PARP抗体 [N2C1], Internal

目录号 GTX112864
目录号  GTX112864
Anti-PARP antibody [N2C1], Internal used in Western Blot (WB). GTX112864
GTX112864 WB Image

Non-transfected (–) and transfected (+) 293T whole cell extracts (30 μg) were separated by 7.5% SDS-PAGE, and the membrane was blotted with PARP antibody [N2C1], Internal (GTX112864) diluted at 1:5000. The HRP-conjugated anti-rabbit IgG antibody (GTX213110-01) was used to detect the primary antibody.

1 / 14
Anti-PARP antibody [N2C1], Internal used in Western Blot (WB). GTX112864
GTX112864 WB Image

Various whole cell extracts (30 μg) were separated by 5% SDS-PAGE, and the membranes were blotted with PARP antibody [N2C1], Internal (GTX112864) diluted at 1:10000 and competitor's antibody (#9542) diluted at 1:500. The HRP-conjugated anti-rabbit IgG antibody (GTX213110-01) was used to detect the primary antibody.

*The competitor is not affiliated with GeneTex and does not endorse this product.

2 / 14
Anti-PARP antibody [N2C1], Internal used in Western Blot (WB). GTX112864
GTX112864 WB Image

Various whole cell extracts (30 μg) were separated by 5% SDS-PAGE, and the membrane was blotted with PARP antibody [N2C1], Internal (GTX112864) diluted at 1:10000. The HRP-conjugated anti-rabbit IgG antibody (GTX213110-01) was used to detect the primary antibody. Corresponding RNA expression data for the same cell lines are based on Human Protein Atlas program.

3 / 14
Anti-PARP antibody [N2C1], Internal used in Western Blot (WB). GTX112864
GTX112864 WB Image

Untreated (–) and treated (+) HCT-116 whole cell extracts (30 μg) were separated by 7.5% SDS-PAGE, and the membrane was blotted with PARP antibody [N2C1], Internal (GTX112864) diluted at 1:1000. The HRP-conjugated anti-rabbit IgG antibody (GTX213110-01) was used to detect the primary antibody.

4 / 14
Anti-PARP antibody [N2C1], Internal used in Western Blot (WB). GTX112864
GTX112864 WB Image

Non-transfected (–) and transfected (+) 293T whole cell extracts (30 μg) were separated by 7.5% SDS-PAGE, and the membrane was blotted with PARP antibody [N2C1], Internal (GTX112864) diluted at 1:50000. The HRP-conjugated anti-rabbit IgG antibody (GTX213110-01) was used to detect the primary antibody.

5 / 14
Anti-PARP antibody [N2C1], Internal used in Western Blot (WB). GTX112864
GTX112864 WB Image

Various whole cell extracts (30 μg) were separated by 5% SDS-PAGE, and the membrane was blotted with PARP antibody [N2C1], Internal (GTX112864) diluted at 1:1000. The HRP-conjugated anti-rabbit IgG antibody (GTX213110-01) was used to detect the primary antibody.

6 / 14
Anti-PARP antibody [N2C1], Internal used in ChIP assay (ChIP assay). GTX112864
GTX112864 ChIP assay Image

Cross-linked ChIP was performed with Raji chromatin extract and 5 μg of either control rabbit IgG or anti-PARP1 antibody. The precipitated DNA was detected by PCR with primer set targeting to S100A9 promoter.

7 / 14
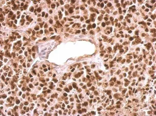
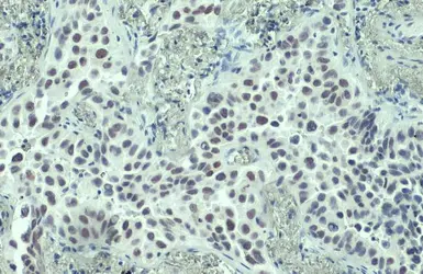
Anti-PARP antibody [N2C1], Internal used in IHC (Paraffin sections) (IHC-P). GTX112864
GTX112864 IHC-P Image

PARP antibody [N2C1], Internal detects PARP protein at nucleus by immunohistochemical analysis.
Sample: Paraffin-embedded human lung cancer.
PARP stained by PARP antibody [N2C1], Internal (GTX112864) diluted at 1:500.
Antigen Retrieval: Citrate buffer, pH 6.0, 15 min

8 / 14
Anti-PARP antibody [N2C1], Internal used in Immunoprecipitation (IP). GTX112864
GTX112864 IP Image

PARP1 antibody [N2C1], Internal immunoprecipitates PARP1 protein in IP experiments.
IP samples: HCT-116 whole cell extract
A. 30 μg HCT-116 whole cell extract
B. Control with 4 μg of preimmune Rabbit IgG
C. Immunoprecipitation of PARP1 protein by 4 μg PARP1 antibody [N2C1], Internal (GTX112864)
5 % SDS-PAGE
The immunoprecipitated PARP1 protein was detected by PARP1 antibody [N2C1], Internal (GTX112864) diluted at 1:3000.
[EasyBlot anti-rabbit IgG (GTX221666-01) was used as a secondary reagent]

9 / 14
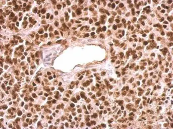
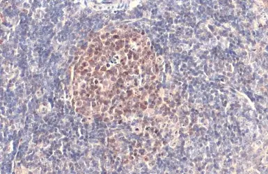
Anti-PARP antibody [N2C1], Internal used in IHC (Paraffin sections) (IHC-P). GTX112864
GTX112864 IHC-P Image

PARP antibody [N2C1], Internal detects PARP protein at nucleus by immunohistochemical analysis.
Sample: Paraffin-embedded mouse spleen.
PARP stained by PARP antibody [N2C1], Internal (GTX112864) diluted at 1:500.
Antigen Retrieval: Citrate buffer, pH 6.0, 15 min

10 / 14
Anti-PARP antibody [N2C1], Internal used in ChIP assay (ChIP assay). GTX112864
GTX112864 ChIP assay Image

ChIP was performed with HeLa chromatin extract and 5 μg of either normal rabbit IgG or anti-PARP antibody. The precipitated DNA was detected by PCR with primer set targeting to HSP70.1 promoter.

11 / 14
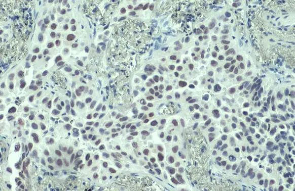
Anti-PARP antibody [N2C1], Internal used in IHC (Paraffin sections) (IHC-P). GTX112864
GTX112864 IHC-P Image

PARP1 antibody [N2C1], Internal detects PARP1 protein at nucleus on HeLa xenograft by immunohistochemical analysis.
Sample: Paraffin-embedded HeLa xenograft.
PARP1 antibody [N2C1], Internal (GTX112864) dilution: 1:500.

Antigen Retrieval: Trilogy™ (EDTA based, pH 8.0) buffer, 15min

12 / 14
Anti-PARP antibody [N2C1], Internal used in Immunocytochemistry/ Immunofluorescence (ICC/IF). GTX112864
GTX112864 ICC/IF Image

PARP antibody [N2C1], Internal detects PARP protein at nucleus by immunofluorescent analysis.
Sample: HeLa cells were fixed in 4% paraformaldehyde at RT for 15 min.
Green: PARP stained by PARP antibody [N2C1], Internal (GTX112864) diluted at 1:500.
Red: alpha Tubulin, a cytoskeleton marker, stained by alpha Tubulin antibody [GT114] (GTX628802) diluted at 1:1000.

13 / 14
Anti-PARP antibody [N2C1], Internal used in Western Blot (WB). GTX112864
GTX112864 WB Image

The data was published in the 2021 in Cancer Drug Resist. PMID: 35582384

14 / 14
Anti-PARP antibody [N2C1], Internal used in Western Blot (WB). GTX112864
Anti-PARP antibody [N2C1], Internal used in Western Blot (WB). GTX112864
Anti-PARP antibody [N2C1], Internal used in Western Blot (WB). GTX112864
Anti-PARP antibody [N2C1], Internal used in Western Blot (WB). GTX112864
Anti-PARP antibody [N2C1], Internal used in Western Blot (WB). GTX112864
Anti-PARP antibody [N2C1], Internal used in Western Blot (WB). GTX112864
Anti-PARP antibody [N2C1], Internal used in ChIP assay (ChIP assay). GTX112864
Anti-PARP antibody [N2C1], Internal used in IHC (Paraffin sections) (IHC-P). GTX112864
Anti-PARP antibody [N2C1], Internal used in Immunoprecipitation (IP). GTX112864
Anti-PARP antibody [N2C1], Internal used in IHC (Paraffin sections) (IHC-P). GTX112864
Anti-PARP antibody [N2C1], Internal used in ChIP assay (ChIP assay). GTX112864
Anti-PARP antibody [N2C1], Internal used in IHC (Paraffin sections) (IHC-P). GTX112864
Anti-PARP antibody [N2C1], Internal used in Immunocytochemistry/ Immunofluorescence (ICC/IF). GTX112864
Anti-PARP antibody [N2C1], Internal used in Western Blot (WB). GTX112864
  • 宿主
    Rabbit
  • 克隆
    Polyclonal
  • 同种型
    IgG
  • 实验应用
    WB ICC/IF IHC-P FCM IP ChIP assay
  • 种属反应
    Human, Mouse
摘要
PARP antibody (more specifically, PARP1 antibody) detects poly(ADP-ribose) polymerase (PARP)-1, which is involved in various biological mechanisms such as DNA repair, genomic stability, and programmed cell death. Preclinical and clinical studies showed that PARP inhibition is an effective anti-tumor modality, and thus PARP inhibitors have become essential components of various chemotherapeutic regimens against many malignancies.
查看所有 PARP 的产品