TET1抗体 [GT1462]

目录号 GTX627420
目录号  GTX627420
Anti-TET1 antibody [GT1462] used in Western Blot (WB). GTX627420
GTX627420 WB Image

TET1 antibody [GT1462] detects TET1 protein by western blot analysis.
A. 50 μg whole cell lysate/extract from 293T cells transfected with scramble siRNA
B. 50 μg whole cell lysate/extract from TET1-knockdowned 293T cells
6% SDS-PAGE
TET1 antibody [GT1462] (GTX627420) dilution: 1:500
The HRP-conjugated anti-mouse IgG antibody (GTX213111-01) was used to detect the primary antibody.

1 / 7
Anti-TET1 antibody [GT1462] used in Western Blot (WB). GTX627420
GTX627420 WB Image

TET1 antibody detects TET1 protein by Western blot analysis.
A. 30 μg 293T whole cell lysate/extract
B. 30 μg whole cell lysate/extract of DDDDK-human TET1-transfected 293T cells
5 % SDS-PAGE
TET1 antibody (GTX627420) dilution: 1:500

2 / 7
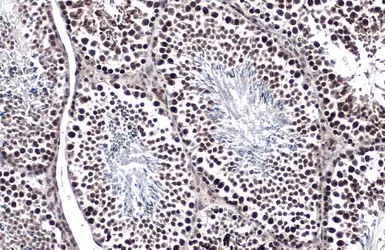
Anti-TET1 antibody [GT1462] used in IHC (Paraffin sections) (IHC-P). GTX627420
GTX627420 IHC-P Image

TET1 antibody [GT1462] detects TET1 protein at nucleus by immunohistochemical analysis.
Sample: Paraffin-embedded mouse testis.
TET1 stained by TET1 antibody [GT1462] (GTX627420) diluted at 1:500.
Antigen Retrieval: Citrate buffer, pH 6.0, 15 min

3 / 7
Anti-TET1 antibody [GT1462] used in Western Blot (WB). GTX627420
GTX627420 WB Image

NT2D1 whole cell and nuclear extracts (30 μg) were separated by 5% SDS-PAGE, and the membrane was blotted with TET1 antibody [GT1462] (GTX627420) diluted at 1:500.

4 / 7
Anti-TET1 antibody [GT1462] used in Immunocytochemistry/ Immunofluorescence (ICC/IF). GTX627420
GTX627420 ICC/IF Image

TET1 antibody [GT1462] detects TET1 protein at nucleus by immunofluorescent analysis. Sample: TET1-transfected (right) or untransfected (left) 293T cells were fixed in 4% paraformaldehyde for 15 min. Green: TET1 protein stained by TET1 antibody (GTX627420) diluted at 1:1000. Blue: Hoechst 33342 staining. Scale bar = 10 μm.

5 / 7
Anti-TET1 antibody [GT1462] used in IHC (Paraffin sections) (IHC-P). GTX627420
GTX627420 IHC-P Image

TET1 antibody [GT1462] detects TET1 protein at nucleus on HeLa xenograft by immunohistochemical analysis.
Sample: Paraffin-embedded HeLa xenograft.
TET1 antibody [GT1462] (GTX627420) dilution: 1:100.

Antigen Retrieval: Trilogy™ (EDTA based, pH 8.0) buffer, 15min

6 / 7
Anti-TET1 antibody [GT1462] used in Western Blot (WB). GTX627420
GTX627420 WB Image

The data was published in the journal Sci Rep in 2019.PMID: 31235851

7 / 7
Anti-TET1 antibody [GT1462] used in Western Blot (WB). GTX627420
Anti-TET1 antibody [GT1462] used in Western Blot (WB). GTX627420
Anti-TET1 antibody [GT1462] used in IHC (Paraffin sections) (IHC-P). GTX627420
Anti-TET1 antibody [GT1462] used in Western Blot (WB). GTX627420
Anti-TET1 antibody [GT1462] used in Immunocytochemistry/ Immunofluorescence (ICC/IF). GTX627420
Anti-TET1 antibody [GT1462] used in IHC (Paraffin sections) (IHC-P). GTX627420
Anti-TET1 antibody [GT1462] used in Western Blot (WB). GTX627420
  • 宿主
    Mouse
  • 克隆
    Monoclonal
  • 克隆编号
    GT1462
  • 同种型
    IgG2b
  • 实验应用
    WB ICC/IF IHC-P
  • 种属反应
    Human, Mouse
查看所有 TET1 的产品