PD-L1抗体 [H302] HistoMAX™

目录号 GTX639925
目录号  GTX639925
Anti-PD-L1 antibody [H302] HistoMAX™ used in IHC (Paraffin sections) (IHC-P). GTX639925
GTX639925 IHC-P Image

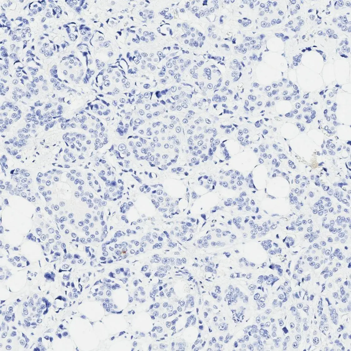
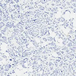
Optimal staining result of the human TNBC, tissue core no. 7, following the vendor recommended protocol settings.
No staining reaction is observed. The tumour was categorized as CPS Low (<10).

1 / 16
Anti-PD-L1 antibody [H302] HistoMAX&trade; used in IHC (Paraffin sections) (IHC-P). GTX639925
GTX639925 IHC-P Image

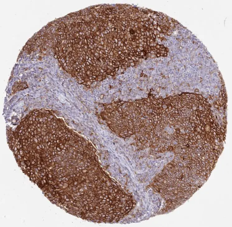
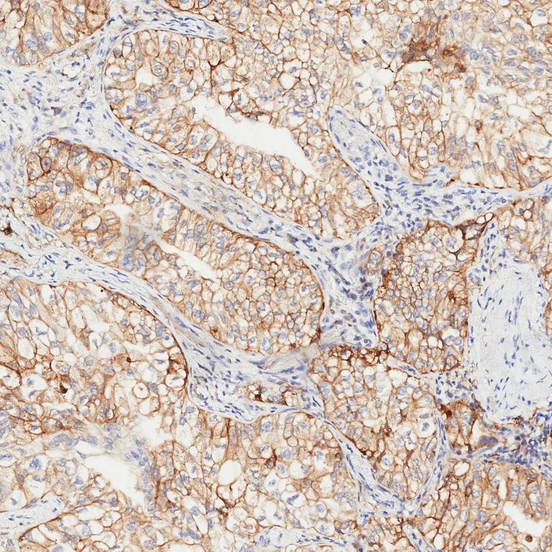
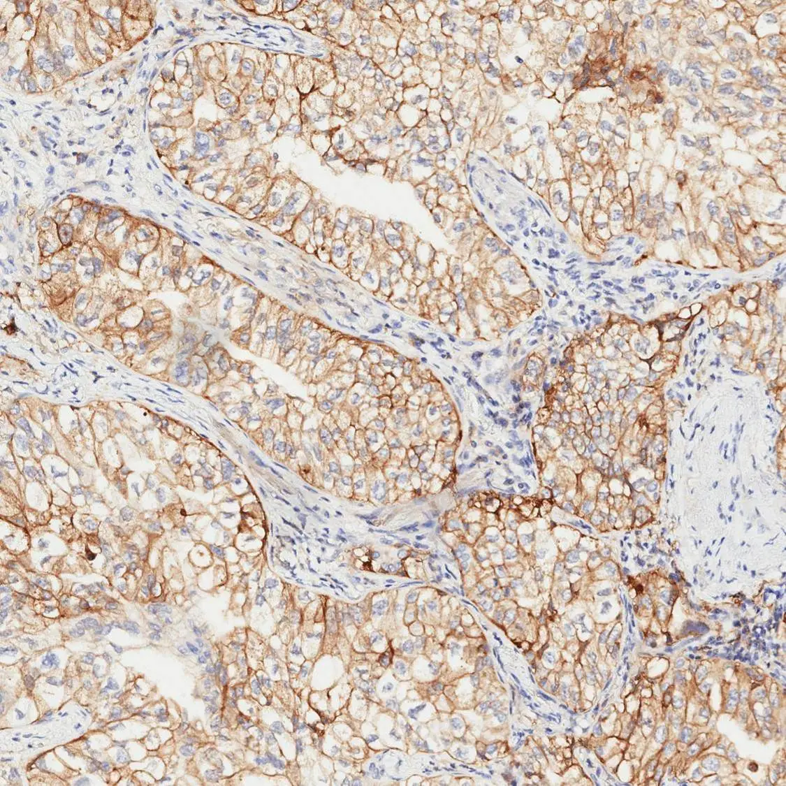
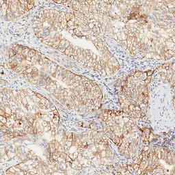
Optimal staining result of human NSCLC, tissue core no. 6, using PD-L1 antibody [H302] HistoMAX™ on Leica Bond III, following the vendor recommended protocol settings.
Distinct membranous reactivity ranging from weak to strong intensity is demonstrated across virtually all tumor cells. Based on this diffuse expression pattern, the tumor is categorized as TPS High (≥50%).

2 / 16
Anti-PD-L1 antibody [H302] HistoMAX&trade; used in IHC (Paraffin sections) (IHC-P). GTX639925
GTX639925 IHC-P Image

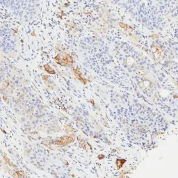
Optimal staining result of human NSCLC, tissue core no. 5, using PD-L1 antibody [H302] HistoMAX™ on Leica Bond III, following the vendor recommended protocol settings.
Distinct membranous reactivity (weak-to-moderate intensity) is observed in approximately 40% of tumor cells. Accordingly, the specimen is categorized as TPS Low (≥1–49%).

3 / 16
Anti-PD-L1 antibody [H302] HistoMAX&trade; used in IHC (Paraffin sections) (IHC-P). GTX639925
GTX639925 IHC-P Image

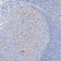
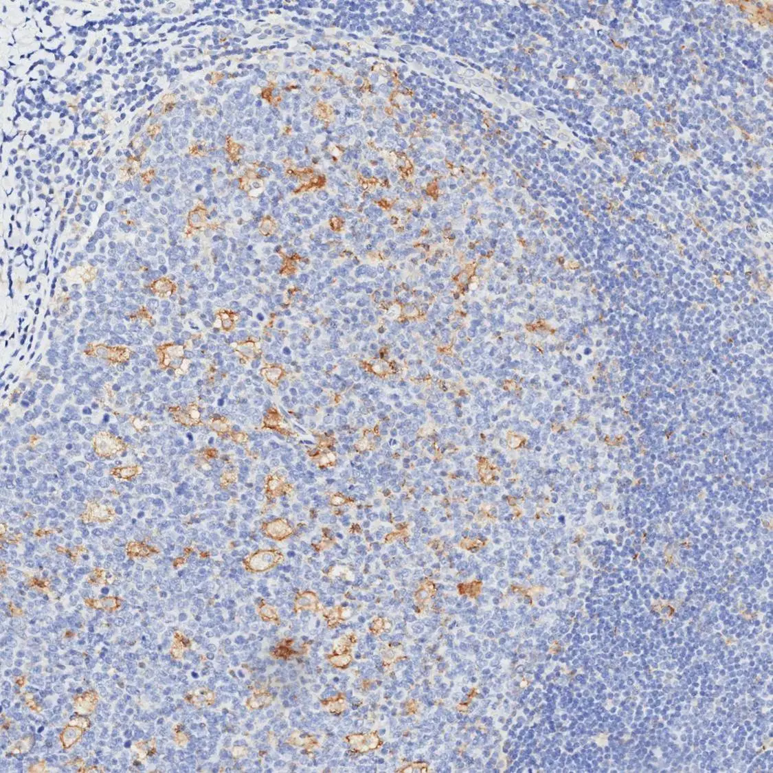
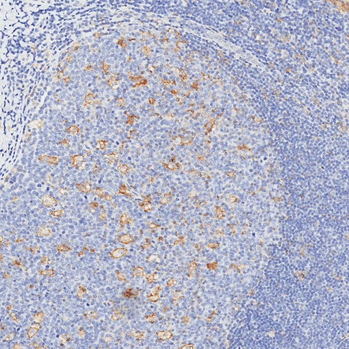
Optimal staining result of human tonsil using PD-L1 antibody [H302] HistoMAX™ on Leica Bond III, following the vendor recommended protocol settings.
Distinct punctate membranous reactivity (weak-to-moderate intensity) observed in germinal center macrophages and scattered lymphocytes. Note the high signal-to-noise ratio, with the predominant lymphocyte population remaining non-reactive.

4 / 16
Anti-PD-L1 antibody [H302] HistoMAX&trade; used in IHC (Paraffin sections) (IHC-P). GTX639925
GTX639925 IHC-P Image

Optimal staining result of human NSCLC, tissue core no. 5, using PD-L1 antibody [H302] HistoMAX™ on Leica Bond III, following the vendor recommended protocol settings.
Distinct membranous reactivity (weak-to-moderate intensity) is observed in approximately 40% of tumor cells. Accordingly, the specimen is categorized as TPS Low (≥1–49%).

5 / 16
Anti-PD-L1 antibody [H302] HistoMAX&trade; used in IHC (Paraffin sections) (IHC-P). GTX639925
GTX639925 IHC-P Image

Optimal staining result of human tonsil using PD-L1 antibody [H302] HistoMAX™ on Leica Bond III, following the vendor recommended protocol settings.
Distinct punctate membranous reactivity (weak-to-moderate intensity) observed in germinal center macrophages and scattered lymphocytes. Note the high signal-to-noise ratio, with the predominant lymphocyte population remaining non-reactive.

6 / 16
Anti-PD-L1 antibody [H302] HistoMAX&trade; used in IHC (Paraffin sections) (IHC-P). GTX639925
GTX639925 IHC-P Image

Optimal staining result of human NSCLC, tissue core no. 6, using PD-L1 antibody [H302] HistoMAX™ on Leica Bond III, following the vendor recommended protocol settings.
Distinct membranous reactivity ranging from weak to strong intensity is demonstrated across virtually all tumor cells. Based on this diffuse expression pattern, the tumor is categorized as TPS High (≥50%).

7 / 16
Anti-PD-L1 antibody [H302] HistoMAX&trade; used in IHC (Paraffin sections) (IHC-P). GTX639925
GTX639925 IHC-P Image

Optimal staining result of the human TNBC, tissue core no. 7, following the vendor recommended protocol settings.
No staining reaction is observed. The tumour was categorized as CPS Low (<10).

8 / 16
Anti-PD-L1 antibody [H302] HistoMAX&trade; used in IHC (Paraffin sections) (IHC-P). GTX639925
GTX639925 IHC-P Image

IHC-P analysis of human corpus luteum from ovary tissue using GTX639925 PD-L1 antibody [H302] HistoMAX™.
Moderate to strong membranous PD-L1 staining of corpus luteum cells.

9 / 16
Anti-PD-L1 antibody [H302] HistoMAX&trade; used in IHC (Paraffin sections) (IHC-P). GTX639925
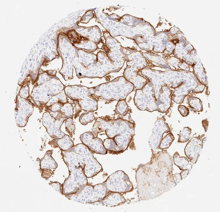
GTX639925 IHC-P Image

IHC-P analysis of human placenta (mature) tissue using GTX639925 PD-L1 antibody [H302] HistoMAX™.
Strong PD-L1 staining of the external membrane of the syncytiotrophoblast.

10 / 16
Anti-PD-L1 antibody [H302] HistoMAX&trade; used in IHC (Paraffin sections) (IHC-P). GTX639925
GTX639925 IHC-P Image

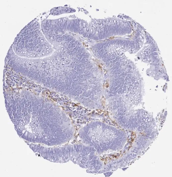
IHC-P analysis of human colorectal adenocarcinoma (COAD) tissue using GTX639925 PD-L1 antibody [H302] HistoMAX™.
PD-L1 negative colorectal adenocarcinoma surrounded by numerous PD-L1 positive inflammatory cells.

11 / 16
Anti-PD-L1 antibody [H302] HistoMAX&trade; used in IHC (Paraffin sections) (IHC-P). GTX639925
GTX639925 IHC-P Image

IHC-P analysis of human esophageal adenocarcinoma (EAC) tissue using GTX639925 PD-L1 antibody [H302] HistoMAX™.
PD-L1 negative esophageal adenocarcinoma showing intense PD-L1 positivity of tumor adjacent macrophages.

12 / 16
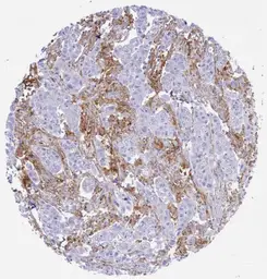
Anti-PD-L1 antibody [H302] HistoMAX&trade; used in IHC (Paraffin sections) (IHC-P). GTX639925
GTX639925 IHC-P Image

IHC-P analysis of human thymus tissue using GTX639925 PD-L1 antibody [H302] HistoMAX™.
Moderate to strong PD-L1 staining of thymic epithelial cells. Some macrophages also stain positive.

13 / 16
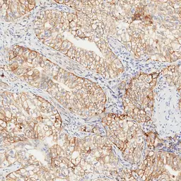
Anti-PD-L1 antibody [H302] HistoMAX&trade; used in IHC (Paraffin sections) (IHC-P). GTX639925
GTX639925 IHC-P Image

IHC-P analysis of human oropharyngeal squamous cell carcinoma (OPSCC) tissue using GTX639925 PD-L1 antibody [H302] HistoMAX™.
Strong membranous PD-L1 positivity of the stroma-adjacent (peripheric) tumor cell layers of a squamous cell carcinoma of the pharynx.

14 / 16
Anti-PD-L1 antibody [H302] HistoMAX&trade; used in IHC (Paraffin sections) (IHC-P). GTX639925
GTX639925 IHC-P Image

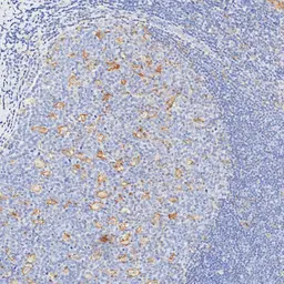
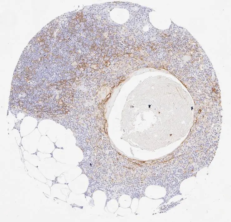
IHC-P analysis of human lymph node tissue using GTX639925 PD-L1 antibody [H302] HistoMAX™.
A subset of inflammatory cells stain PD-L1 positive.

15 / 16
Anti-PD-L1 antibody [H302] HistoMAX&trade; used in IHC (Paraffin sections) (IHC-P). GTX639925
GTX639925 IHC-P Image

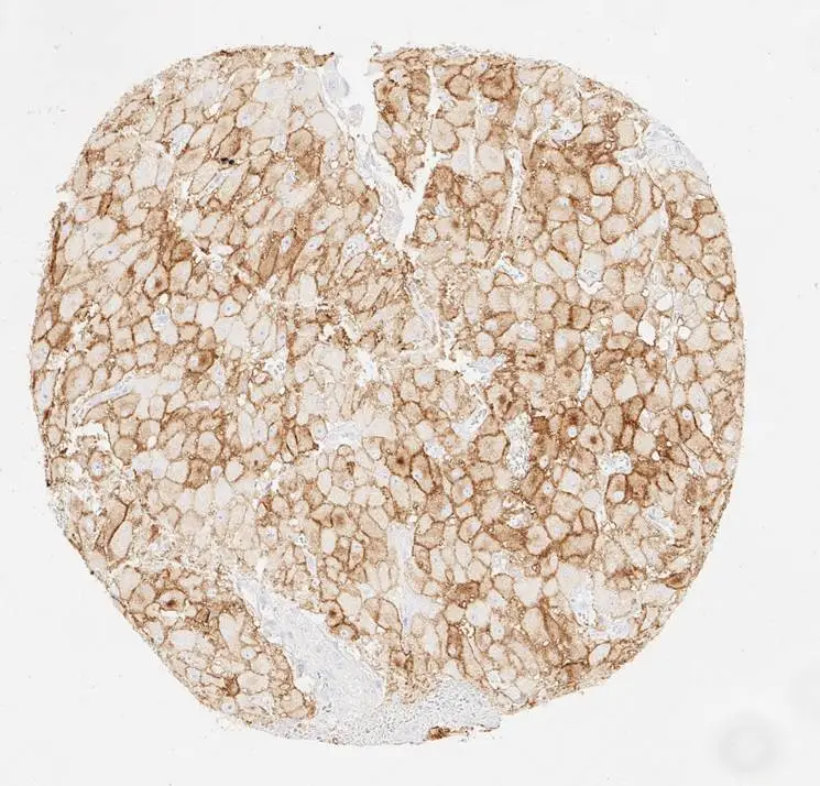
IHC-P analysis of human oral cavity squamous cell carcinoma (OCSCC) tissue using GTX639925 PD-L1 antibody [H302] HistoMAX™.
Strong predominantly membranous PD-L1 positivity of all tumor cells of a squamous cell carcinoma of the oral cavity. Some inflammatory cells are also PD-L1 positive.

16 / 16
Anti-PD-L1 antibody [H302] HistoMAX&trade; used in IHC (Paraffin sections) (IHC-P). GTX639925
Anti-PD-L1 antibody [H302] HistoMAX&trade; used in IHC (Paraffin sections) (IHC-P). GTX639925
Anti-PD-L1 antibody [H302] HistoMAX&trade; used in IHC (Paraffin sections) (IHC-P). GTX639925
Anti-PD-L1 antibody [H302] HistoMAX&trade; used in IHC (Paraffin sections) (IHC-P). GTX639925
Anti-PD-L1 antibody [H302] HistoMAX&trade; used in IHC (Paraffin sections) (IHC-P). GTX639925
Anti-PD-L1 antibody [H302] HistoMAX&trade; used in IHC (Paraffin sections) (IHC-P). GTX639925
Anti-PD-L1 antibody [H302] HistoMAX&trade; used in IHC (Paraffin sections) (IHC-P). GTX639925
Anti-PD-L1 antibody [H302] HistoMAX&trade; used in IHC (Paraffin sections) (IHC-P). GTX639925
Anti-PD-L1 antibody [H302] HistoMAX&trade; used in IHC (Paraffin sections) (IHC-P). GTX639925
Anti-PD-L1 antibody [H302] HistoMAX&trade; used in IHC (Paraffin sections) (IHC-P). GTX639925
Anti-PD-L1 antibody [H302] HistoMAX&trade; used in IHC (Paraffin sections) (IHC-P). GTX639925
Anti-PD-L1 antibody [H302] HistoMAX&trade; used in IHC (Paraffin sections) (IHC-P). GTX639925
Anti-PD-L1 antibody [H302] HistoMAX&trade; used in IHC (Paraffin sections) (IHC-P). GTX639925
Anti-PD-L1 antibody [H302] HistoMAX&trade; used in IHC (Paraffin sections) (IHC-P). GTX639925
Anti-PD-L1 antibody [H302] HistoMAX&trade; used in IHC (Paraffin sections) (IHC-P). GTX639925
Anti-PD-L1 antibody [H302] HistoMAX&trade; used in IHC (Paraffin sections) (IHC-P). GTX639925
  • 宿主
    Rabbit
  • 克隆
    Monoclonal
  • 克隆编号
    H302
  • 同种型
    IgG
  • 实验应用
    IHC-P
  • 种属反应
    Human
查看所有 PD-L1 的产品