RAB35抗体 [N1C3]

目录号 GTX120294
目录号  GTX120294
Anti-RAB35 antibody [N1C3] used in Western Blot (WB). GTX120294
GTX120294 WB Image

Whole cell extract (30 μg) was separated by 12% SDS-PAGE, and the membrane was blotted with RAB35 antibody [N1C3] (GTX120294) diluted at 1:1000. The HRP-conjugated anti-rabbit IgG antibody (GTX213110-01) was used to detect the primary antibody.

1 / 8
Anti-RAB35 antibody [N1C3] used in Western Blot (WB). GTX120294
GTX120294 WB Image

Non-transfected (–) and transfected (+) 293T whole cell extracts (30 μg) were separated by 12% SDS-PAGE, and the membrane was blotted with RAB35 antibody [N1C3] (GTX120294) diluted at 1:2000. The HRP-conjugated anti-rabbit IgG antibody (GTX213110-01) was used to detect the primary antibody.

2 / 8
Anti-RAB35 antibody [N1C3] used in Western Blot (WB). GTX120294
GTX120294 WB Image

Mouse tissue extract (50 μg) was separated by 12% SDS-PAGE, and the membrane was blotted with RAB35 antibody [N1C3] (GTX120294) diluted at 1:1000. The HRP-conjugated anti-rabbit IgG antibody (GTX213110-01) was used to detect the primary antibody.

3 / 8
Anti-RAB35 antibody [N1C3] used in Western Blot (WB). GTX120294
GTX120294 WB Image

Various whole cell extracts (30 μg) were separated by 12% SDS-PAGE, and the membrane was blotted with RAB35 antibody [N1C3] (GTX120294) diluted at 1:1000. The HRP-conjugated anti-rabbit IgG antibody (GTX213110-01) was used to detect the primary antibody.

4 / 8
Anti-RAB35 antibody [N1C3] used in Immunocytochemistry/ Immunofluorescence (ICC/IF). GTX120294
GTX120294 ICC/IF Image

RAB35 antibody [N1C3] detects RAB35 protein at Golgi apparatus by immunofluorescent analysis.
Sample: U87-MG cells were fixed in 4% paraformaldehyde at RT for 15 min.
Green: RAB35 stained by RAB35 antibody [N1C3] (GTX120294) diluted at 1:500.
Blue: Hoechst 33342 staining.

5 / 8
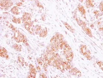
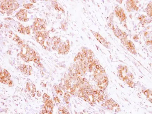
Anti-RAB35 antibody [N1C3] used in IHC (Paraffin sections) (IHC-P). GTX120294
GTX120294 IHC-P Image

Immunohistochemical analysis of paraffin-embedded human breast cancer, using RAB35(GTX120294) antibody at 1:250 dilution.
Antigen Retrieval: Citrate buffer, pH 6.0, 15 min

6 / 8
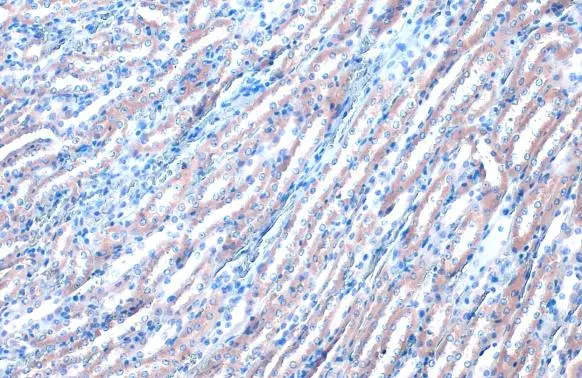
Anti-RAB35 antibody [N1C3] used in IHC (Paraffin sections) (IHC-P). GTX120294
GTX120294 IHC-P Image

RAB35 antibody [N1C3] detects RAB35 protein at cytoplasm by immunohistochemical analysis.
Sample: Paraffin-embedded mouse kidney.
RAB35 stained by RAB35 antibody [N1C3] (GTX120294) diluted at 1:500.
Antigen Retrieval: Citrate buffer, pH 6.0, 15 min

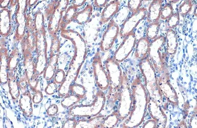
7 / 8
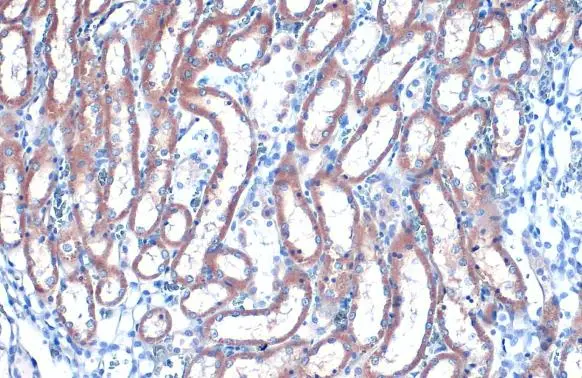
Anti-RAB35 antibody [N1C3] used in IHC (Paraffin sections) (IHC-P). GTX120294
GTX120294 IHC-P Image

RAB35 antibody [N1C3] detects RAB35 protein at cytoplasm by immunohistochemical analysis.
Sample: Paraffin-embedded rat kidney.
RAB35 stained by RAB35 antibody [N1C3] (GTX120294) diluted at 1:500.
Antigen Retrieval: Citrate buffer, pH 6.0, 15 min

8 / 8
Anti-RAB35 antibody [N1C3] used in Western Blot (WB). GTX120294
Anti-RAB35 antibody [N1C3] used in Western Blot (WB). GTX120294
Anti-RAB35 antibody [N1C3] used in Western Blot (WB). GTX120294
Anti-RAB35 antibody [N1C3] used in Western Blot (WB). GTX120294
Anti-RAB35 antibody [N1C3] used in Immunocytochemistry/ Immunofluorescence (ICC/IF). GTX120294
Anti-RAB35 antibody [N1C3] used in IHC (Paraffin sections) (IHC-P). GTX120294
Anti-RAB35 antibody [N1C3] used in IHC (Paraffin sections) (IHC-P). GTX120294
Anti-RAB35 antibody [N1C3] used in IHC (Paraffin sections) (IHC-P). GTX120294
  • 宿主
    Rabbit
  • 克隆
    Polyclonal
  • 同种型
    IgG
  • 实验应用
    WB ICC/IF IHC-P
  • 种属反应
    Human, Mouse, Rat, Hamster
查看所有 RAB35 的产品