Rad50抗体 [13B3]

目录号 GTX70228
目录号  GTX70228
Anti-Rad50 antibody [13B3] used in Western Blot (WB). GTX70228
GTX70228 WB Image

Non-transfected (–) and transfected (+) HeLa whole cell extracts (30 μg) were separated by 5% SDS-PAGE, and the membrane was blotted with Rad50 antibody [13B3] (GTX70228) diluted at 1:500. The HRP-conjugated anti-mouse IgG antibody (GTX213111-01) was used to detect the primary antibody.

1 / 21
Anti-Rad50 antibody [13B3] used in Western Blot (WB). GTX70228
GTX70228 WB Image

HeLa whole cell and nuclear extracts (30 μg) were separated by 5% SDS-PAGE, and the membrane was blotted with Rad50 antibody [13B3] (GTX70228) diluted at 1:1000. The HRP-conjugated anti-mouse IgG antibody (GTX213111-01) was used to detect the primary antibody.

2 / 21
Anti-Rad50 antibody [13B3] used in Immunoprecipitation (IP). GTX70228
GTX70228 IP Image

Immunoprecipitation of Rad50 protein from NT2D1 whole cell extract using 5 μg of Rad50 antibody [13B3] (GTX70228).
Western blot analysis was performed using Rad50 antibody [13B3] (GTX70228).
EasyBlot HRP-conjugated anti mouse IgG antibody (GTX221667-01).

3 / 21
Anti-Rad50 antibody [13B3] used in Western Blot (WB). GTX70228
GTX70228 WB Image

Various whole cell extracts (30 μg) were separated by 5% SDS-PAGE, and the membrane was blotted with Rad50 antibody [13B3] (GTX70228) diluted at 1:1000. The HRP-conjugated anti-mouse IgG antibody (GTX213111-01) was used to detect the primary antibody.

4 / 21
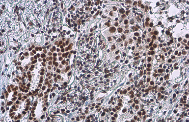
Anti-Rad50 antibody [13B3] used in IHC (Paraffin sections) (IHC-P). GTX70228
GTX70228 IHC-P Image

Rad50 antibody [13B3] detects Rad50 protein at nucleus in PC-3 xenograft by immunohistochemical analysis.
Sample: Paraffin-embedded PC-3 xenograft.
Rad50 antibody [13B3] (GTX70228) diluted at 1:200.

Antigen Retrieval: Citrate buffer, pH 6.0, 15 min

5 / 21
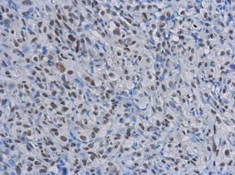
Anti-Rad50 antibody [13B3] used in IHC (Paraffin sections) (IHC-P). GTX70228
GTX70228 IHC-P Image

Rad50 antibody [13B3] detects Rad50 protein at nucleus by immunohistochemical analysis.
Sample: Paraffin-embedded human lung cancer.
Rad50 stained by Rad50 antibody [13B3] (GTX70228) diluted at 1:100.
Antigen Retrieval: Citrate buffer, pH 6.0, 15 min

6 / 21
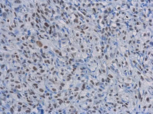
Anti-Rad50 antibody [13B3] used in IHC (Paraffin sections) (IHC-P). GTX70228
GTX70228 IHC-P Image

Rad50 antibody [13B3] detects Rad50 protein at nucleus by immunohistochemical analysis.
Sample: Paraffin-embedded human lung cancer.
Rad50 stained by Rad50 antibody [13B3] (GTX70228) diluted at 1:100.
Antigen Retrieval: Citrate buffer, pH 6.0, 15 min

7 / 21
Anti-Rad50 antibody [13B3] used in Immunocytochemistry/ Immunofluorescence (ICC/IF). GTX70228
GTX70228 ICC/IF Image

Rad50 antibody [13B3] detects Rad50 protein at nucleus by immunofluorescent analysis.
Sample: HeLa cells were fixed in 4% paraformaldehyde at RT for 15 min.
Green: Rad50 protein stained by Rad50 antibody [13B3] (GTX70228) diluted at 1:200.
Red: phalloidin, a cytoskeleton marker, diluted at 1:200.
Scale bar = 10 μm.

8 / 21
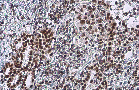
Anti-Rad50 antibody [13B3] used in IHC (Paraffin sections) (IHC-P). GTX70228
GTX70228 IHC-P Image

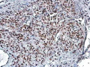
Rad50 antibody [13B3] detects Rad50 protein at nucleus in CAL 27 xenograft by immunohistochemical analysis.
Sample: Paraffin-embedded CAL 27 xenograft.
Rad50 antibody [13B3] (GTX70228) diluted at 1:200.

Antigen Retrieval: Citrate buffer, pH 6.0, 15 min

9 / 21
Anti-Rad50 antibody [13B3] used in Western Blot (WB). GTX70228
GTX70228 WB Image

The data was published in the journal Cell Rep in 2016. PMID: 27568553

10 / 21
Anti-Rad50 antibody [13B3] used in Western Blot (WB). GTX70228
GTX70228 WB Image

The data was published in the journal PLoS Pathog in 2017. PMID: 28430817

11 / 21
Anti-Rad50 antibody [13B3] used in Immunocytochemistry/ Immunofluorescence (ICC/IF). GTX70228
GTX70228 ICC/IF Image

The data was published in the journal Nat Commun in 2015.PMID: 26215093

12 / 21
Anti-Rad50 antibody [13B3] used in Western Blot (WB). GTX70228
GTX70228 WB Image

The data was published in the journal J Biol Chem in 2013. PMID: 23525106

13 / 21
Anti-Rad50 antibody [13B3] used in Western Blot (WB). GTX70228
GTX70228 WB Image

The data was published in the journal Hum Mol Genet in 2015. PMID: 26085575

14 / 21
Anti-Rad50 antibody [13B3] used in Western Blot (WB). GTX70228
GTX70228 WB Image

The data was published in the journal PLoS One in 2012. PMID: 23285190

15 / 21
Anti-Rad50 antibody [13B3] used in Western Blot (WB). GTX70228
GTX70228 WB Image

The data was published in the journal PLoS One in 2012. PMID: 23285190

16 / 21
Anti-Rad50 antibody [13B3] used in Western Blot (WB). GTX70228
GTX70228 WB Image

The data was published in the journal Mol Cancer in 2010. PMID: 20509860

17 / 21
Anti-Rad50 antibody [13B3] used in Western Blot (WB). GTX70228
GTX70228 WB Image

The data was published in the journal EMBO Mol Med in 2013. PMID: 23341130

18 / 21
Anti-Rad50 antibody [13B3] used in Western Blot and Immunoprecipitation (WB IP). GTX70228
GTX70228 WB IP Image

The data was published in the journal PLoS Pathog in 2017. PMID: 28430817

19 / 21
Anti-Rad50 antibody [13B3] used in Western Blot (WB). GTX70228
GTX70228 WB Image

The data was published in the journal BMC Biol in 2015. PMID: 25857663

20 / 21
Anti-Rad50 antibody [13B3] used in Western Blot (WB). GTX70228
GTX70228 WB Image

The data was published in the journal Nat Commun in 2015.PMID: 26215093

21 / 21
Anti-Rad50 antibody [13B3] used in Western Blot (WB). GTX70228
Anti-Rad50 antibody [13B3] used in Western Blot (WB). GTX70228
Anti-Rad50 antibody [13B3] used in Immunoprecipitation (IP). GTX70228
Anti-Rad50 antibody [13B3] used in Western Blot (WB). GTX70228
Anti-Rad50 antibody [13B3] used in IHC (Paraffin sections) (IHC-P). GTX70228
Anti-Rad50 antibody [13B3] used in IHC (Paraffin sections) (IHC-P). GTX70228
Anti-Rad50 antibody [13B3] used in IHC (Paraffin sections) (IHC-P). GTX70228
Anti-Rad50 antibody [13B3] used in Immunocytochemistry/ Immunofluorescence (ICC/IF). GTX70228
Anti-Rad50 antibody [13B3] used in IHC (Paraffin sections) (IHC-P). GTX70228
Anti-Rad50 antibody [13B3] used in Western Blot (WB). GTX70228
Anti-Rad50 antibody [13B3] used in Western Blot (WB). GTX70228
Anti-Rad50 antibody [13B3] used in Immunocytochemistry/ Immunofluorescence (ICC/IF). GTX70228
Anti-Rad50 antibody [13B3] used in Western Blot (WB). GTX70228
Anti-Rad50 antibody [13B3] used in Western Blot (WB). GTX70228
Anti-Rad50 antibody [13B3] used in Western Blot (WB). GTX70228
Anti-Rad50 antibody [13B3] used in Western Blot (WB). GTX70228
Anti-Rad50 antibody [13B3] used in Western Blot (WB). GTX70228
Anti-Rad50 antibody [13B3] used in Western Blot (WB). GTX70228
Anti-Rad50 antibody [13B3] used in Western Blot and Immunoprecipitation (WB IP). GTX70228
Anti-Rad50 antibody [13B3] used in Western Blot (WB). GTX70228
Anti-Rad50 antibody [13B3] used in Western Blot (WB). GTX70228
  • 宿主
    Mouse
  • 克隆
    Monoclonal
  • 克隆编号
    13B3
  • 同种型
    IgG1
  • 实验应用
    WB ICC/IF IHC-P IP ChIP assay IHC in vitro PLA
  • 种属反应
    Human, Mouse, Rat, Monkey
摘要
Rad50 antibody detects RAD50, a ~154 kDa protein that, together with MRE11 and NBS1, forms the MRN complex that is intimately involved in DNA damage signaling, DNA double-strand break (DSB) repair, recombination, and replication. The complex is also involved other facets of genomic homeostasis including telomere maintenance. MRN plays a pivotal role in the DNA damage response (DDR) through interactions with ATM and ATR.
查看所有 Rad50 的产品