TET1抗体 [N3C1]

目录号 GTX124207
目录号  GTX124207
Anti-TET1 antibody [N3C1] used in Western Blot (WB). GTX124207
GTX124207 WB Image

Non-transfected (–) and transfected (+) 293T whole cell extracts (50 μg) were separated by 5% SDS-PAGE, and the membrane was blotted with TET1 antibody [N3C1] (GTX124207) diluted at 1:1000. The HRP-conjugated anti-rabbit IgG antibody (GTX213110-01) was used to detect the primary antibody.

1 / 20
Anti-TET1 antibody [N3C1] used in Western Blot (WB). GTX124207
GTX124207 WB Image

Non-transfected (–) and transfected (+) 293T whole cell extracts (30 μg) were separated by 5% SDS-PAGE, and the membrane was blotted with TET1 antibody [N3C1] (GTX124207) diluted at 1:5000. The HRP-conjugated anti-rabbit IgG antibody (GTX213110-01) was used to detect the primary antibody.

2 / 20
Anti-TET1 antibody [N3C1] used in Western Blot (WB). GTX124207
GTX124207 WB Image

HeLa whole cell and nuclear extracts (30 μg) were separated by 5% SDS-PAGE, and the membrane was blotted with TET1 antibody [N3C1] (GTX124207) diluted at 1:1000. The HRP-conjugated anti-rabbit IgG antibody (GTX213110-01) was used to detect the primary antibody.

3 / 20
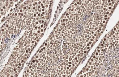
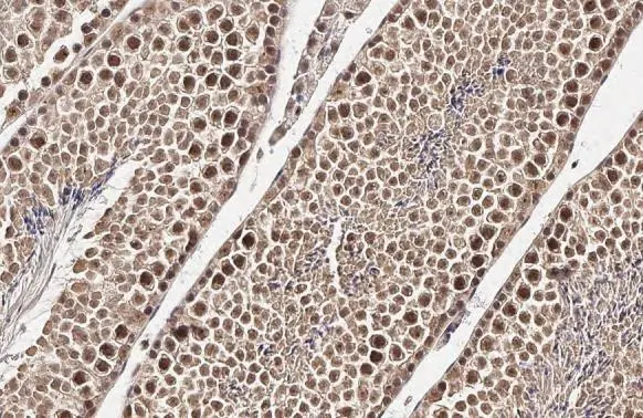
Anti-TET1 antibody [N3C1] used in IHC (Paraffin sections) (IHC-P). GTX124207
GTX124207 IHC-P Image

TET1 antibody [N3C1] detects TET1 protein at nucleus by immunohistochemical analysis.
Sample: Paraffin-embedded mouse testis.
TET1 stained by TET1 antibody [N3C1] (GTX124207) diluted at 1:500.
Antigen Retrieval: Citrate buffer, pH 6.0, 15 min

4 / 20
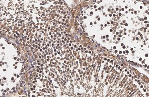
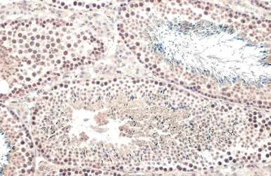
Anti-TET1 antibody [N3C1] used in IHC (Paraffin sections) (IHC-P). GTX124207
GTX124207 IHC-P Image

TET1 antibody [N3C1] detects TET1 protein at nucleus by immunohistochemical analysis.
Sample: Paraffin-embedded rat testis.
TET1 stained by TET1 antibody [N3C1] (GTX124207) diluted at 1:500.
Antigen Retrieval: Citrate buffer, pH 6.0, 15 min

5 / 20
Anti-TET1 antibody [N3C1] used in IHC (Paraffin sections) (IHC-P). GTX124207
GTX124207 IHC-P Image

TET1 antibody [N3C1] detects TET1 protein at nucleus by immunohistochemical analysis.
Sample: Paraffin-embedded mouse testis.
TET1 stained by TET1 antibody [N3C1] (GTX124207) diluted at 1:500.
Antigen Retrieval: Citrate buffer, pH 6.0, 15 min

6 / 20
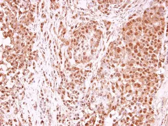
Anti-TET1 antibody [N3C1] used in IHC (Paraffin sections) (IHC-P). GTX124207
GTX124207 IHC-P Image

TET1 antibody [N3C1] detects TET1 protein at nucleus in human A549 xenograft by immunohistochemical analysis.
Sample: Paraffin-embedded human A549 xenograft .
TET1 antibody [N3C1] (GTX124207) diluted at 1:250.

Antigen Retrieval: Trilogy™ (EDTA based, pH 8.0) buffer, 15min

7 / 20
Anti-TET1 antibody [N3C1] used in IHC (Paraffin sections) (IHC-P). GTX124207
GTX124207 IHC-P Image

TET1 antibody [N3C1] detects TET1 protein at nucleus on Human normal prostate tissue by immunohistochemical analysis.
Sample: Paraffin-embedded Human normal prostate tissue.
TET1 antibody [N3C1] (GTX124207) dilution: 1:1000.

Antigen Retrieval: Trilogy™ (EDTA based, pH 8.0) buffer, 15min

8 / 20
Anti-TET1 antibody [N3C1] used in Immunocytochemistry/ Immunofluorescence (ICC/IF). GTX124207
GTX124207 ICC/IF Image

TET1 antibody [N3C1] detects TET1 protein at cytoplasm and nucleus by immunofluorescent analysis.
Sample: HeLa cells were fixed in 4% paraformaldehyde at RT for 15 min.
Green: TET1 stained by TET1 antibody [N3C1] (GTX124207) diluted at 1:500.
Red: alpha Tubulin, a cytoskeleton marker, stained by alpha Tubulin antibody [GT114] (GTX628802) diluted at 1:1000.
Blue: Fluoroshield with DAPI (GTX30920).

9 / 20
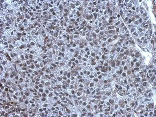
Anti-TET1 antibody [N3C1] used in IHC (Paraffin sections) (IHC-P). GTX124207
GTX124207 IHC-P Image

Immunohistochemical analysis of paraffin-embedded Hela xenograft, using TET1 (GTX124207) antibody at 1:1000 dilution.
Antigen Retrieval: Trilogy™ (EDTA based, pH 8.0) buffer, 15min

10 / 20
Anti-TET1 antibody [N3C1] used in Immunocytochemistry/ Immunofluorescence (ICC/IF). GTX124207
GTX124207 ICC/IF Image

TET1 antibody [N3C1] detects TET1 protein at nucleus by immunofluorescent analysis.
Sample: Mock and transfected 293T cells were fixed in 4% paraformaldehyde at RT for 15 min.
Green: TET1 stained by TET1 antibody [N3C1] (GTX124207) diluted at 1:1000.
Blue: Hoechst 33342 staining.

11 / 20
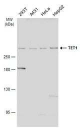
Anti-TET1 antibody [N3C1] used in Western Blot (WB). GTX124207
GTX124207 WB Image

Various whole cell extracts (30 μg) were separated by 5% SDS-PAGE, and the membrane was blotted with TET1 antibody [N3C1] (GTX124207) diluted at 1:2000. The HRP-conjugated anti-rabbit IgG antibody (GTX213110-01) was used to detect the primary antibody.

12 / 20
Anti-TET1 antibody [N3C1] used in ChIP assay (ChIP assay). GTX124207
GTX124207 ChIP assay Image

The data was published in the journal Sci Rep in 2016. PMID: 27708396

13 / 20
Anti-TET1 antibody [N3C1] used in Immunohistochemistry (IHC). GTX124207
GTX124207 IHC Image

The data was published in the journal Clin Epigenetics in 2018. PMID: 30075814

14 / 20
Anti-TET1 antibody [N3C1] used in Western Blot (WB). GTX124207
GTX124207 WB Image

The data was published in the journal Int J Endocrinol in 2020.PMID: 32089682

15 / 20
Anti-TET1 antibody [N3C1] used in Western Blot (WB). GTX124207
GTX124207 WB Image

The data was published in the journal BMC Cancer in 2018.PMID: 30045709

16 / 20
Anti-TET1 antibody [N3C1] used in Western Blot (WB). GTX124207
GTX124207 WB Image

The data was published in the journal Clin Epigenetics in 2016.PMID: 26973719

17 / 20
Anti-TET1 antibody [N3C1] used in IHC (Paraffin sections) (IHC-P). GTX124207
GTX124207 IHC-P Image

The data was published in the journal Clin Epigenetics in 2018. PMID: 30075814

18 / 20
Anti-TET1 antibody [N3C1] used in Western Blot (WB). GTX124207
GTX124207 WB Image

The data was published in the journal Int J Endocrinol in 2020.PMID: 32089682

19 / 20
Anti-TET1 antibody [N3C1] used in Western Blot (WB). GTX124207
GTX124207 WB Image

The data was published in the journal Clin Epigenetics in 2016.PMID: 26973719

20 / 20
Anti-TET1 antibody [N3C1] used in Western Blot (WB). GTX124207
Anti-TET1 antibody [N3C1] used in Western Blot (WB). GTX124207
Anti-TET1 antibody [N3C1] used in Western Blot (WB). GTX124207
Anti-TET1 antibody [N3C1] used in IHC (Paraffin sections) (IHC-P). GTX124207
Anti-TET1 antibody [N3C1] used in IHC (Paraffin sections) (IHC-P). GTX124207
Anti-TET1 antibody [N3C1] used in IHC (Paraffin sections) (IHC-P). GTX124207
Anti-TET1 antibody [N3C1] used in IHC (Paraffin sections) (IHC-P). GTX124207
Anti-TET1 antibody [N3C1] used in IHC (Paraffin sections) (IHC-P). GTX124207
Anti-TET1 antibody [N3C1] used in Immunocytochemistry/ Immunofluorescence (ICC/IF). GTX124207
Anti-TET1 antibody [N3C1] used in IHC (Paraffin sections) (IHC-P). GTX124207
Anti-TET1 antibody [N3C1] used in Immunocytochemistry/ Immunofluorescence (ICC/IF). GTX124207
Anti-TET1 antibody [N3C1] used in Western Blot (WB). GTX124207
Anti-TET1 antibody [N3C1] used in ChIP assay (ChIP assay). GTX124207
Anti-TET1 antibody [N3C1] used in Immunohistochemistry (IHC). GTX124207
Anti-TET1 antibody [N3C1] used in Western Blot (WB). GTX124207
Anti-TET1 antibody [N3C1] used in Western Blot (WB). GTX124207
Anti-TET1 antibody [N3C1] used in Western Blot (WB). GTX124207
Anti-TET1 antibody [N3C1] used in IHC (Paraffin sections) (IHC-P). GTX124207
Anti-TET1 antibody [N3C1] used in Western Blot (WB). GTX124207
Anti-TET1 antibody [N3C1] used in Western Blot (WB). GTX124207
  • 宿主
    Rabbit
  • 克隆
    Polyclonal
  • 同种型
    IgG
  • 实验应用
    WB ICC/IF IHC-P IHC-Wm IP ChIP assay IHC
  • 种属反应
    Human, Mouse, Rat, Monkey
摘要
TET1 antibody recognizes TET1 protein, which is a methylcytosine dioxygenase that catalyzes the sequential steps of DNA demethylation. Expression of TET1 protein is spatiotemporally regulated during embryonic development. Abnormal TET1 activation is associated with cancer growth and metastasis.
查看所有 TET1 的产品