PTEN抗体

目录号 GTX101025
目录号  GTX101025
Anti-PTEN antibody used in Western Blot (WB). GTX101025
GTX101025 WB Image

Wild-type (WT) and PTEN knockout (KO) HeLa cell extracts (30 μg) were separated by 7.5% SDS-PAGE, and the membrane was blotted with PTEN antibody (GTX101025) diluted at 1:500. The HRP-conjugated anti-rabbit IgG antibody (GTX213110-01) was used to detect the primary antibody.

1 / 14
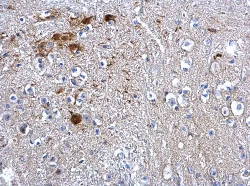
Anti-PTEN antibody used in IHC (Paraffin sections) (IHC-P). GTX101025
GTX101025 IHC-P Image

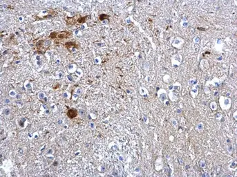
PTEN antibody detects PTEN protein at cytosol and nucleus on rat middle brain by immunohistochemical analysis.
Sample: Paraffin-embedded rat middle brain.
PTEN antibody (GTX101025) dilution: 1:500.

Antigen Retrieval: Trilogy™ (EDTA based, pH 8.0) buffer, 15min

2 / 14
Anti-PTEN antibody used in Western Blot (WB). GTX101025
GTX101025 WB Image

Whole cell extract (30 μg) was separated by 10% SDS-PAGE, and the membrane was blotted with PTEN antibody (GTX101025) diluted at 1:500. The HRP-conjugated anti-rabbit IgG antibody (GTX213110-01) was used to detect the primary antibody.

3 / 14
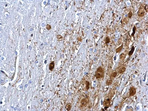
Anti-PTEN antibody used in IHC (Paraffin sections) (IHC-P). GTX101025
GTX101025 IHC-P Image

PTEN antibody detects PTEN protein at cytosol and nucleus on mouse middle brain by immunohistochemical analysis.
Sample: Paraffin-embedded mouse middle brain.
PTEN antibody (GTX101025) dilution: 1:500.

Antigen Retrieval: Trilogy™ (EDTA based, pH 8.0) buffer, 15min

4 / 14
Anti-PTEN antibody used in Western Blot (WB). GTX101025
GTX101025 WB Image

Whole cell extract (30 μg) was separated by 10% SDS-PAGE, and the membrane was blotted with PTEN antibody (GTX101025) diluted at 1:500. The HRP-conjugated anti-rabbit IgG antibody (GTX213110-01) was used to detect the primary antibody.

5 / 14
Anti-PTEN antibody used in IHC (Paraffin sections) (IHC-P). GTX101025
GTX101025 IHC-P Image

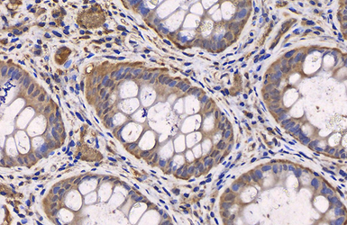
PTEN antibody detects PTEN protein at cytoplasm by immunohistochemical analysis (Autostainer Formulated).
Sample: Paraffin-embedded human normal colon tissue.
PTEN stained by PTEN antibody (GTX101025) diluted at 1:500.
Antigen Retrieval: Citrate buffer, 20 min

6 / 14
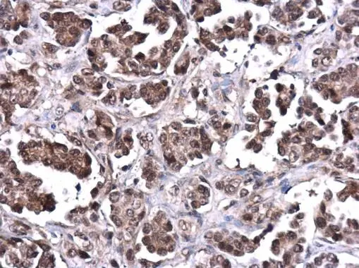
Anti-PTEN antibody used in IHC (Paraffin sections) (IHC-P). GTX101025
GTX101025 IHC-P Image

PTEN antibody detects PTEN protein at cytoplasm in human ovarian cancer by immunohistochemical analysis.
Sample: Paraffin-embedded human ovarian cancer.
PTEN antibody (GTX101025) diluted at 1:500.

Antigen Retrieval: Citrate buffer, pH 6.0, 15 min

7 / 14
Anti-PTEN antibody used in Immunocytochemistry/ Immunofluorescence (ICC/IF). GTX101025
GTX101025 ICC/IF Image

Confocal immunofluorescence analysis (Olympus FV10i) of paraformaldehyde-fixed HeLa, using PTEN(GTX101025) antibody (Green) at 1:500 dilution. Alpha-tubulin filaments were labeled with GTX11304 (Red) at 1:2000.

8 / 14
Anti-PTEN antibody used in Western Blot (WB). GTX101025
GTX101025 WB Image

Whole cell extract (30 μg) was separated by 7.5% SDS-PAGE, and the membrane was blotted with PTEN antibody (GTX101025) diluted at 1:500. The HRP-conjugated anti-rabbit IgG antibody (GTX213110-01) was used to detect the primary antibody.

9 / 14
Anti-PTEN antibody used in Western Blot (WB). GTX101025
GTX101025 WB Image

Sample (30 μg of whole cell lysate)
A: NIH-3T3
10% SDS PAGE
GTX101025 diluted at 1:500
The HRP-conjugated anti-rabbit IgG antibody (GTX213110-01) was used to detect the primary antibody.

10 / 14
Anti-PTEN antibody used in Western Blot (WB). GTX101025
GTX101025 WB Image

Various whole cell extracts (30 μg) were separated by 7.5% SDS-PAGE, and the membrane was blotted with PTEN antibody (GTX101025) diluted at 1:1000. The HRP-conjugated anti-rabbit IgG antibody (GTX213110-01) was used to detect the primary antibody.

11 / 14
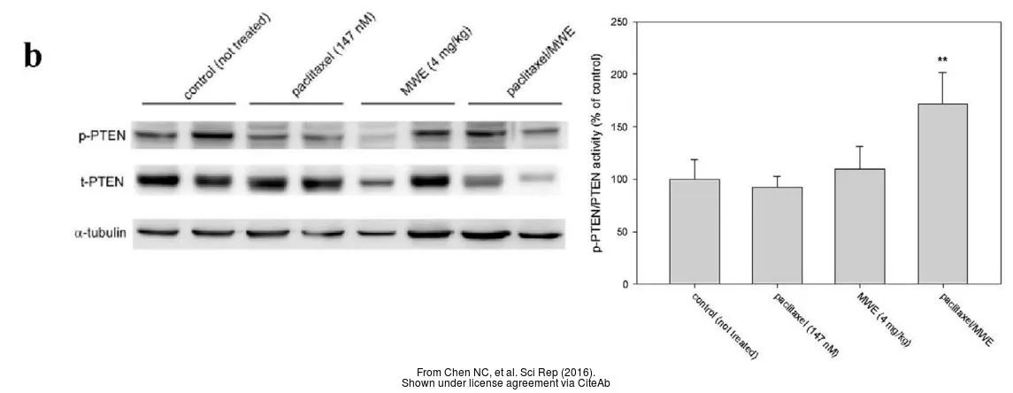
Anti-PTEN antibody used in Western Blot (WB). GTX101025
GTX101025 WB Image

The data was published in the journal Sci Rep in 2016. PMID: 26838546

12 / 14
Anti-PTEN antibody used in Immunocytochemistry/ Immunofluorescence (ICC/IF). GTX101025
GTX101025 ICC/IF Image

The data was published in the journal Int J Mol Sci in 2017. PMID: 29207527

13 / 14
Anti-PTEN antibody used in Immunocytochemistry/ Immunofluorescence (ICC/IF). GTX101025
GTX101025 ICC/IF Image

The data was published in the journal Int J Mol Sci in 2017. PMID: 29207527

14 / 14
Anti-PTEN antibody used in Western Blot (WB). GTX101025
Anti-PTEN antibody used in IHC (Paraffin sections) (IHC-P). GTX101025
Anti-PTEN antibody used in Western Blot (WB). GTX101025
Anti-PTEN antibody used in IHC (Paraffin sections) (IHC-P). GTX101025
Anti-PTEN antibody used in Western Blot (WB). GTX101025
Anti-PTEN antibody used in IHC (Paraffin sections) (IHC-P). GTX101025
Anti-PTEN antibody used in IHC (Paraffin sections) (IHC-P). GTX101025
Anti-PTEN antibody used in Immunocytochemistry/ Immunofluorescence (ICC/IF). GTX101025
Anti-PTEN antibody used in Western Blot (WB). GTX101025
Anti-PTEN antibody used in Western Blot (WB). GTX101025
Anti-PTEN antibody used in Western Blot (WB). GTX101025
Anti-PTEN antibody used in Western Blot (WB). GTX101025
Anti-PTEN antibody used in Immunocytochemistry/ Immunofluorescence (ICC/IF). GTX101025
Anti-PTEN antibody used in Immunocytochemistry/ Immunofluorescence (ICC/IF). GTX101025
  • 宿主
    Rabbit
  • 克隆
    Polyclonal
  • 同种型
    IgG
  • 实验应用
    WB ICC/IF IHC-P
  • 种属反应
    Human, Mouse, Rat, Cat, Dog, Pig
摘要
PTEN antibody detects phosphatase and tensin homolog (PTEN), a known tumor suppressor protein with a predicted molecular weight of ~47 kDa. PTEN is a key phosphatase involved in the AKT pathway, playing important roles in cell growth, survival, and migration. Loss of PTEN function is found in various diseases, including cancers.
查看所有 PTEN 的产品