Perilipin 1抗体

目录号 GTX130139
目录号  GTX130139
Anti-Perilipin 1 antibody used in Western Blot (WB). GTX130139
GTX130139 WB Image

Various tissue extracts (50 μg) were separated by 7.5% SDS-PAGE, and the membrane was blotted with Perilipin 1 antibody (GTX130139) diluted at 1:100000. The HRP-conjugated anti-rabbit IgG antibody (GTX213110-01) was used to detect the primary antibody.

1 / 3
Anti-Perilipin 1 antibody used in Western Blot (WB). GTX130139
GTX130139 WB Image

Unstimulatd and stimulatd 3T3-L1 whole cell extracts (20 μg) were separated by 7.5% SDS-PAGE, and the membrane was blotted with Perilipin 1 antibody (GTX130139) diluted at 1:500. The HRP-conjugated anti-rabbit IgG antibody (GTX213110-01) was used to detect the primary antibody. (The differentiation stimulated medium is composed by basal medium, 10% FBS, 50 ug/ml gentamicin, 1 nM L-glutamin, 500 uM IBMX, 1 uM dexamethasone, 2 uM rosiglitazone and 1 ug/ml insulin.)

2 / 3
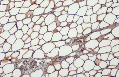
Anti-Perilipin 1 antibody used in IHC (Paraffin sections) (IHC-P). GTX130139
GTX130139 IHC-P Image

Perilipin 1 antibody detects Perilipin 1 protein at cytoplasm by immunohistochemical analysis.
Sample: Paraffin-embedded mouse white adipocyte.
Perilipin 1 stained by Perilipin 1 antibody (GTX130139) diluted at 1:500.
Antigen Retrieval: Citrate buffer, pH 6.0, 15 min

3 / 3
Anti-Perilipin 1 antibody used in Western Blot (WB). GTX130139
Anti-Perilipin 1 antibody used in Western Blot (WB). GTX130139
Anti-Perilipin 1 antibody used in IHC (Paraffin sections) (IHC-P). GTX130139
  • 宿主
    Rabbit
  • 克隆
    Polyclonal
  • 同种型
    IgG
  • 实验应用
    WB IHC-P
  • 种属反应
    Mouse
查看所有 Perilipin 1 的产品