P2X7抗体

目录号 GTX104288
目录号  GTX104288
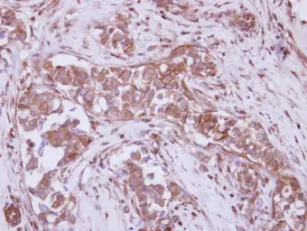
Anti-P2X7 antibody used in IHC (Paraffin sections) (IHC-P). GTX104288
GTX104288 IHC-P Image

Immunohistochemical analysis of paraffin-embedded human breast cancer, using P2X7(GTX104288) antibody at 1:250 dilution.
Antigen Retrieval: Citrate buffer, pH 6.0, 15 min

1 / 3
Anti-P2X7 antibody used in IHC (Frozen sections) (IHC-Fr). GTX104288
GTX104288 IHC-Fr Image

P2X7 antibody detects P2X7 protein by immunohistochemical analysis.
Sample: Frozen sectioned adult mouse retina.
Green: P2X7 protein stained by P2X7 antibody (GTX104288) diluted at 1:250.
Red: Protein kinase C alpha staining.
Blue: Fluoroshield with DAPI (GTX30920).

Antigen Retrieval: Citrate buffer, pH 6.0, 15 min

2 / 3
Anti-P2X7 antibody used in IHC (Paraffin sections) (IHC-P). GTX104288
GTX104288 IHC-P Image

P2X7 antibody detects P2X7 protein at cell membrane and cytoplasm in rat brain by immunohistochemical analysis.
Sample: Paraffin-embedded rat brain.
P2X7 antibody (GTX104288) diluted at 1:500.

Antigen Retrieval: Citrate buffer, pH 6.0, 15 min

3 / 3
Anti-P2X7 antibody used in IHC (Paraffin sections) (IHC-P). GTX104288
Anti-P2X7 antibody used in IHC (Frozen sections) (IHC-Fr). GTX104288
Anti-P2X7 antibody used in IHC (Paraffin sections) (IHC-P). GTX104288
  • 宿主
    Rabbit
  • 克隆
    Polyclonal
  • 同种型
    IgG
  • 实验应用
    IHC-P IHC-Fr
  • 种属反应
    Human, Mouse, Rat
查看所有 P2X7 的产品