SOX2抗体 [N1C3]

目录号 GTX101507
目录号  GTX101507
Anti-SOX2 antibody [N1C3] used in IHC (Paraffin sections) (IHC-P). GTX101507
GTX101507 IHC-P Image

SOX2 antibody [N1C3] detects SOX2 protein at nucleus in mouse esophagus by immunohistochemical analysis.
Sample: Paraffin-embedded mouse esophagus.
SOX2 antibody [N1C3] (GTX101507) diluted at 1:500.

Antigen Retrieval: Citrate buffer, pH 6.0, 15 min

1 / 33
Anti-SOX2 antibody [N1C3] used in Western Blot (WB). GTX101507
GTX101507 WB Image

Non-transfected (–) and transfected (+) NT2D1 whole cell extracts (30 μg) were separated by 10% SDS-PAGE, and the membrane was blotted with SOX2 antibody [N1C3] (GTX101507) diluted at 1:15000. The HRP-conjugated anti-rabbit IgG antibody (GTX213110-01) was used to detect the primary antibody.

2 / 33
Anti-SOX2 antibody [N1C3] used in Western Blot (WB). GTX101507
GTX101507 WB Image

Whole cell extract (30 μg) was separated by 12% SDS-PAGE, and the membranes were blotted with SOX2 antibody [N1C3] (GTX101507) diluted at 1:10000 and competitor's antibody (sc-17320) diluted at 1:1000. The HRP-conjugated anti-rabbit IgG antibody (GTX213110-01) was used to detect the primary antibody.

*The competitor is not affiliated with GeneTex and does not endorse this product.

3 / 33
Anti-SOX2 antibody [N1C3] used in Western Blot (WB). GTX101507
GTX101507 WB Image

Whole cell extract (30 μg) was separated by 12% SDS-PAGE, and the membranes were blotted with SOX2 antibody [N1C3] (GTX101507) diluted at 1:1000 and competitor's antibody (sc-17320) diluted at 1:500. The HRP-conjugated anti-rabbit IgG antibody (GTX213110-01) was used to detect the primary antibody.

*The competitor is not affiliated with GeneTex and does not endorse this product.

4 / 33
Anti-SOX2 antibody [N1C3] used in Western Blot (WB). GTX101507
GTX101507 WB Image

Whole cell extract (30 μg) was separated by 12% SDS-PAGE, and the membrane was blotted with SOX2 antibody [N1C3] (GTX101507) diluted at 1:10000. The HRP-conjugated anti-rabbit IgG antibody (GTX213110-01) was used to detect the primary antibody.

5 / 33
Anti-SOX2 antibody [N1C3] used in IHC (Paraffin sections) (IHC-P). GTX101507
GTX101507 IHC-P Image

SOX2 antibody [N1C3] detects SOX2 protein at nucleus on mouse fore brain by immunohistochemical analysis.
Sample: Paraffin-embedded mouse fore brain.
SOX2 antibody [N1C3] (GTX101507) diluted at 1:500.

Antigen Retrieval: Trilogy™ (EDTA based, pH 8.0) buffer, 15min

6 / 33
Anti-SOX2 antibody [N1C3] used in IHC (Paraffin sections) (IHC-P). GTX101507
GTX101507 IHC-P Image

SOX2 antibody [N1C3] detects SOX2 protein at nucleus by immunohistochemical analysis.
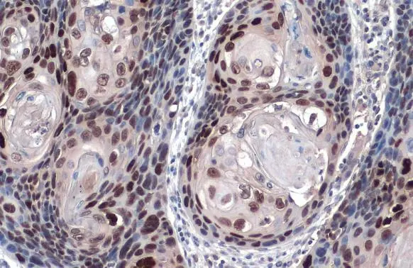
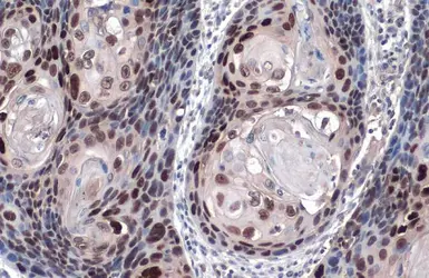
Sample: Paraffin-embedded human esophageal carcinoma.
SOX2 stained by SOX2 antibody [N1C3] (GTX101507) diluted at 1:500.
Antigen Retrieval: Citrate buffer, pH 6.0, 15 min

7 / 33
Anti-SOX2 antibody [N1C3] used in IHC (Paraffin sections) (IHC-P). GTX101507
GTX101507 IHC-P Image

SOX2 antibody [N1C3] detects SOX2 protein at nucleus in mouse fetal brain by immunohistochemical analysis.
Sample: Paraffin-embedded mouse fetal brain.
Green: SOX2 antibody [N1C3] (GTX101507) diluted at 1:200. The signal was developed using goat anti-rabbit IgG antibody (Dylight488) (GTX213110-04).
Blue: Nuclear staining with Hoechst 33342.

Antigen Retrieval: Citrate buffer, pH 6.0, 15 min

8 / 33
Anti-SOX2 antibody [N1C3] used in Immunocytochemistry/ Immunofluorescence (ICC/IF). GTX101507
GTX101507 ICC/IF Image

Immunofluorescence analysis of paraformaldehyde-fixed mouse ESC, using SOX2(GTX101507) antibody at 1:80 dilution.

9 / 33
Anti-SOX2 antibody [N1C3] used in IHC (Frozen sections) (IHC-Fr). GTX101507
GTX101507 IHC-Fr Image

SOX2 antibody [N1C3] detects SOX2 protein at nucleus by immunohistochemical analysis.
Sample: Frozen sectioned adult mouse retina.
Green: SOX2 protein stained by SOX2 antibody [N1C3] (GTX101507) diluted at 1:250.
Red: Protein kinase C alpha staining.
Blue: Fluoroshield with DAPI (GTX30920).

10 / 33
Anti-SOX2 antibody [N1C3] used in Western Blot (WB). GTX101507
GTX101507 WB Image

SOX2 antibody detects SOX2 protein by western blot analysis. Mouse ESC lysate (50 μg) was separated by 10% SDS-PAGE, and the membrane was blotted with SOX2 antibody (GTX101507) at a dilution of 1:2500. The HRP-conjugated anti-rabbit IgG antibody (GTX213110-01) was used to detect the primary antibody.

11 / 33
Anti-SOX2 antibody [N1C3] used in Immunoprecipitation (IP). GTX101507
GTX101507 IP Image

Immunoprecipitation of SOX2 protein from NT2D1 whole cell extracts using 5 μg of SOX2 antibody [N1C3] (GTX101507).
Western blot analysis was performed using SOX2 antibody [N1C3] (GTX101507).
EasyBlot anti-Rabbit IgG (GTX221666-01) was used as a secondary reagent.

12 / 33
Anti-SOX2 antibody [N1C3] used in Immunoprecipitation (IP). GTX101507
GTX101507 IP Image

Immunoprecipitation of SOX2 protein from NT2D1 whole cell extracts using 5 μg of SOX2 antibody [N1C3] (GTX101507) or SOX2 antibody [GT1876] (GTX627404).
Western blot analysis was performed using SOX2 antibody [N1C3] (GTX101507) diluted at 1:500.
EasyBlot anti-Rabbit IgG (GTX221666-01) was used as a secondary reagent.

13 / 33
Anti-SOX2 antibody [N1C3] used in IHC (Paraffin sections) (IHC-P). GTX101507
GTX101507 IHC-P Image

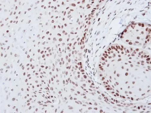
SOX2 antibody [N1C3] detects SOX2 protein at nucleus in human cervical carcinoma by immunohistochemical analysis.
Sample: Paraffin-embedded human cervical carcinoma.
SOX2 antibody [N1C3] (GTX101507) diluted at 1:500.

Antigen Retrieval: Citrate buffer, pH 6.0, 15 min

14 / 33
Anti-SOX2 antibody [N1C3] used in IHC (Paraffin sections) (IHC-P). GTX101507
GTX101507 IHC-P Image

SOX2 antibody [N1C3] detects SOX2 protein at nucleus on rat brain stem by immunohistochemical analysis.
Sample: Paraffin-embedded rat brain stem.
SOX2 antibody [N1C3] (GTX101507) dilution: 1:500.

Antigen Retrieval: Trilogy™ (EDTA based, pH 8.0) buffer, 15min

15 / 33
Anti-SOX2 antibody [N1C3] used in Western Blot (WB). GTX101507
GTX101507 WB Image

SOX2 antibody detects SOX2 protein by Western blot analysis. Whole cell extracts (30 μg) was separated by 12% SDS-PAGE, and the membrane was blotted with SOX2 antibody (GTX101507) at a dilution of 1:2500.

16 / 33
Anti-SOX2 antibody [N1C3] used in IHC (Paraffin sections) (IHC-P). GTX101507
GTX101507 IHC-P Image

Immunohistochemical analysis of paraffin-embedded Cal27 xenograft, using SOX2(GTX101507) antibody at 1:100 dilution.
Antigen Retrieval: Trilogy™ (EDTA based, pH 8.0) buffer, 15min

17 / 33
Anti-SOX2 antibody [N1C3] used in Flow cytometry (FCM). GTX101507
GTX101507 FCM Image

Flow cytometry on human embryonic stem cells, staining with SOX2 (GTX101507)antibody at 1:100 dilution(purple) or rabbit IgG (black).

18 / 33
Anti-SOX2 antibody [N1C3] used in Immunocytochemistry/ Immunofluorescence (ICC/IF). GTX101507
GTX101507 ICC/IF Image

SOX2 antibody [N1C3] detects SOX2 protein at nucleus by immunofluorescent analysis.
Sample: NT2D1 cells were fixed in 4% paraformaldehyde at RT for 15 min.
Green: SOX2 stained by SOX2 antibody [N1C3] (GTX101507) diluted at 1:500.
Red: phalloidin, a cytoskeleton marker, diluted at 1:100.
Scale bar= 10 μm.

19 / 33
Anti-SOX2 antibody [N1C3] used in IHC (Frozen sections) (IHC-Fr). GTX101507
GTX101507 IHC-Fr Image

SOX2 antibody [N1C3] detects SOX2 protein expression by immunohistochemical analysis.
Sample: Frozen-sectioned adult mouse hippocampus.
Green: SOX2 protein stained by SOX2 antibody [N1C3] (GTX101507) diluted at 1:250.
Blue: Fluoroshield with DAPI (GTX30920).

20 / 33
Anti-SOX2 antibody [N1C3] used in IHC (Frozen sections) (IHC-Fr). GTX101507
GTX101507 IHC-Fr Image

SOX2 antibody [N1C3] detects SOX2 protein at nucleus by immunohistochemical analysis.
Sample: Frozen sectioned E13.5 rat brain.
Green: SOX2 protein stained by SOX2 antibody [N1C3] (GTX101507) diluted at 1:250.
Red: beta Tubulin 3/ TUJ1, a mature neuron marker, stained by beta Tubulin 3/ TUJ1 antibody [GT11710] (GTX631836) diluted at 1:250.
Blue: Fluoroshield with DAPI (GTX30920).

21 / 33
Anti-SOX2 antibody [N1C3] used in Immunocytochemistry/ Immunofluorescence (ICC/IF). GTX101507
GTX101507 ICC/IF Image

Immunofluorescence analysis of paraformaldehyde-fixed Human ESC, using SOX2(GTX101507) antibody at 1:160 dilution.

22 / 33
Anti-SOX2 antibody [N1C3] used in Western Blot (WB). GTX101507
GTX101507 WB Image

The data was published in the journal Elife in 2017.PMID: 28537559

23 / 33
Anti-SOX2 antibody [N1C3] used in Immunocytochemistry/ Immunofluorescence (ICC/IF). GTX101507
GTX101507 ICC/IF Image

The data was published in the journal J Cancer in 2020.PMID: 32201526

24 / 33
Anti-SOX2 antibody [N1C3] used in Western Blot (WB). GTX101507
GTX101507 WB Image

The data was published in the journal J Cancer in 2020.PMID: 32201526

25 / 33
Anti-SOX2 antibody [N1C3] used in Immunocytochemistry/ Immunofluorescence (ICC/IF). GTX101507
GTX101507 ICC/IF Image

The data was published in the journal Nat Commun in 2018. PMID: 29973581

26 / 33
Anti-SOX2 antibody [N1C3] used in Western Blot (WB). GTX101507
GTX101507 WB Image

The data was published in the journal Stem Cell Res Ther in 2013. PMID: 24423398

27 / 33
Anti-SOX2 antibody [N1C3] used in Immunocytochemistry/ Immunofluorescence (ICC/IF). GTX101507
GTX101507 ICC/IF Image

The data was published in the journal PLoS One in 2016. PMID: 27802323

28 / 33
Anti-SOX2 antibody [N1C3] used in IHC (Frozen sections) (IHC-Fr). GTX101507
GTX101507 IHC-Fr Image

The data was published in the journal Dis Model Mech in 2018.PMID: 29208635

29 / 33
Anti-SOX2 antibody [N1C3] used in Western Blot (WB). GTX101507
GTX101507 WB Image

The data was published in the journal Elife in 2017.PMID: 28537559

30 / 33
Anti-SOX2 antibody [N1C3] used in IHC (Paraffin sections) (IHC-P). GTX101507
GTX101507 IHC-P Image

The data was published in the journal Neural Plast in 2016.PMID: 28018679

31 / 33
Anti-SOX2 antibody [N1C3] used in IHC (Paraffin sections) (IHC-P). GTX101507
GTX101507 IHC-P Image

The data was published in the journal Neural Plast in 2016.PMID: 28018679

32 / 33
Anti-SOX2 antibody [N1C3] used in Western Blot (WB). GTX101507
GTX101507 WB Image

The data was published in the journal Sci Rep in 2016.PMID: 27226076

33 / 33
Anti-SOX2 antibody [N1C3] used in IHC (Paraffin sections) (IHC-P). GTX101507
Anti-SOX2 antibody [N1C3] used in Western Blot (WB). GTX101507
Anti-SOX2 antibody [N1C3] used in Western Blot (WB). GTX101507
Anti-SOX2 antibody [N1C3] used in Western Blot (WB). GTX101507
Anti-SOX2 antibody [N1C3] used in Western Blot (WB). GTX101507
Anti-SOX2 antibody [N1C3] used in IHC (Paraffin sections) (IHC-P). GTX101507
Anti-SOX2 antibody [N1C3] used in IHC (Paraffin sections) (IHC-P). GTX101507
Anti-SOX2 antibody [N1C3] used in IHC (Paraffin sections) (IHC-P). GTX101507
Anti-SOX2 antibody [N1C3] used in Immunocytochemistry/ Immunofluorescence (ICC/IF). GTX101507
Anti-SOX2 antibody [N1C3] used in IHC (Frozen sections) (IHC-Fr). GTX101507
Anti-SOX2 antibody [N1C3] used in Western Blot (WB). GTX101507
Anti-SOX2 antibody [N1C3] used in Immunoprecipitation (IP). GTX101507
Anti-SOX2 antibody [N1C3] used in Immunoprecipitation (IP). GTX101507
Anti-SOX2 antibody [N1C3] used in IHC (Paraffin sections) (IHC-P). GTX101507
Anti-SOX2 antibody [N1C3] used in IHC (Paraffin sections) (IHC-P). GTX101507
Anti-SOX2 antibody [N1C3] used in Western Blot (WB). GTX101507
Anti-SOX2 antibody [N1C3] used in IHC (Paraffin sections) (IHC-P). GTX101507
Anti-SOX2 antibody [N1C3] used in Flow cytometry (FCM). GTX101507
Anti-SOX2 antibody [N1C3] used in Immunocytochemistry/ Immunofluorescence (ICC/IF). GTX101507
Anti-SOX2 antibody [N1C3] used in IHC (Frozen sections) (IHC-Fr). GTX101507
Anti-SOX2 antibody [N1C3] used in IHC (Frozen sections) (IHC-Fr). GTX101507
Anti-SOX2 antibody [N1C3] used in Immunocytochemistry/ Immunofluorescence (ICC/IF). GTX101507
Anti-SOX2 antibody [N1C3] used in Western Blot (WB). GTX101507
Anti-SOX2 antibody [N1C3] used in Immunocytochemistry/ Immunofluorescence (ICC/IF). GTX101507
Anti-SOX2 antibody [N1C3] used in Western Blot (WB). GTX101507
Anti-SOX2 antibody [N1C3] used in Immunocytochemistry/ Immunofluorescence (ICC/IF). GTX101507
Anti-SOX2 antibody [N1C3] used in Western Blot (WB). GTX101507
Anti-SOX2 antibody [N1C3] used in Immunocytochemistry/ Immunofluorescence (ICC/IF). GTX101507
Anti-SOX2 antibody [N1C3] used in IHC (Frozen sections) (IHC-Fr). GTX101507
Anti-SOX2 antibody [N1C3] used in Western Blot (WB). GTX101507
Anti-SOX2 antibody [N1C3] used in IHC (Paraffin sections) (IHC-P). GTX101507
Anti-SOX2 antibody [N1C3] used in IHC (Paraffin sections) (IHC-P). GTX101507
Anti-SOX2 antibody [N1C3] used in Western Blot (WB). GTX101507
  • 宿主
    Rabbit
  • 克隆
    Polyclonal
  • 同种型
    IgG
  • 实验应用
    WB ICC/IF IHC-P IHC-Fr FCM IP
  • 种属反应
    Human, Mouse, Rat, Frog, Ceratotherium simum
摘要
SOX2 antibody detects SOX2 protein, a basic helix-loop-helix transcription factor (predicted molecular weight of 34 kDa). SOX2 is an indispensable factor for regulating embryonic development and in the generation of inducible pluripotent stem (iPS) cells. It is also expressed in neural stem and progenitor cells. Dysregulation of SOX2 is associated with tumorigenesis.
查看所有 SOX2 的产品