SIN3A抗体

目录号 GTX129156
目录号  GTX129156
Anti-SIN3A antibody used in IHC (Paraffin sections) (IHC-P). GTX129156
GTX129156 IHC-P Image

SIN3A antibody detects SIN3A protein at nucleus on rat fore brain by immunohistochemical analysis.
Sample: Paraffin-embedded rat fore brain.
SIN3A antibody (GTX129156) dilution: 1:500.

Antigen Retrieval: Trilogy™ (EDTA based, pH 8.0) buffer, 15min

1 / 9
Anti-SIN3A antibody used in Immunoprecipitation (IP). GTX129156
GTX129156 IP Image

SIN3A antibody immunoprecipitates SIN3A protein in IP experiments. IP Sample: 293T whole cell lysate/extract A : 30 μg whole cell lysate/extract of SIN3A protein expressing 293T cells B : Control with 3 μg of pre-immune rabbit IgG C : Immunoprecipitation of SIN3A by 3 μg of SIN3A antibody (GTX129156) 5% SDS-PAGE The immunoprecipitated SIN3A protein was detected by SIN3A antibody (GTX129156) diluted at 1 : 1000. EasyBlot anti-rabbit IgG (HRP) (GTX221666-01) was used as a secondary reagent.

2 / 9
Anti-SIN3A antibody used in IHC (Paraffin sections) (IHC-P). GTX129156
GTX129156 IHC-P Image

SIN3A antibody detects SIN3A protein at nucleus on mouse prostate by immunohistochemical analysis.
Sample: Paraffin-embedded mouse prostate.
SIN3A antibody (GTX129156) dilution: 1:500.

Antigen Retrieval: Trilogy™ (EDTA based, pH 8.0) buffer, 15min

3 / 9
Anti-SIN3A antibody used in Western Blot (WB). GTX129156
GTX129156 WB Image

Various tissue extracts (50 μg) were separated by 5% SDS-PAGE, and the membrane was blotted with SIN3A antibody (GTX129156) diluted at 1:1000. The HRP-conjugated anti-rabbit IgG antibody (GTX213110-01) was used to detect the primary antibody.

4 / 9
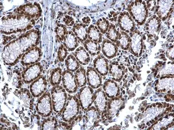
Anti-SIN3A antibody used in IHC (Paraffin sections) (IHC-P). GTX129156
GTX129156 IHC-P Image

SIN3A antibody detects SIN3A protein at nucleus on mouse colon by immunohistochemical analysis.
Sample: Paraffin-embedded mouse colon.
SIN3A antibody (GTX129156) dilution: 1:500.

Antigen Retrieval: Trilogy™ (EDTA based, pH 8.0) buffer, 15min

5 / 9
Anti-SIN3A antibody used in Immunocytochemistry/ Immunofluorescence (ICC/IF). GTX129156
GTX129156 ICC/IF Image

SIN3A antibody detects SIN3A protein at nucleus by immunofluorescent analysis.
Sample: HeLa cells were fixed in 4% paraformaldehyde at RT for 15 min.
Green: SIN3A stained by SIN3A antibody (GTX129156) diluted at 1:1000.
Red: phalloidin, a cytoskeleton marker, diluted at 1:200.
Scale bar= 10 μm.

6 / 9
Anti-SIN3A antibody used in Western Blot (WB). GTX129156
GTX129156 WB Image

HeLa whole cell and nuclear extracts (30 μg) were separated by 5% SDS-PAGE, and the membrane was blotted with SIN3A antibody (GTX129156) diluted at 1:1000. The HRP-conjugated anti-rabbit IgG antibody (GTX213110-01) was used to detect the primary antibody.

7 / 9
Anti-SIN3A antibody used in ChIP assay (ChIP assay). GTX129156
GTX129156 ChIP assay Image

Cross-linked ChIP was performed with MCF-7 chromatin extract treated with B-estradiol (10 nM for 45 min) and 5 μg of either control rabbit IgG or anti-SIN3A antibody. The precipitated DNA was detected by PCR with primer set targeting to GAPDH or MyoD.

8 / 9
Anti-SIN3A antibody used in Western Blot (WB). GTX129156
GTX129156 WB Image

SIN3A antibody detects SIN3A protein by western blot analysis.
A 293T whole cell lysate/extract
B A431 whole cell lysate/extract
C HeLa whole cell lysate/extract
D HepG2 whole cell lysate/extract
5% SDS-PAGE
SIN3A antibody (GTX129156) dilution: 1:1000
The HRP-conjugated anti-rabbit IgG antibody (GTX213110-01) was used to detect the primary antibody.

9 / 9
Anti-SIN3A antibody used in IHC (Paraffin sections) (IHC-P). GTX129156
Anti-SIN3A antibody used in Immunoprecipitation (IP). GTX129156
Anti-SIN3A antibody used in IHC (Paraffin sections) (IHC-P). GTX129156
Anti-SIN3A antibody used in Western Blot (WB). GTX129156
Anti-SIN3A antibody used in IHC (Paraffin sections) (IHC-P). GTX129156
Anti-SIN3A antibody used in Immunocytochemistry/ Immunofluorescence (ICC/IF). GTX129156
Anti-SIN3A antibody used in Western Blot (WB). GTX129156
Anti-SIN3A antibody used in ChIP assay (ChIP assay). GTX129156
Anti-SIN3A antibody used in Western Blot (WB). GTX129156
  • 宿主
    Rabbit
  • 克隆
    Polyclonal
  • 同种型
    IgG
  • 实验应用
    WB ICC/IF IHC-P IP ChIP assay
  • 种属反应
    Human, Mouse, Rat
查看所有 SIN3A 的产品