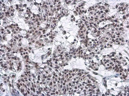
![Anti-Nuclear Matrix Protein p84 antibody [5E10] used in IHC (Paraffin sections) (IHC-P). GTX70220](/upload/website/prouct_img/middle/GTX70220/GTX70220_43388_20190719_IHC-P_w_23061221_387.webp) 
                                                            
                                                        
                                                    Nuclear Matrix Protein p84 antibody [5E10] detects Nuclear Matrix Protein p84 protein at nucleus by immunohistochemical analysis.Sample: Paraffin-embedded human lung cancer.Nuclear Matrix Protein p84 stained by Nuclear Matrix Protein p84 antibody [5E10] (GTX70220) diluted at 1:100.Antigen Retrieval: Citrate buffer, pH 6.0, 15 min
![Anti-Nuclear Matrix Protein p84 antibody [5E10] used in Immunocytochemistry/ Immunofluorescence (ICC/IF). GTX70220](/upload/website/prouct_img/middle/GTX70220/GTX70220_43264_20180905_ICC_IF_w_23061221_293.webp) 
                                                            
                                                        
                                                    Nuclear Matrix Protein p84 antibody [5E10] detects Nuclear Matrix Protein p84 protein at nucleus by immunofluorescent analysis.Sample: HeLa cells were fixed in 4% paraformaldehyde at RT for 15 min.Green: Nuclear Matrix Protein p84 stained by Nuclear Matrix Protein p84 antibody [5E10] (GTX70220) diluted at 1:500.Red: phalloidin, a cytoskeleton marker, diluted at 1:100.
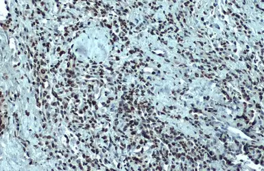
![Anti-Nuclear Matrix Protein p84 antibody [5E10] used in IHC (Paraffin sections) (IHC-P). GTX70220](/upload/website/prouct_img/middle/GTX70220/GTX70220_43264_20180928_IHC-P_w_23061221_986.webp) 
                                                            
                                                        
                                                    Nuclear Matrix Protein p84 antibody [5E10] detects Nuclear Matrix Protein p84 protein at nucleus by immunohistochemical analysis.Sample: Paraffin-embedded human breast carcinoma.Nuclear Matrix Protein p84 stained by Nuclear Matrix Protein p84 antibody [5E10] (GTX70220) diluted at 1:200.Antigen Retrieval: Citrate buffer, pH 6.0, 15 min
![Anti-Nuclear Matrix Protein p84 antibody [5E10] used in Immunoprecipitation (IP). GTX70220](/upload/website/prouct_img/middle/GTX70220/GTX70220_41295_IP_w_23061221_303.webp) 
                                                            
                                                        
                                                    p84 antibody [5E10] immunoprecipitates p84 protein in IP experiments. IP Sample: HepG2 whole cell lysate/extract A : 30 μg whole cell lysate/extract of p84 protein expressing HepG2 cells B : Control with 3 μg of pre-immune mouse IgG C : Immunoprecipitation of p84 by 3 μg of p84 antibody [5E10] (GTX70220) 7.5% SDS-PAGE The immunoprecipitated p84 protein was detected by p84 antibody [5E10] (GTX70220) diluted at 1 : 1000. EasyBlot anti-rabbit IgG (HRP) (GTX221667-01) was used as a secondary reagent.
![Anti-Nuclear Matrix Protein p84 antibody [5E10] used in Western Blot (WB). GTX70220](/upload/website/prouct_img/middle/GTX70220/GTX70220_20240411_citeab_WB_2359_24041502_824.webp) 
                                                            
                                                        
                                                    The data was published in the journal PLoS Pathog in 2015. PMID: 25927232
![Anti-Nuclear Matrix Protein p84 antibody [5E10] used in Western Blot (WB). GTX70220](/upload/website/prouct_img/middle/GTX70220/GTX70220_20240411_citeab_WB_2196_24041502_604.webp) 
                                                            
                                                        
                                                    The data was published in the journal Biomed Res Int in 2015. PMID: 25722974
![Anti-Nuclear Matrix Protein p84 antibody [5E10] used in Western Blot (WB). GTX70220](/upload/website/prouct_img/middle/GTX70220/GTX70220_20240411_citeab_WB_2195_24041502_782.webp) 
                                                            
                                                        
                                                    The data was published in the journal PLoS One in 2017. PMID: 29045486
![Anti-Nuclear Matrix Protein p84 antibody [5E10] used in Western Blot (WB). GTX70220](/upload/website/prouct_img/middle/GTX70220/GTX70220_20240411_citeab_WB_2194_24041502_197.webp) 
                                                            
                                                        
                                                    The data was published in the journal PLoS One in 2017. PMID: 29045486
![Anti-Nuclear Matrix Protein p84 antibody [5E10] used in Western Blot (WB). GTX70220](/upload/website/prouct_img/middle/GTX70220/GTX70220_20240411_citeab_WB_2080_24041502_926.webp) 
                                                            
                                                        
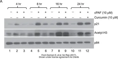
                                                    The data was published in the journal Sci Rep in 2017. PMID: 28157211
![Anti-Nuclear Matrix Protein p84 antibody [5E10] used in Western Blot (WB). GTX70220](/upload/website/prouct_img/middle/GTX70220/GTX70220_20240411_citeab_WB_2031_24041502_746.webp) 
                                                            
                                                        
                                                    The data was published in the journal Sci Rep in 2017. PMID: 28157211
![Anti-Nuclear Matrix Protein p84 antibody [5E10] used in Western Blot (WB). GTX70220](/upload/website/prouct_img/middle/GTX70220/GTX70220_20240411_citeab_WB_2032_24041502_475.webp) 
                                                            
                                                        
                                                    The data was published in the journal Biomed Res Int in 2015. PMID: 25834829
![Anti-Nuclear Matrix Protein p84 antibody [5E10] used in Western Blot (WB). GTX70220](/upload/website/prouct_img/middle/GTX70220/GTX70220_20240411_citeab_WB_2081_24041502_494.webp) 
                                                            
                                                        
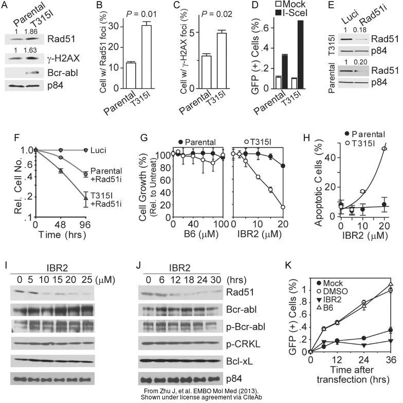
                                                    The data was published in the journal EMBO Mol Med in 2013. PMID: 23341130
![Anti-Nuclear Matrix Protein p84 antibody [5E10] used in Western Blot (WB). GTX70220](/upload/website/prouct_img/middle/GTX70220/GTX70220_20240411_citeab_WB_1890_24041502_102.webp) 
                                                            
                                                        
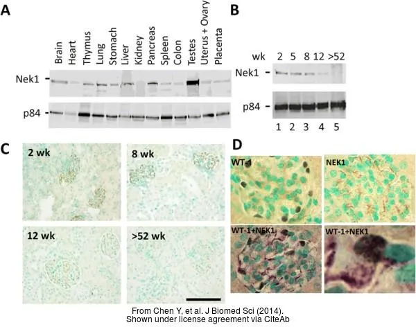
                                                    The data was published in the journal J Biomed Sci in 2014. PMID: 25030234
![Anti-Nuclear Matrix Protein p84 antibody [5E10] used in Western Blot (WB). GTX70220](/upload/website/prouct_img/middle/GTX70220/GTX70220_20240411_citeab_WB_1889_24041502_201.webp) 
                                                            
                                                        
                                                    The data was published in the journal EMBO Mol Med in 2013. PMID: 23341130
![Anti-Nuclear Matrix Protein p84 antibody [5E10] used in Western Blot (WB). GTX70220](/upload/website/prouct_img/middle/GTX70220/GTX70220_20240411_citeab_WB_538_24041501_810.webp) 
                                                            
                                                        
                                                    The data was published in the journal Nat Commun in 2016.PMID: 27046438
![Anti-Nuclear Matrix Protein p84 antibody [5E10] used in Western Blot (WB). GTX70220](/upload/website/prouct_img/middle/GTX70220/GTX70220_20240411_citeab_WB_539_24041501_290.webp) 
                                                            
                                                        
                                                    The data was published in the journal Nat Commun in 2016.PMID: 27046438
![Anti-Nuclear Matrix Protein p84 antibody [5E10] used in Western Blot (WB). GTX70220](/upload/website/prouct_img/middle/GTX70220/GTX70220_20240411_citeab_WB_342_24041501_389.webp) 
                                                            
                                                        
                                                    The data was published in the 2019 in Elife. PMID: 31663849
![Anti-Nuclear Matrix Protein p84 antibody [5E10] used in Western Blot (WB). GTX70220](/upload/website/prouct_img/middle/GTX70220/GTX70220_20240411_citeab_WB_341_24041501_635.webp) 
                                                            
                                                        
                                                    The data was published in the 2019 in Elife. PMID: 31663849
![Anti-Nuclear Matrix Protein p84 antibody [5E10] used in Western Blot (WB). GTX70220](/upload/website/prouct_img/middle/GTX70220/GTX70220_44384_20210730_WB_25082900_486.webp) 
                                            ![Anti-Nuclear Matrix Protein p84 antibody [5E10] used in Western Blot (WB). GTX70220](/upload/website/prouct_img/middle/GTX70220/p84-antibody-5E10-GTX70220-WB-5_w_23061221_571.webp) 
                                            ![Anti-Nuclear Matrix Protein p84 antibody [5E10] used in Western Blot (WB). GTX70220](/upload/website/prouct_img/middle/GTX70220/p84-antibody-5E10-GTX70220-WB-6_w_23061221_103.webp) 
                                            ![Anti-Nuclear Matrix Protein p84 antibody [5E10] used in Western Blot (WB). GTX70220](/upload/website/prouct_img/middle/GTX70220/p84-antibody-5E10-GTX70220-WB-3_w_23061221_177.webp) 
                                            ![Anti-Nuclear Matrix Protein p84 antibody [5E10] used in Western Blot (WB). GTX70220](/upload/website/prouct_img/middle/GTX70220/p84-antibody-5E10-GTX70220-WB-1_w_23061221_748.webp) 
                                            ![Anti-Nuclear Matrix Protein p84 antibody [5E10] used in IHC (Paraffin sections) (IHC-P). GTX70220](/upload/website/prouct_img/middle/GTX70220/GTX70220_43388_20190719_IHC-P_w_23061221_387.webp) 
                                            ![Anti-Nuclear Matrix Protein p84 antibody [5E10] used in Immunocytochemistry/ Immunofluorescence (ICC/IF). GTX70220](/upload/website/prouct_img/middle/GTX70220/GTX70220_43264_20180905_ICC_IF_w_23061221_293.webp) 
                                            ![Anti-Nuclear Matrix Protein p84 antibody [5E10] used in IHC (Paraffin sections) (IHC-P). GTX70220](/upload/website/prouct_img/middle/GTX70220/GTX70220_43264_20180928_IHC-P_w_23061221_986.webp) 
                                            ![Anti-Nuclear Matrix Protein p84 antibody [5E10] used in Immunoprecipitation (IP). GTX70220](/upload/website/prouct_img/middle/GTX70220/GTX70220_41295_IP_w_23061221_303.webp) 
                                            ![Anti-Nuclear Matrix Protein p84 antibody [5E10] used in Western Blot (WB). GTX70220](/upload/website/prouct_img/middle/GTX70220/GTX70220_20240411_citeab_WB_2733_24041502_670.webp) 
                                            ![Anti-Nuclear Matrix Protein p84 antibody [5E10] used in Western Blot (WB). GTX70220](/upload/website/prouct_img/middle/GTX70220/GTX70220_20240411_citeab_WB_540_24041501_439.webp) 
                                                    
                                            ![Anti-Nuclear Matrix Protein p84 antibody [5E10] used in Western Blot (WB). GTX70220](/upload/website/prouct_img/middle/GTX70220/GTX70220_20240411_citeab_WB_409_24041501_169.webp) 
                                                    
                                            ![Anti-Nuclear Matrix Protein p84 antibody [5E10] used in Western Blot (WB). GTX70220](/upload/website/prouct_img/middle/GTX70220/GTX70220_20240411_citeab_WB_2359_24041502_824.webp) 
                                                    
                                            ![Anti-Nuclear Matrix Protein p84 antibody [5E10] used in Western Blot (WB). GTX70220](/upload/website/prouct_img/middle/GTX70220/GTX70220_20240411_citeab_WB_2196_24041502_604.webp) 
                                                    
                                            ![Anti-Nuclear Matrix Protein p84 antibody [5E10] used in Western Blot (WB). GTX70220](/upload/website/prouct_img/middle/GTX70220/GTX70220_20240411_citeab_WB_2195_24041502_782.webp) 
                                                    
                                            ![Anti-Nuclear Matrix Protein p84 antibody [5E10] used in Western Blot (WB). GTX70220](/upload/website/prouct_img/middle/GTX70220/GTX70220_20240411_citeab_WB_2194_24041502_197.webp) 
                                                    
                                            ![Anti-Nuclear Matrix Protein p84 antibody [5E10] used in Western Blot (WB). GTX70220](/upload/website/prouct_img/middle/GTX70220/GTX70220_20240411_citeab_WB_2080_24041502_926.webp) 
                                                    
                                            ![Anti-Nuclear Matrix Protein p84 antibody [5E10] used in Western Blot (WB). GTX70220](/upload/website/prouct_img/middle/GTX70220/GTX70220_20240411_citeab_WB_2031_24041502_746.webp) 
                                                    
                                            ![Anti-Nuclear Matrix Protein p84 antibody [5E10] used in Western Blot (WB). GTX70220](/upload/website/prouct_img/middle/GTX70220/GTX70220_20240411_citeab_WB_2032_24041502_475.webp) 
                                                    
                                            ![Anti-Nuclear Matrix Protein p84 antibody [5E10] used in Western Blot (WB). GTX70220](/upload/website/prouct_img/middle/GTX70220/GTX70220_20240411_citeab_WB_2081_24041502_494.webp) 
                                                    
                                            ![Anti-Nuclear Matrix Protein p84 antibody [5E10] used in Western Blot (WB). GTX70220](/upload/website/prouct_img/middle/GTX70220/GTX70220_20240411_citeab_WB_1890_24041502_102.webp) 
                                                    
                                            ![Anti-Nuclear Matrix Protein p84 antibody [5E10] used in Western Blot (WB). GTX70220](/upload/website/prouct_img/middle/GTX70220/GTX70220_20240411_citeab_WB_1889_24041502_201.webp) 
                                                    
                                            ![Anti-Nuclear Matrix Protein p84 antibody [5E10] used in Western Blot (WB). GTX70220](/upload/website/prouct_img/middle/GTX70220/GTX70220_20240411_citeab_WB_538_24041501_810.webp) 
                                                    
                                            ![Anti-Nuclear Matrix Protein p84 antibody [5E10] used in Western Blot (WB). GTX70220](/upload/website/prouct_img/middle/GTX70220/GTX70220_20240411_citeab_WB_539_24041501_290.webp) 
                                                    
                                            ![Anti-Nuclear Matrix Protein p84 antibody [5E10] used in Western Blot (WB). GTX70220](/upload/website/prouct_img/middle/GTX70220/GTX70220_20240411_citeab_WB_342_24041501_389.webp) 
                                                    
                                            ![Anti-Nuclear Matrix Protein p84 antibody [5E10] used in Western Blot (WB). GTX70220](/upload/website/prouct_img/middle/GTX70220/GTX70220_20240411_citeab_WB_341_24041501_635.webp) 
                                                    
                                            - 
                                            宿主Mouse
- 
                                            克隆Monoclonal
- 
                                            克隆编号5E10
- 
                                                同种型IgG2b
- 
                                            实验应用WB ICC/IF IHC-P IP ChIP assay IHC
- 
                                            种属反应Human, Mouse, Rat, Hamster, Monkey
 
                                            