect the primary antibody.

5 / 11
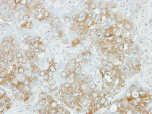
Anti-NDP52 antibody used in IHC (Paraffin sections) (IHC-P). GTX115378
GTX115378 IHC-P Image

Immunohistochemical analysis of paraffin-embedded H441 xenograft, using NDP52(GTX115378) antibody at 1:100 dilution.
Antigen Retrieval: Trilogy™ (EDTA based, pH 8.0) buffer, 15min

6 / 11
Anti-NDP52 antibody used in Western Blot (WB). GTX115378
GTX115378 WB Image

Non-transfected (–) and transfected (+) HepG2 whole cell extracts (30 μg) were separated by 10% SDS-PAGE, and the membrane was blotted with NDP52 antibody (GTX115378) diluted at 1:4000. The HRP-conjugated anti-rabbit IgG antibody (GTX213110-01) was used to detect the primary antibody.

7 / 11
Anti-NDP52 antibody used in Immunoprecipitation (IP). GTX115378
GTX115378 IP Image

Immunoprecipitation of NDP52 protein from Jurkat whole cell extracts using 5 μg of NDP52 antibody (GTX115378).
Western blot analysis was performed using NDP52 antibody (GTX115378).
EasyBlot anti-Rabbit IgG (GTX221666-01) was used as a secondary reagent.

8 / 11
Anti-NDP52 antibody used in Immunocytochemistry/ Immunofluorescence (ICC/IF). GTX115378
GTX115378 ICC/IF Image

The data was published in the journal Nat Commun in 2017. PMID: 29187741

9 / 11
Anti-NDP52 antibody used in Western Blot (WB). GTX115378
GTX115378 WB Image

The data was published in the journal Nat Commun in 2017. PMID: 29187741

10 / 11
Anti-NDP52 antibody used in Immunocytochemistry/ Immunofluorescence (ICC/IF). GTX115378
GTX115378 ICC/IF Image

The data was published in the journal Dev Cell in 2019.PMID: 31353311

11 / 11
Anti-NDP52 antibody used in Immunocytochemistry/ Immunofluorescence (ICC/IF). GTX115378
Anti-NDP52 antibody used in Western Blot (WB). GTX115378
Anti-NDP52 antibody used in Western Blot (WB). GTX115378
Anti-NDP52 antibody used in Western Blot (WB). GTX115378
Anti-NDP52 antibody used in Western Blot (WB). GTX115378
Anti-NDP52 antibody used in IHC (Paraffin sections) (IHC-P). GTX115378
Anti-NDP52 antibody used in Western Blot (WB). GTX115378
Anti-NDP52 antibody used in Immunoprecipitation (IP). GTX115378
Anti-NDP52 antibody used in Immunocytochemistry/ Immunofluorescence (ICC/IF). GTX115378
Anti-NDP52 antibody used in Western Blot (WB). GTX115378
Anti-NDP52 antibody used in Immunocytochemistry/ Immunofluorescence (ICC/IF). GTX115378
  • 宿主
    Rabbit
  • 克隆
    Polyclonal
  • 同种型
    IgG
  • 实验应用
    WB ICC/IF IHC-P IP
  • 种属反应
    Human
查看所有 NDP52 的产品