Nucleoporin p62抗体

目录号 GTX107973
目录号  GTX107973
Anti-Nucleoporin p62 antibody used in Western Blot (WB). GTX107973
GTX107973 WB Image

Whole cell extract (30 μg) was separated by 7.5% SDS-PAGE, and the membrane was blotted with Nucleoporin p62 antibody (GTX107973) diluted at 1:5000. The HRP-conjugated anti-rabbit IgG antibody (GTX213110-01) was used to detect the primary antibody.

1 / 8
Anti-Nucleoporin p62 antibody used in Western Blot (WB). GTX107973
GTX107973 WB Image

Various whole cell extracts (30 μg) were separated by 7.5% SDS-PAGE, and the membrane was blotted with Nucleoporin p62 antibody (GTX107973) diluted at 1:5000. The HRP-conjugated anti-rabbit IgG antibody (GTX213110-01) was used to detect the primary antibody.

2 / 8
Anti-Nucleoporin p62 antibody used in Western Blot (WB). GTX107973
GTX107973 WB Image

Sample (30 μg of whole cell lysate)
A: PC-12
7.5% SDS PAGE
GTX107973 diluted at 1:5000
The HRP-conjugated anti-rabbit IgG antibody (GTX213110-01) was used to detect the primary antibody.

3 / 8
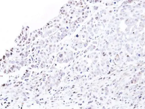
Anti-Nucleoporin p62 antibody used in IHC (Paraffin sections) (IHC-P). GTX107973
GTX107973 IHC-P Image

Nucleoporin p62 antibody detects Nucleoporin p62 protein at nucleus by immunohistochemical analysis.
Sample: Paraffin-embedded rat brain.
Nucleoporin p62 stained by Nucleoporin p62 antibody (GTX107973) diluted at 1:500.
Antigen Retrieval: Citrate buffer, pH 6.0, 15 min

4 / 8
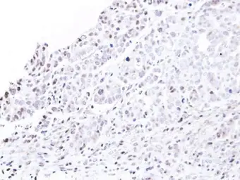
Anti-Nucleoporin p62 antibody used in IHC (Paraffin sections) (IHC-P). GTX107973
GTX107973 IHC-P Image

Immunohistochemical analysis of paraffin-embedded NCIN87 xenograft, using nucleoporin p62 (GTX107973) antibody at 1:500 dilution.
Antigen Retrieval: Trilogy™ (EDTA based, pH 8.0) buffer, 15min

5 / 8
Anti-Nucleoporin p62 antibody used in Immunocytochemistry/ Immunofluorescence (ICC/IF). GTX107973
GTX107973 ICC/IF Image

Nucleoporin p62 antibody detects Nucleoporin p62 protein at nucleus by immunofluorescent analysis.
Sample: HeLa cells were fixed in 4% paraformaldehyde at RT for 15 min.
Green: Nucleoporin p62 protein stained by Nucleoporin p62 antibody (GTX107973) diluted at 1:750.
Blue: Hoechst 33342 staining.
Scale bar = 10 μm.

6 / 8
Anti-Nucleoporin p62 antibody used in Immunoprecipitation (IP). GTX107973
GTX107973 IP Image

Nucleoporin p62 antibody immunoprecipitates NUP62 protein in IP experiments.
IP samples: 293T whole cell extract
A. Control with 4 μg of preimmune Rabbit IgG
B. Immunoprecipitation of NUP62 protein by 4 μg Nucleoporin p62 antibody (GTX107973)
7.5 % SDS-PAGE
The immunoprecipitated NUP62 protein was detected by Nucleoporin p62 antibody (GTX107973) diluted at 1:1000.
[EasyBlot anti-rabbit IgG (GTX221666-01) was used as a secondary reagent]

7 / 8
Anti-Nucleoporin p62 antibody used in Western Blot (WB). GTX107973
GTX107973 WB Image

Sample (30 μg of whole cell lysate)
A: NIH-3T3
B: JC
C: BCL-1
D: C2C12
7.5% SDS PAGE
GTX107973 diluted at 1:5000
The HRP-conjugated anti-rabbit IgG antibody (GTX213110-01) was used to detect the primary antibody.

8 / 8
Anti-Nucleoporin p62 antibody used in Western Blot (WB). GTX107973
Anti-Nucleoporin p62 antibody used in Western Blot (WB). GTX107973
Anti-Nucleoporin p62 antibody used in Western Blot (WB). GTX107973
Anti-Nucleoporin p62 antibody used in IHC (Paraffin sections) (IHC-P). GTX107973
Anti-Nucleoporin p62 antibody used in IHC (Paraffin sections) (IHC-P). GTX107973
Anti-Nucleoporin p62 antibody used in Immunocytochemistry/ Immunofluorescence (ICC/IF). GTX107973
Anti-Nucleoporin p62 antibody used in Immunoprecipitation (IP). GTX107973
Anti-Nucleoporin p62 antibody used in Western Blot (WB). GTX107973
  • 宿主
    Rabbit
  • 克隆
    Polyclonal
  • 同种型
    IgG
  • 实验应用
    WB ICC/IF IHC-P IP
  • 种属反应
    Human, Mouse, Rat
查看所有 Nucleoporin p62 的产品