PGAP3抗体 (Internal)

目录号 GTX47870
目录号  GTX47870
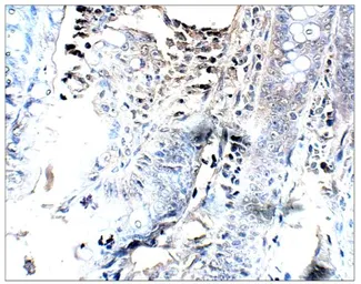
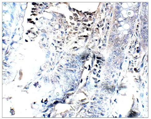
Anti-PGAP3 antibody (Internal) used in IHC (Paraffin sections) (IHC-P). GTX47870
GTX47870 IHC-P Image

IHC-P analysis of baboon colon tissue using GTX47870 PGAP3 antibody (Internal).
Dilution : 1:100

1 / 1
Anti-PGAP3 antibody (Internal) used in IHC (Paraffin sections) (IHC-P). GTX47870
  • 宿主
    Rabbit
  • 克隆
    Polyclonal
  • 同种型
    IgG
  • 实验应用
    WB IHC-P IP ELISA
  • 种属反应
    Human, Monkey, Baboon
查看所有 PGAP3 的产品