TET2抗体 [N2-2], N-term

目录号 GTX124205
目录号  GTX124205
Anti-TET2 antibody [N2-2], N-term used in Western Blot (WB). GTX124205
GTX124205 WB Image

Wild-type (WT) and TET2 knockout (KO) HeLa cell extracts (30 μg) were separated by 5% SDS-PAGE, and the membrane was blotted with TET2 antibody [N2-2], N-term (GTX124205) diluted at 1:500. The HRP-conjugated anti-rabbit IgG antibody (GTX213110-01) was used to detect the primary antibody.

1 / 11
Anti-TET2 antibody [N2-2], N-term used in Western Blot (WB). GTX124205
GTX124205 WB Image

Various whole cell extracts (30 μg) were separated by 5% SDS-PAGE, and the membrane was blotted with TET2 antibody [N2-2], N-term (GTX124205) diluted at 1:500. The HRP-conjugated anti-rabbit IgG antibody (GTX213110-01) was used to detect the primary antibody.

2 / 11
Anti-TET2 antibody [N2-2], N-term used in Immunocytochemistry/ Immunofluorescence (ICC/IF). GTX124205
GTX124205 ICC/IF Image

TET2 antibody [N2-2], N-term detects TET2 protein at nucleus by immunofluorescent analysis.
Sample: HeLa cells were fixed in 4% paraformaldehyde at RT for 15 min.
Green: TET2 stained by TET2 antibody [N2-2], N-term (GTX124205) diluted at 1:500.
Red: alpha Tubulin, a cytoskeleton marker, stained by alpha Tubulin antibody [GT114] (GTX628802) diluted at 1:1000.

3 / 11
Anti-TET2 antibody [N2-2], N-term used in Western Blot (WB). GTX124205
GTX124205 WB Image

HeLa whole cell and nuclear extracts (30 μg) were separated by 5% SDS-PAGE, and the membrane was blotted with TET2 antibody [N2-2], N-term (GTX124205) diluted at 1:500. The HRP-conjugated anti-rabbit IgG antibody (GTX213110-01) was used to detect the primary antibody.

4 / 11
Anti-TET2 antibody [N2-2], N-term used in IHC (Paraffin sections) (IHC-P). GTX124205
GTX124205 IHC-P Image

TET2 antibody [N2-2], N-term detects TET2 protein at nucleus by immunohistochemical analysis.
Sample: Paraffin-embedded mouse liver.
TET2 stained by TET2 antibody [N2-2], N-term (GTX124205) diluted at 1:500.
Antigen Retrieval: Citrate buffer, pH 6.0, 15 min

5 / 11
Anti-TET2 antibody [N2-2], N-term used in Western Blot (WB). GTX124205
GTX124205 WB Image

TET2 antibody detects TET2 protein by western blot analysis.
A. 30 μg 293T whole cell lysate/extract
B. 30 μg whole cell lysate/extract of DDDDK-human TET2-transfected 293T cells
5% SDS-PAGE
TET2 antibody (GTX124205) dilution: 1:5000
The HRP-conjugated anti-rabbit IgG antibody (GTX213110-01) was used to detect the primary antibody.

6 / 11
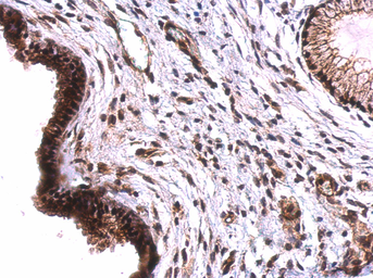
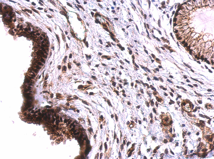
Anti-TET2 antibody [N2-2], N-term used in IHC (Paraffin sections) (IHC-P). GTX124205
GTX124205 IHC-P Image

TET2 antibody [N2-2], N-term detects TET2 protein on human cervical carcinoma by immunohistochemical analysis.
Sample: Paraffin-embedded cervical carcinoma.
TET2 antibody [N2-2], N-term (GTX124205) dilution: 1:500.

Antigen Retrieval: Trilogy™ (EDTA based, pH 8.0) buffer, 15min

7 / 11
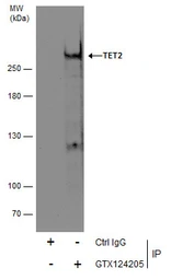
Anti-TET2 antibody [N2-2], N-term used in Immunoprecipitation (IP). GTX124205
GTX124205 IP Image

Immunoprecipitation of TET2 protein from 293T whole cell extracts using 5 μg of TET2 antibody [N2-2], N-term (GTX124205).
Western blot analysis was performed using TET2 antibody [N2-2], N-term (GTX124205) diluted at 1:500.
EasyBlot HRP-conjugated anti rabbit IgG antibody (GTX221666-01) was used to detect the primary antibody.

8 / 11
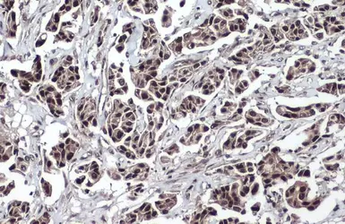
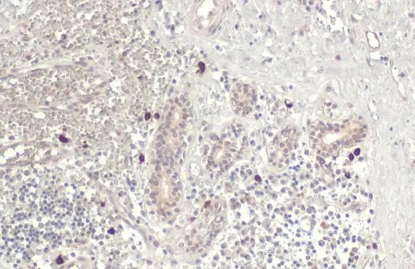
Anti-TET2 antibody [N2-2], N-term used in IHC (Paraffin sections) (IHC-P). GTX124205
GTX124205 IHC-P Image

TET2 antibody [N2-2], N-term detects TET2 protein at nucleus by immunohistochemical analysis.
Sample: Paraffin-embedded human breast carcinoma.
TET2 stained by TET2 antibody [N2-2], N-term (GTX124205) diluted at 1:500.
Antigen Retrieval: Citrate buffer, pH 6.0, 15 min

9 / 11
Anti-TET2 antibody [N2-2], N-term used in ChIP assay (ChIP assay). GTX124205
GTX124205 ChIP assay Image

Cross-linked ChIP was performed with U2OS chromatin extract and 5 μg of either control rabbit IgG or anti-TET2 antibody. The precipitated DNA was detected by PCR with primer set targeting to CCND2.

10 / 11
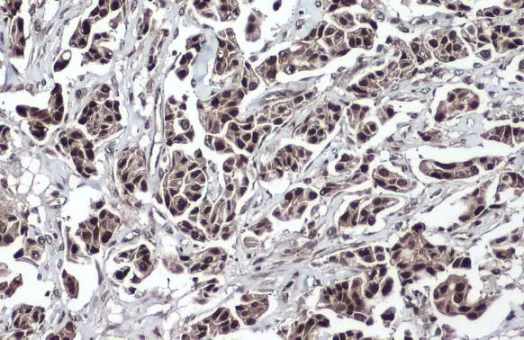
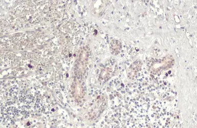
Anti-TET2 antibody [N2-2], N-term used in IHC (Paraffin sections) (IHC-P). GTX124205
GTX124205 IHC-P Image

TET2 antibody [N2-2], N-term detects TET2 protein at nucleus by immunohistochemical analysis.
Sample: Paraffin-embedded human breast carcinoma.
TET2 stained by TET2 antibody [N2-2], N-term (GTX124205) diluted at 1:500.
Antigen Retrieval: Citrate buffer, pH 6.0, 15 min

11 / 11
Anti-TET2 antibody [N2-2], N-term used in Western Blot (WB). GTX124205
Anti-TET2 antibody [N2-2], N-term used in Western Blot (WB). GTX124205
Anti-TET2 antibody [N2-2], N-term used in Immunocytochemistry/ Immunofluorescence (ICC/IF). GTX124205
Anti-TET2 antibody [N2-2], N-term used in Western Blot (WB). GTX124205
Anti-TET2 antibody [N2-2], N-term used in IHC (Paraffin sections) (IHC-P). GTX124205
Anti-TET2 antibody [N2-2], N-term used in Western Blot (WB). GTX124205
Anti-TET2 antibody [N2-2], N-term used in IHC (Paraffin sections) (IHC-P). GTX124205
Anti-TET2 antibody [N2-2], N-term used in Immunoprecipitation (IP). GTX124205
Anti-TET2 antibody [N2-2], N-term used in IHC (Paraffin sections) (IHC-P). GTX124205
Anti-TET2 antibody [N2-2], N-term used in ChIP assay (ChIP assay). GTX124205
Anti-TET2 antibody [N2-2], N-term used in IHC (Paraffin sections) (IHC-P). GTX124205
  • 宿主
    Rabbit
  • 克隆
    Polyclonal
  • 同种型
    IgG
  • 实验应用
    WB ICC/IF IHC-P IP ChIP assay
  • 种属反应
    Human, Mouse, SARS Coronavirus 2
查看所有 TET2 的产品