Syndecan-1 / CD138抗体 [1A3H4]

目录号 GTX00451
目录号  GTX00451
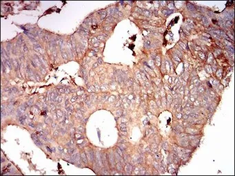
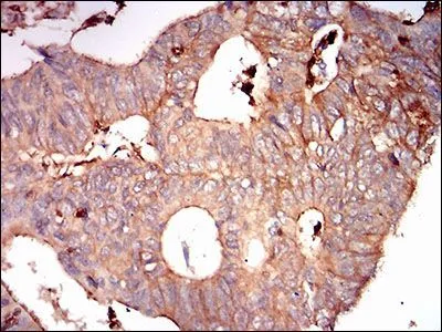
Anti-Syndecan-1 / CD138 antibody [1A3H4] used in IHC (Paraffin sections) (IHC-P). GTX00451
GTX00451 IHC-P Image

IHC-P analysis of rectum cancer tissues using GTX00451 Syndecan-1 / CD138 antibody [1A3H4].

1 / 7
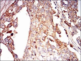
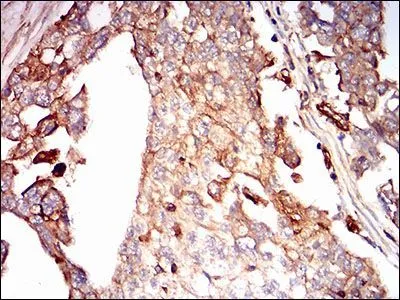
Anti-Syndecan-1 / CD138 antibody [1A3H4] used in IHC (Paraffin sections) (IHC-P). GTX00451
GTX00451 IHC-P Image

IHC-P analysis of ovarian cancer tissues using GTX00451 Syndecan-1 / CD138 antibody [1A3H4].

2 / 7
Anti-Syndecan-1 / CD138 antibody [1A3H4] used in Flow cytometry (FCM). GTX00451
GTX00451 FCM Image

FACS analysis of HepG2 cells using GTX00451 Syndecan-1 / CD138 antibody [1A3H4].
Green : Primary antibody
Red : Negative control (without primary antibody)

3 / 7
Anti-Syndecan-1 / CD138 antibody [1A3H4] used in Western Blot (WB). GTX00451
GTX00451 WB Image

WB analysis of various samples using GTX00451 Syndecan-1 / CD138 antibody [1A3H4].
Lane 1 : HEK293 cell lysate
Land 2 : SDC1 (AA: 28-171)-hIgGFc transfected HEK293 cell lysate

4 / 7
Anti-Syndecan-1 / CD138 antibody [1A3H4] used in Immunocytochemistry/ Immunofluorescence (ICC/IF). GTX00451
GTX00451 ICC/IF Image

ICC/IF analysis of HepG2 cells using GTX00451 Syndecan-1 / CD138 antibody [1A3H4].
Green : Primary antibody
Blue: DRAQ5 fluorescent DNA dye

5 / 7
Anti-Syndecan-1 / CD138 antibody [1A3H4] used in Western Blot (WB). GTX00451
GTX00451 WB Image

WB analysis of various samples using GTX00451 Syndecan-1 / CD138 antibody [1A3H4].
Lane 1 : MCF-7 cell lysate
Lane 2 : HeLa cell lysate
Lane 3 : HepG2 cell lysate
Lane 4 : T47D cell lysate
Lane 5 : SW620 cell lysate
Lane 6 : Jurkat cell lysate
Lane 7 : NIH/3T3 cell lysate

6 / 7
Anti-Syndecan-1 / CD138 antibody [1A3H4] used in ELISA (ELISA). GTX00451
GTX00451 ELISA Image

ELISA analysis of antigen using GTX00451 Syndecan-1 / CD138 antibody [1A3H4].
Black : Control antigen 100ng
Purple : Antigen 10ng
Blue : Antigen 50ng
Red : Antigen 100ng

7 / 7
Anti-Syndecan-1 / CD138 antibody [1A3H4] used in IHC (Paraffin sections) (IHC-P). GTX00451
Anti-Syndecan-1 / CD138 antibody [1A3H4] used in IHC (Paraffin sections) (IHC-P). GTX00451
Anti-Syndecan-1 / CD138 antibody [1A3H4] used in Flow cytometry (FCM). GTX00451
Anti-Syndecan-1 / CD138 antibody [1A3H4] used in Western Blot (WB). GTX00451
Anti-Syndecan-1 / CD138 antibody [1A3H4] used in Immunocytochemistry/ Immunofluorescence (ICC/IF). GTX00451
Anti-Syndecan-1 / CD138 antibody [1A3H4] used in Western Blot (WB). GTX00451
Anti-Syndecan-1 / CD138 antibody [1A3H4] used in ELISA (ELISA). GTX00451
  • 宿主
    Mouse
  • 克隆
    Monoclonal
  • 克隆编号
    1A3H4
  • 同种型
    IgG1
  • 实验应用
    WB ICC/IF IHC-P FCM ELISA
  • 种属反应
    Human, Mouse
查看所有 Syndecan-1 / CD138 的产品