RAS抗体

目录号 GTX132480
目录号  GTX132480
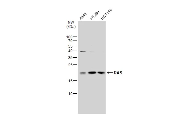
Anti-RAS antibody used in Western Blot (WB). GTX132480
GTX132480 WB Image

Various whole cell extracts (30 μg) were separated by 15% SDS-PAGE, and the membrane was blotted with RAS antibody (GTX132480) diluted at 1:1000. The HRP-conjugated anti-rabbit IgG antibody (GTX213110-01) was used to detect the primary antibody.

1 / 8
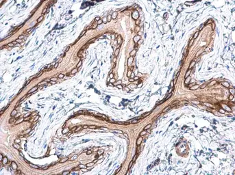
Anti-RAS antibody used in IHC (Paraffin sections) (IHC-P). GTX132480
GTX132480 IHC-P Image

Ras antibody detects Ras protein at cytoplasm in human colon carcinoma by immunohistochemical analysis.
Sample: Paraffin-embedded human colon carcinoma.
Ras antibody (GTX132480) diluted at 1:500.

Antigen Retrieval: Citrate buffer, pH 6.0, 15 min

2 / 8
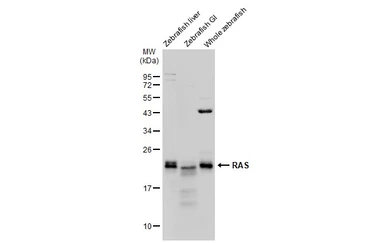
Anti-RAS antibody used in Western Blot (WB). GTX132480
GTX132480 WB Image

Various tissue extracts (30 μg) were separated by 12% SDS-PAGE, and the membrane was blotted with RAS antibody (GTX132480) diluted at 1:500. The HRP-conjugated anti-rabbit IgG antibody (GTX213110-01) was used to detect the primary antibody. (GI: gastrointestinal)

3 / 8
Anti-RAS antibody used in IHC (Paraffin sections) (IHC-P). GTX132480
GTX132480 IHC-P Image

Ras antibody detects Ras protein at cell membrane in rat urinary bladder by immunohistochemical analysis.
Sample: Paraffin-embedded rat urinary bladder.
Ras antibody (GTX132480) diluted at 1:500.

Antigen Retrieval: Citrate buffer, pH 6.0, 15 min

4 / 8
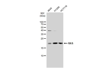
Anti-RAS antibody used in Western Blot (WB). GTX132480
GTX132480 WB Image

Various whole cell extracts (30 μg) were separated by 15% SDS-PAGE, and the membrane was blotted with RAS antibody (GTX132480) diluted at 1:1000. The HRP-conjugated anti-rabbit IgG antibody (GTX213110-01) was used to detect the primary antibody.

5 / 8
Anti-RAS antibody used in Western Blot (WB). GTX132480
GTX132480 WB Image

Non-transfected (–) and transfected (+) 293T whole cell extracts (30 μg) were separated by 15% SDS-PAGE, and the membrane was blotted with RAS antibody (GTX132480) diluted at 1:5000. The HRP-conjugated anti-rabbit IgG antibody (GTX213110-01) was used to detect the primary antibody.

6 / 8
Anti-RAS antibody used in Western Blot (WB). GTX132480
GTX132480 WB Image

Ras antibody [N1N3] detects Ras protein by Western blot analysis. Various whole cell extracts (30 μg) were separated by 15% SDS-PAGE, and the membrane was blotted with Ras antibody [N1N3] (GTX132480) diluted at a dilution of 1:500.

7 / 8
Anti-RAS antibody used in Western Blot (WB). GTX132480
GTX132480 WB Image

Ras antibody [N1N3] detects Ras protein by Western blot analysis. Various whole cell extracts (30 μg) were separated by 15% SDS-PAGE, and the membrane was blotted with Ras antibody [N1N3] (GTX132480) diluted at a dilution of 1:1000.

8 / 8
Anti-RAS antibody used in Western Blot (WB). GTX132480
Anti-RAS antibody used in IHC (Paraffin sections) (IHC-P). GTX132480
Anti-RAS antibody used in Western Blot (WB). GTX132480
Anti-RAS antibody used in IHC (Paraffin sections) (IHC-P). GTX132480
Anti-RAS antibody used in Western Blot (WB). GTX132480
Anti-RAS antibody used in Western Blot (WB). GTX132480
Anti-RAS antibody used in Western Blot (WB). GTX132480
Anti-RAS antibody used in Western Blot (WB). GTX132480
  • 宿主
    Rabbit
  • 克隆
    Polyclonal
  • 同种型
    IgG
  • 实验应用
    WB IHC-P
  • 种属反应
    Human, Mouse, Rat, Zebrafish, Goat, Frog, Squirrel
查看所有 RAS 的产品