SCGN抗体 [N2C3]

目录号 GTX115443
目录号  GTX115443
Anti-SCGN antibody [N2C3] used in IHC (Frozen sections) (IHC-Fr). GTX115443
GTX115443 IHC-Fr Image

SCGN antibody [N2C3] detects SCGN protein expression by immunohistochemical analysis.
Sample: Frozen sectioned adult mouse retina.
Green:SCGN protein stained by SCGN antibody [N2C3] (GTX115443) diluted at 1:250.
Red: beta Tubulin 3/ TUJ1, stained by beta Tubulin 3/ TUJ1 antibody [GT11710] (GTX631836) diluted at 1:250.
Blue: Fluoroshield with DAPI (GTX30920).

1 / 7
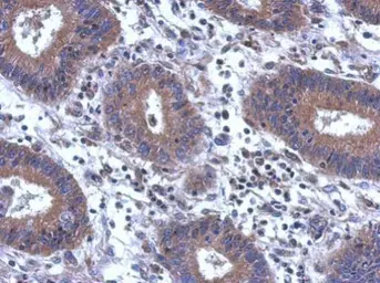
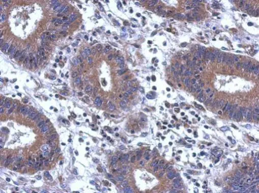
Anti-SCGN antibody [N2C3] used in IHC (Paraffin sections) (IHC-P). GTX115443
GTX115443 IHC-P Image

Immunohistochemical analysis of paraffin-embedded human colon carcinoma, using SCGN(GTX115443) antibody at 1:500 dilution.
Antigen Retrieval: Trilogy™ (EDTA based, pH 8.0) buffer, 15min

2 / 7
Anti-SCGN antibody [N2C3] used in IHC (Frozen sections) (IHC-Fr). GTX115443
GTX115443 IHC-Fr Image

SCGN antibody [N2C3] detects SCGN protein expression by immunohistochemical analysis.
Sample: Frozen sectioned E13.5 Rat brain.
Green: SCGN protein stained by SCGN antibody [N2C3] (GTX115443) diluted at 1:250.
Red: beta Tubulin 3/ TUJ1, a mature neuron marker, stained by beta Tubulin 3/ TUJ1 antibody [GT11710] (GTX631836) diluted at 1:500.
Blue: Fluoroshield with DAPI (GTX30920).

3 / 7
Anti-SCGN antibody [N2C3] used in Western Blot (WB). GTX115443
GTX115443 WB Image

Various tissue extracts (50 μg) were separated by 12% SDS-PAGE, and the membrane was blotted with SCGN antibody [N2C3] (GTX115443) diluted at 1:500.

4 / 7
Anti-SCGN antibody [N2C3] used in Immunocytochemistry/ Immunofluorescence (ICC/IF). GTX115443
GTX115443 ICC/IF Image

SCGN antibody [N2C3] detects SCGN protein by immunofluorescent analysis.
Sample: DIV9 rat E18 primary cortical neuron cells were fixed in 4% paraformaldehyde at RT for 15 min.
Green: SCGN stained by SCGN antibody [N2C3] (GTX115443) diluted at 1:500.
Red: beta Tubulin 3/ Tuj1, stained by beta Tubulin 3/ Tuj1 antibody [GT1338] (GTX631831) diluted at 1:500.
Blue: Fluoroshield with DAPI (GTX30920).

5 / 7
Anti-SCGN antibody [N2C3] used in IHC (Frozen sections) (IHC-Fr). GTX115443
GTX115443 IHC-Fr Image

SCGN antibody [N2C3] detects SCGN Protein expression by immunohistochemical analysis.
Sample: Frozen-sectioned adult mouse cerebellum.
Green: SCGN stained by SCGN antibody [N2C3] (GTX115443) diluted at 1:250.
Red: NF-H, stained by NF-H antibody [GT114] (GTX634289) diluted at 1:500.
Blue: Fluoroshield with DAPI (GTX30920).

Antigen Retrieval: Citrate buffer, pH 6.0, 10 min

6 / 7
Anti-SCGN antibody [N2C3] used in Western Blot (WB). GTX115443
GTX115443 WB Image

Sample (30 ug of whole cell lysate)
A: HeLa
12% SDS PAGE
GTX115443 diluted at 1:1000

7 / 7
Anti-SCGN antibody [N2C3] used in IHC (Frozen sections) (IHC-Fr). GTX115443
Anti-SCGN antibody [N2C3] used in IHC (Paraffin sections) (IHC-P). GTX115443
Anti-SCGN antibody [N2C3] used in IHC (Frozen sections) (IHC-Fr). GTX115443
Anti-SCGN antibody [N2C3] used in Western Blot (WB). GTX115443
Anti-SCGN antibody [N2C3] used in Immunocytochemistry/ Immunofluorescence (ICC/IF). GTX115443
Anti-SCGN antibody [N2C3] used in IHC (Frozen sections) (IHC-Fr). GTX115443
Anti-SCGN antibody [N2C3] used in Western Blot (WB). GTX115443
  • 宿主
    Rabbit
  • 克隆
    Polyclonal
  • 同种型
    IgG
  • 实验应用
    WB ICC/IF IHC-P IHC-Fr
  • 种属反应
    Human, Mouse, Rat
查看所有 SCGN 的产品