SGCE抗体 [N1C1]

目录号 GTX116453
目录号  GTX116453
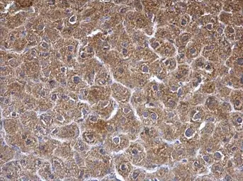
Anti-SGCE antibody [N1C1] used in IHC (Paraffin sections) (IHC-P). GTX116453
GTX116453 IHC-P Image

SGCE antibody [N1C1] detects SGCE protein at cytosol on mouse heart by immunohistochemical analysis.
Sample: Paraffin-embedded mouse heart.
SGCE antibody [N1C1] (GTX116453) dilution: 1:500.

Antigen Retrieval: Trilogy™ (EDTA based, pH 8.0) buffer, 15min

1 / 3
Anti-SGCE antibody [N1C1] used in Western Blot (WB). GTX116453
GTX116453 WB Image

Sample (30 ug of whole cell lysate)
A: Hela
10% SDS PAGE
GTX116453 diluted at 1:1000

2 / 3
Anti-SGCE antibody [N1C1] used in IHC (Paraffin sections) (IHC-P). GTX116453
GTX116453 IHC-P Image

SGCE antibody [N1C1] detects SGCE protein at cytosol on mouse heart by immunohistochemical analysis.
Sample: Paraffin-embedded mouse heart.
SGCE antibody [N1C1] (GTX116453) dilution: 1:500.

Antigen Retrieval: Trilogy™ (EDTA based, pH 8.0) buffer, 15min

3 / 3
Anti-SGCE antibody [N1C1] used in IHC (Paraffin sections) (IHC-P). GTX116453
Anti-SGCE antibody [N1C1] used in Western Blot (WB). GTX116453
Anti-SGCE antibody [N1C1] used in IHC (Paraffin sections) (IHC-P). GTX116453
  • 宿主
    Rabbit
  • 克隆
    Polyclonal
  • 同种型
    IgG
  • 实验应用
    WB IHC-P
  • 种属反应
    Human, Mouse
查看所有 SGCE 的产品