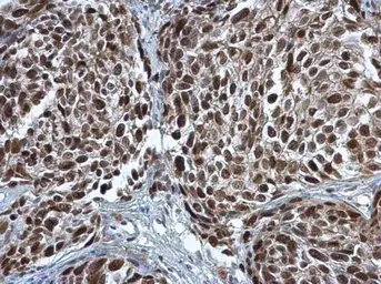
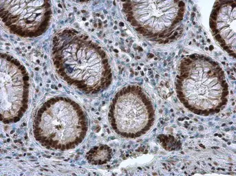
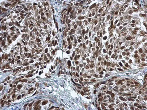
PCNA抗体
目录号 GTX100539
                        目录号  GTX100539
                                
                    
                            - 
                                            宿主Rabbit
- 
                                            克隆Polyclonal
- 
                                                同种型IgG
- 
                                            实验应用WB ICC/IF IHC-P IP
- 
                                            种属反应Human, Mouse, Rat, Drosophila, Golden Syrian Hamster
 摘要
                                    
                                        PCNA antibody recognizes the proliferating cell nuclear antigen (PCNA), a cofactor of DNA polymerase delta with a predicted molecular weight of 29 kDa. PCNA is important for DNA synthesis, repair, and epigenetic modifications, and also serves as an organelle marker of the nucleus. PCNA antibody can be used for distinguishing between early, middle, and late S-phase of the cell cycle as well as grading of different neoplasms.
                                    
                                 
                                             
                                             
                                                         
                                                            
                                                         
                                                            
                                                         
                                                            
                                                         
                                                            
                                                         
                                                            
                                                         
                                                            
                                                         
                                                            
                                                         
                                                            
                                                         
                                                            
                                                         
                                                            
                                                         
                                                            
                                                         
                                                            
                                                         
                                                            
                                                         
                                                            
                                                         
                                                            
                                                        