TIE1抗体 [12D9]

目录号 GTX52470
目录号  GTX52470
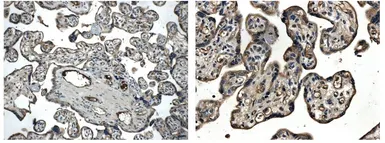
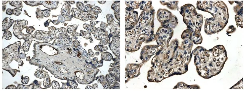
Anti-TIE1 antibody [12D9] used in IHC (Paraffin sections) (IHC-P). GTX52470
GTX52470 IHC-P Image

IHC-P analysis of formalin fixed human placenta tissue using GTX52470 TIE1 antibody [12D9].

1 / 1
Anti-TIE1 antibody [12D9] used in IHC (Paraffin sections) (IHC-P). GTX52470
  • 宿主
    Mouse
  • 克隆
    Monoclonal
  • 克隆编号
    12D9
  • 同种型
    IgG1
  • 实验应用
    WB IHC-P
  • 种属反应
    Human
查看所有 TIE1 的产品