Occludin抗体

目录号 GTX114949
目录号  GTX114949
Anti-Occludin antibody used in Western Blot (WB). GTX114949
GTX114949 WB Image

Various whole cell extracts (30 μg) were separated by 10% SDS-PAGE, and the membrane was blotted with Occludin antibody (GTX114949) diluted at 1:1000. The HRP-conjugated anti-rabbit IgG antibody (GTX213110-01) was used to detect the primary antibody. Corresponding RNA expression data for the same cell lines are based on Human Protein Atlas program.

1 / 5
Anti-Occludin antibody used in Immunocytochemistry/ Immunofluorescence (ICC/IF). GTX114949
GTX114949 ICC/IF Image

Occludin antibody detects Occludin protein at cell membrane by immunofluorescent analysis.
Sample: MCF-7 cells were fixed in 4% paraformaldehyde at RT for 15 min.
Green: Occludin stained by Occludin antibody (GTX114949) diluted at 1:1000.
Blue: Fluoroshield with DAPI (GTX30920).

2 / 5
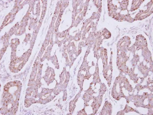
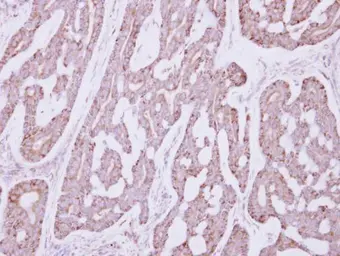
Anti-Occludin antibody used in IHC (Paraffin sections) (IHC-P). GTX114949
GTX114949 IHC-P Image

Immunohistochemical analysis of paraffin-embedded human breast cancer, using Occludin(GTX114949) antibody at 1:250 dilution.
Antigen Retrieval: Trilogy™ (EDTA based, pH 8.0) buffer, 15min

3 / 5
Anti-Occludin antibody used in IHC (Frozen sections) (IHC-Fr). GTX114949
GTX114949 IHC-Fr Image

Occludin antibody detects Occludin protein expression by immunohistochemical analysis.
Sample: Frozen sectioned E13.5 Rat brain.
Green: Occludin protein stained by Occludin antibody (GTX114949) diluted at 1:250.
Blue: Fluoroshield with DAPI (GTX30920).

4 / 5
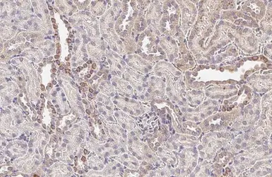
Anti-Occludin antibody used in IHC (Paraffin sections) (IHC-P). GTX114949
GTX114949 IHC-P Image

Occludin antibody detects Occludin protein at cell membrane by immunohistochemical analysis.
Sample: Paraffin-embedded rat kidney.
Occludin stained by Occludin antibody (GTX114949) diluted at 1:500.
Antigen Retrieval: Citrate buffer, pH 6.0, 15 min

5 / 5
Anti-Occludin antibody used in Western Blot (WB). GTX114949
Anti-Occludin antibody used in Immunocytochemistry/ Immunofluorescence (ICC/IF). GTX114949
Anti-Occludin antibody used in IHC (Paraffin sections) (IHC-P). GTX114949
Anti-Occludin antibody used in IHC (Frozen sections) (IHC-Fr). GTX114949
Anti-Occludin antibody used in IHC (Paraffin sections) (IHC-P). GTX114949
  • 宿主
    Rabbit
  • 克隆
    Polyclonal
  • 同种型
    IgG
  • 实验应用
    WB ICC/IF IHC-P IHC-Fr
  • 种属反应
    Human, Mouse, Rat, Monkey
查看所有 Occludin 的产品