Progesterone Receptor抗体 [N1], N-term
目录号 GTX116051
                        目录号  GTX116051
                                
                    
                            - 
                                            宿主Rabbit
- 
                                            克隆Polyclonal
- 
                                                同种型IgG
- 
                                            实验应用ICC/IF IHC-P
- 
                                            种属反应Human
 摘要
                                    
                                        The progesterone receptor (PR) is a well-known estrogen receptor (ER) target gene that is expressed in over two-thirds of ER-positive breast cancers. PR protein has a predicted molecular weight of 99kDa. It acts as a transcriptional regulator and activator of signal transduction pathways (i.e., MAPK, PI3K/Akt, and c-Src) that can drive proliferative signaling in breast cancer cells.
                                    
                                 
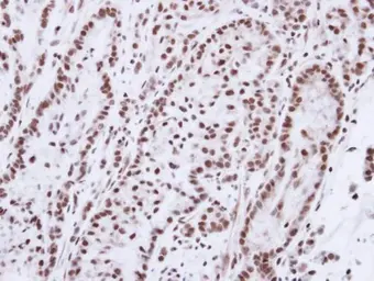
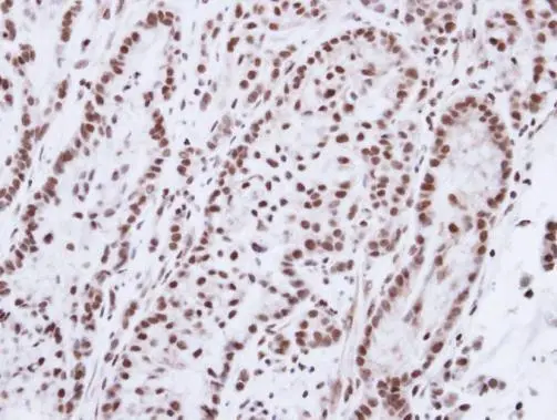
                                            ![Anti-Progesterone Receptor antibody [N1], N-term used in IHC (Paraffin sections) (IHC-P). GTX116051](/upload/website/prouct_img/middle/GTX116051/GTX116051_IHC_w_23060519_764.webp) 
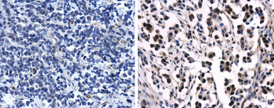
                                                        ![Anti-Progesterone Receptor antibody [N1], N-term used in Immunocytochemistry/ Immunofluorescence (ICC/IF). GTX116051](/upload/website/prouct_img/middle/GTX116051/GTX116051_IFA_w_23060519_971.webp) 
                                                            
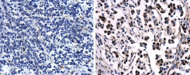
                                                        ![Anti-Progesterone Receptor antibody [N1], N-term used in IHC (Paraffin sections) (IHC-P). GTX116051](/upload/website/prouct_img/middle/GTX116051/GTX116051_40135_20160307_IHC-P_w_23060519_201.webp)