RPL17抗体 [N1C3-2]

目录号 GTX111934
目录号  GTX111934
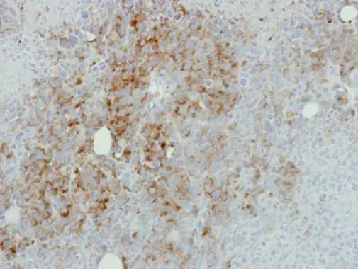
Anti-RPL17 antibody [N1C3-2] used in IHC (Paraffin sections) (IHC-P). GTX111934
GTX111934 IHC-P Image

RPL17 antibody [N1C3-2] detects RPL17 protein at cytoplasm in rat liver by immunohistochemical analysis.
Sample: Paraffin-embedded rat liver.
RPL17 antibody [N1C3-2] (GTX111934) diluted at 1:500.

Antigen Retrieval: Citrate buffer, pH 6.0, 15 min

1 / 6
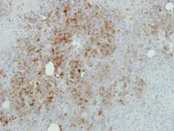
Anti-RPL17 antibody [N1C3-2] used in IHC (Paraffin sections) (IHC-P). GTX111934
GTX111934 IHC-P Image

Immunohistochemical analysis of paraffin-embedded HBL435 xenograft, using RPL17(GTX111934) antibody at 1:500 dilution.
Antigen Retrieval: Citrate buffer, pH 6.0, 15 min

2 / 6
Anti-RPL17 antibody [N1C3-2] used in Western Blot (WB). GTX111934
GTX111934 WB Image

Rat tissue extract (50 μg) was separated by 12% SDS-PAGE, and the membrane was blotted with RPL17 antibody [N1C3-2] (GTX111934) diluted at 1:1000. The HRP-conjugated anti-rabbit IgG antibody (GTX213110-01) was used to detect the primary antibody.

3 / 6
Anti-RPL17 antibody [N1C3-2] used in IHC (Paraffin sections) (IHC-P). GTX111934
GTX111934 IHC-P Image

RPL17 antibody [N1C3-2] detects RPL17 protein at cytoplasm in rat colon by immunohistochemical analysis.
Sample: Paraffin-embedded rat colon.
RPL17 antibody [N1C3-2] (GTX111934) diluted at 1:500.

Antigen Retrieval: Citrate buffer, pH 6.0, 15 min

4 / 6
Anti-RPL17 antibody [N1C3-2] used in Western Blot (WB). GTX111934
GTX111934 WB Image

Sample (30 μg of whole cell lysate)
A: HeLa
B: HepG2 (GTX27900)
12% SDS PAGE
GTX111934 diluted at 1:1000
The HRP-conjugated anti-rabbit IgG antibody (GTX213110-01) was used to detect the primary antibody.

5 / 6
Anti-RPL17 antibody [N1C3-2] used in Immunocytochemistry/ Immunofluorescence (ICC/IF). GTX111934
GTX111934 ICC/IF Image

RPL17 antibody [N1C3-2] detects RPL17 protein at cytoplasm by immunofluorescent analysis.
Sample: HeLa cells were fixed in 4% paraformaldehyde at RT for 15 min.
Green: RPL17 protein stained by RPL17 antibody [N1C3-2] (GTX111934) diluted at 1:500.
Red: alpha Tubulin, a cytoskeleton marker, stained by alpha Tubulin antibody [B-5-1-2] (GTX11304) diluted at 1:10000.
Blue: Hoechst 33342 staining.

6 / 6
Anti-RPL17 antibody [N1C3-2] used in IHC (Paraffin sections) (IHC-P). GTX111934
Anti-RPL17 antibody [N1C3-2] used in IHC (Paraffin sections) (IHC-P). GTX111934
Anti-RPL17 antibody [N1C3-2] used in Western Blot (WB). GTX111934
Anti-RPL17 antibody [N1C3-2] used in IHC (Paraffin sections) (IHC-P). GTX111934
Anti-RPL17 antibody [N1C3-2] used in Western Blot (WB). GTX111934
Anti-RPL17 antibody [N1C3-2] used in Immunocytochemistry/ Immunofluorescence (ICC/IF). GTX111934
  • 宿主
    Rabbit
  • 克隆
    Polyclonal
  • 同种型
    IgG
  • 实验应用
    WB ICC/IF IHC-P
  • 种属反应
    Human, Rat
查看所有 RPL17 的产品