NeuroD1抗体

目录号 GTX133207
目录号  GTX133207
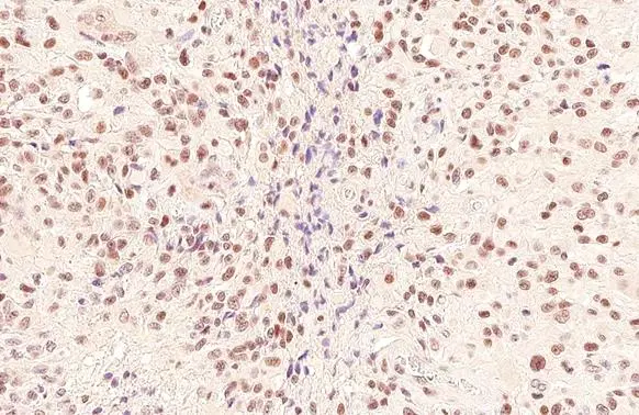
Anti-NeuroD1 antibody used in IHC (Paraffin sections) (IHC-P). GTX133207
GTX133207 IHC-P Image

NeuroD1 antibody detects NeuroD1 protein at cytoplasm and nucleus by immunohistochemical analysis.
Sample: Paraffin-embedded human glioblastoma.
NeuroD1 stained by NeuroD1 antibody (GTX133207) diluted at 1:500.
Antigen Retrieval: Citrate buffer, pH 6.0, 15 min

1 / 3
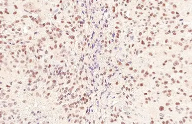
Anti-NeuroD1 antibody used in IHC (Frozen sections) (IHC-Fr). GTX133207
GTX133207 IHC-Fr Image

NeuroD1 antibody detects NeuroD1 protein by immunohistochemical analysis.
Sample: Frozen-sectioned rat E13.5 brain.
Green: NeuroD1 stained by NeuroD1 antibody (GTX133207) diluted at 1:250.
Red: beta Tubulin 3/ Tuj1, stained by beta Tubulin 3/ Tuj1 antibody [GT1338] (GTX631831) diluted at 1:500.
Blue: Fluoroshield with DAPI (GTX30920).

2 / 3
Anti-NeuroD1 antibody used in Western Blot (WB). GTX133207
GTX133207 WB Image

IMR32 whole cell and nuclear extracts (60 μg) were separated by 7.5% SDS-PAGE, and the membrane was blotted with NeuroD1 antibody (GTX133207) diluted at 1:1000.

3 / 3
Anti-NeuroD1 antibody used in IHC (Paraffin sections) (IHC-P). GTX133207
Anti-NeuroD1 antibody used in IHC (Frozen sections) (IHC-Fr). GTX133207
Anti-NeuroD1 antibody used in Western Blot (WB). GTX133207
  • 宿主
    Rabbit
  • 克隆
    Polyclonal
  • 同种型
    IgG
  • 实验应用
    WB IHC-P IHC-Fr
  • 种属反应
    Human, Rat
查看所有 NeuroD1 的产品