S100 beta抗体

目录号 GTX129573
目录号  GTX129573
Anti-S100 beta antibody used in Western Blot (WB). GTX129573
GTX129573 WB Image

Whole cell extract (30 μg) was separated by 15% SDS-PAGE, and the membrane was blotted with S100 beta antibody (GTX129573) diluted at 1:500. The HRP-conjugated anti-rabbit IgG antibody (GTX213110-01) was used to detect the primary antibody.

1 / 11
Anti-S100 beta antibody used in Western Blot (WB). GTX129573
GTX129573 WB Image

Various tissue extracts (50 μg) were separated by 15% SDS-PAGE, and the membrane was blotted with S100 beta antibody (GTX129573) diluted at 1:1000. The HRP-conjugated anti-rabbit IgG antibody (GTX213110-01) was used to detect the primary antibody.

2 / 11
Anti-S100 beta antibody used in IHC (Paraffin sections) (IHC-P). GTX129573
GTX129573 IHC-P Image

S100 beta antibody detects S100 beta protein at cytoplasm by immunohistochemical analysis.
Sample: Paraffin-embedded mouse brain.
S100 beta stained by S100 beta antibody (GTX129573) diluted at 1:500.
Antigen Retrieval: Citrate buffer, pH 6.0, 15 min

3 / 11
Anti-S100 beta antibody used in Western Blot (WB). GTX129573
GTX129573 WB Image

Mouse tissue extract (30 μg) was separated by 15% SDS-PAGE, and the membrane was blotted with S100 beta antibody (GTX129573) diluted at 1:1500. The HRP-conjugated anti-rabbit IgG antibody (GTX213110-01) was used to detect the primary antibody.

4 / 11
Anti-S100 beta antibody used in IHC (Paraffin sections) (IHC-P). GTX129573
GTX129573 IHC-P Image

S100B antibody detects S100B protein at glial cell on mouse hind brain by immunohistochemical analysis.
Sample: Paraffin-embedded mouse hind brain.
S100B antibody (GTX129573) dilution: 1:500.

Antigen Retrieval: Trilogy™ (EDTA based, pH 8.0) buffer, 15min

5 / 11
Anti-S100 beta antibody used in IHC (Frozen sections) (IHC-Fr). GTX129573
GTX129573 IHC-Fr Image

S100 beta antibody detects S100 beta protein expression by immunohistochemical analysis.
Sample: Frozen sectioned adult mouse retina.
Green: S100 beta stained by S100 beta antibody (GTX129573) diluted at 1:250.
Red: beta Tubulin 3/ TUJ1, stained by beta Tubulin 3/ TUJ1 antibody [GT11710] (GTX631836) diluted at 1:250.
Blue: Fluoroshield with DAPI (GTX30920).

6 / 11
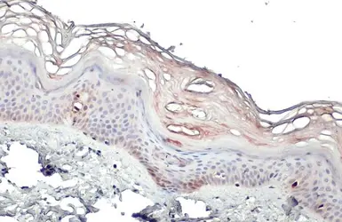
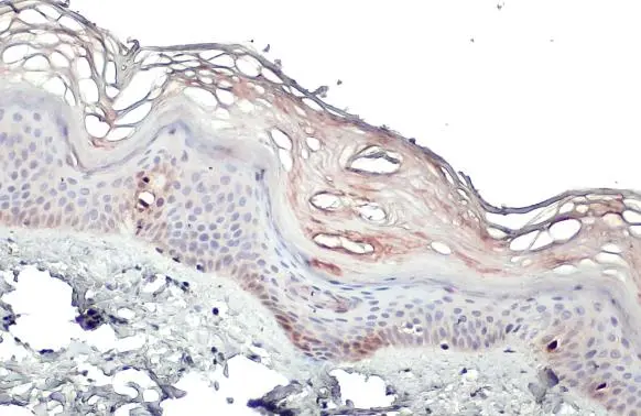
Anti-S100 beta antibody used in IHC (Paraffin sections) (IHC-P). GTX129573
GTX129573 IHC-P Image

S100 beta antibody detects S100 beta protein at cytoplasm by immunohistochemical analysis.
Sample: Paraffin-embedded human skin.
S100 beta stained by S100 beta antibody (GTX129573) diluted at 1:500.
Antigen Retrieval: Citrate buffer, pH 6.0, 15 min

7 / 11
Anti-S100 beta antibody used in Immunocytochemistry/ Immunofluorescence (ICC/IF). GTX129573
GTX129573 ICC/IF Image

S100 beta antibody detects S100 beta protein at glia cells by immunofluorescent analysis.
Sample: DIV10 rat E18 primary cortical neuron and glia cells were fixed in 4% paraformaldehyde at RT for 15 min.
Green: S100 beta stained by S100 beta antibody (GTX129573) diluted at 1:500.
Red: Tau, stained by Tau antibody [GT287] (GTX634809) diluted at 1:500.
Blue: Fluoroshield with DAPI (GTX30920).

8 / 11
Anti-S100 beta antibody used in Western Blot (WB). GTX129573
GTX129573 WB Image

S100B antibody detects S100B protein by western blot analysis.
A. 30 μg 293T whole cell lysate/extract
B. 30 μg whole cell lysate/extract of V5-human S100B-transfected 293T cells
15 % SDS-PAGE
S100B antibody (GTX129573) dilution: 1:1000

9 / 11
Anti-S100 beta antibody used in IHC (Paraffin sections) (IHC-P). GTX129573
GTX129573 IHC-P Image

S100 beta antibody detects S100 beta protein at cytoplasm by immunohistochemical analysis.
Sample: Paraffin-embedded rat brain.
S100 beta stained by S100 beta antibody (GTX129573) diluted at 1:500.
Antigen Retrieval: Citrate buffer, pH 6.0, 15 min

10 / 11
Anti-S100 beta antibody used in Western Blot (WB). GTX129573
GTX129573 WB Image

The data was published in the journal PeerJ in 2018. PMID: 29888131

11 / 11
Anti-S100 beta antibody used in Western Blot (WB). GTX129573
Anti-S100 beta antibody used in Western Blot (WB). GTX129573
Anti-S100 beta antibody used in IHC (Paraffin sections) (IHC-P). GTX129573
Anti-S100 beta antibody used in Western Blot (WB). GTX129573
Anti-S100 beta antibody used in IHC (Paraffin sections) (IHC-P). GTX129573
Anti-S100 beta antibody used in IHC (Frozen sections) (IHC-Fr). GTX129573
Anti-S100 beta antibody used in IHC (Paraffin sections) (IHC-P). GTX129573
Anti-S100 beta antibody used in Immunocytochemistry/ Immunofluorescence (ICC/IF). GTX129573
Anti-S100 beta antibody used in Western Blot (WB). GTX129573
Anti-S100 beta antibody used in IHC (Paraffin sections) (IHC-P). GTX129573
Anti-S100 beta antibody used in Western Blot (WB). GTX129573
  • 宿主
    Rabbit
  • 克隆
    Polyclonal
  • 同种型
    IgG
  • 实验应用
    WB ICC/IF IHC-P IHC-Fr
  • 种属反应
    Polyodon spathula, Human, Mouse, Rat, Squirrel
摘要
S100B, a member of the S100 family of calcium-binding cytosolic proteins with a predicted molecular weight of 11kDa, is an independent prognostic marker for melanoma. Elevated S100B and lactate dehydrogenase (LDH) levels are clinically useful for the detection of tumor progression and metastasis.
查看所有 S100 beta 的产品