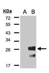
RGS19抗体 [C2C3], C-term
目录号 GTX106302
目录号 GTX106302
-
宿主Rabbit
-
克隆Polyclonal
-
同种型IgG
-
实验应用WB
-
种属反应Human