PDI抗体 [N1N3]

目录号 GTX101468
目录号  GTX101468
Anti-PDI antibody [N1N3] used in Immunocytochemistry/ Immunofluorescence (ICC/IF). GTX101468
GTX101468 ICC/IF Image

Immunofluorescence analysis of methanol-fixed A431, using PDI(GTX101468) antibody at 1:200 dilution.

1 / 6
Anti-PDI antibody [N1N3] used in Western Blot (WB). GTX101468
GTX101468 WB Image

Sample(30 μg of whole cell lysate)
A:293T
B:A431(GTX27909)
C:H1299
7.5% SDS PAGE
GTX101468 diluted at 1:500

2 / 6
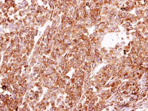
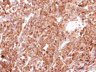
Anti-PDI antibody [N1N3] used in IHC (Paraffin sections) (IHC-P). GTX101468
GTX101468 IHC-P Image

Immunohistochemical analysis of paraffin-embedded H520 xenograft, using PDI(GTX101468) antibody at 1:100 dilution.
Antigen Retrieval: Trilogy™ (EDTA based, pH 8.0) buffer, 15min

3 / 6
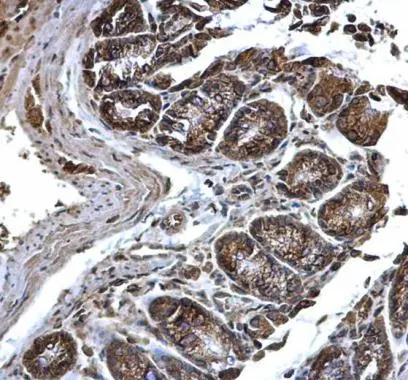
Anti-PDI antibody [N1N3] used in IHC (Paraffin sections) (IHC-P). GTX101468
GTX101468 IHC-P Image

PDI antibody [N1N3] detects PDI protein at cytosol and membrane on mouse colon by immunohistochemical analysis.
Sample: Paraffin-embedded mouse colon.
PDI antibody [N1N3] (GTX101468) dilution: 1:500.

Antigen Retrieval: Trilogy™ (EDTA based, pH 8.0) buffer, 15min

4 / 6
Anti-PDI antibody [N1N3] used in Western Blot (WB). GTX101468
GTX101468 WB Image

Sample (20 ug of whole cell lysate)
A: mouse liver
7.5% SDS PAGE
GTX101468 diluted at 1:10000

5 / 6
Anti-PDI antibody [N1N3] used in Immunocytochemistry/ Immunofluorescence (ICC/IF). GTX101468
GTX101468 ICC/IF Image

PDI antibody [N1N3] detects PDI protein at endoplasmic reticulum by immunofluorescent analysis.
Sample: HeLa cells were fixed in 4% paraformaldehyde at RT for 15 min.
Green: PDI protein stained by PDI antibody [N1N3] (GTX101468) diluted at 1:100.
Red: phalloidin, a cytoskeleton marker, stained by phalloidin (invitrogen, A12380) diluted at 1:200.
Blue: Hoechst 33342 staining.

6 / 6
Anti-PDI antibody [N1N3] used in Immunocytochemistry/ Immunofluorescence (ICC/IF). GTX101468
Anti-PDI antibody [N1N3] used in Western Blot (WB). GTX101468
Anti-PDI antibody [N1N3] used in IHC (Paraffin sections) (IHC-P). GTX101468
Anti-PDI antibody [N1N3] used in IHC (Paraffin sections) (IHC-P). GTX101468
Anti-PDI antibody [N1N3] used in Western Blot (WB). GTX101468
Anti-PDI antibody [N1N3] used in Immunocytochemistry/ Immunofluorescence (ICC/IF). GTX101468
  • 宿主
    Rabbit
  • 克隆
    Polyclonal
  • 同种型
    IgG
  • 实验应用
    WB ICC/IF IHC-P EM
  • 种属反应
    Human, Mouse, Rat
查看所有 PDI 的产品