TMEM119抗体

目录号 GTX134087
目录号  GTX134087
Anti-TMEM119 antibody used in IHC (Frozen sections) (IHC-Fr). GTX134087
GTX134087 IHC-Fr Image

TMEM119 antibody detects TMEM119 protein by immunohistochemical analysis.
Sample: Frozen-sectioned mouse brain.
Red: TMEM119 stained by TMEM119 antibody (GTX134087) diluted at 1:250.
Green: Iba1 (isoform 1 and 3), stained by Iba1 (isoform 1 and 3) antibody, C-term (GTX89792) diluted at 1:250.
Blue: Hoechst 33342 staining.

1 / 7
Anti-TMEM119 antibody used in IHC (Frozen sections) (IHC-Fr). GTX134087
GTX134087 IHC-Fr Image

TMEM119 antibody detects TMEM119 protein by immunohistochemical analysis.
Sample: Frozen-sectioned mouse brain.
Red: TMEM119 stained by TMEM119 antibody (GTX134087) diluted at 1:250.
Green: Iba1 (isoform 1 and 3), stained by Iba1 (isoform 1 and 3) antibody, C-term (GTX89792) diluted at 1:250.
Blue: Hoechst 33342 staining.

2 / 7
Anti-TMEM119 antibody used in IHC (Frozen sections) (IHC-Fr). GTX134087
GTX134087 IHC-Fr Image

TMEM119 antibody detects TMEM119 protein by immunohistochemical analysis.
Sample: Frozen-sectioned mouse brain.
Red: TMEM119 stained by TMEM119 antibody (GTX134087) diluted at 1:250.
Green: Iba1 (isoform 1 and 3), stained by Iba1 (isoform 1 and 3) antibody, C-term (GTX89792) diluted at 1:250.
Blue: Hoechst 33342 staining.

3 / 7
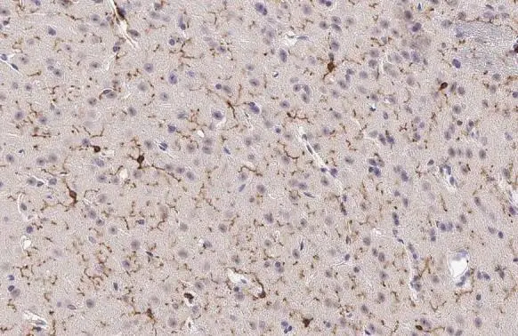
Anti-TMEM119 antibody used in IHC (Paraffin sections) (IHC-P). GTX134087
GTX134087 IHC-P Image

TMEM119 antibody detects TMEM119 protein at cell membrane and cytoplasm by immunohistochemical analysis.
Sample: Paraffin-embedded mouse brain.
TMEM119 stained by TMEM119 antibody (GTX134087) diluted at 1:500.
Antigen Retrieval: Citrate buffer, pH 6.0, 15 min

4 / 7
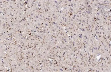
Anti-TMEM119 antibody used in IHC (Paraffin sections) (IHC-P). GTX134087
GTX134087 IHC-P Image

TMEM119 antibody detects TMEM119 protein at microglia cells by immunohistochemical analysis.
Sample: Paraffin-embedded rat brain.
TMEM119 stained by TMEM119 antibody (GTX134087) diluted at 1:500.
Antigen Retrieval: Citrate buffer, pH 6.0, 15 min

5 / 7
Anti-TMEM119 antibody used in IHC (Paraffin sections) (IHC-P). GTX134087
GTX134087 IHC-P Image

TMEM119 antibody detects TMEM119 protein at cytoplasm by immunohistochemical analysis.
Sample: Paraffin-embedded mouse hippocampus.
TMEM119 stained by TMEM119 antibody (GTX134087) diluted at 1:250.
Antigen Retrieval: Citrate buffer, pH 6.0, 15 min

6 / 7
Anti-TMEM119 antibody used in IHC (Frozen sections) (IHC-Fr). GTX134087
GTX134087 IHC-Fr Image

TMEM119 antibody detects TMEM119 protein by immunohistochemical analysis.
Sample: Frozen-sectioned mouse hippocampus.
Green: TMEM119 stained by TMEM119 antibody (GTX134087) diluted at 1:250.
Blue: Fluoroshield with DAPI (GTX30920).

7 / 7
Anti-TMEM119 antibody used in IHC (Frozen sections) (IHC-Fr). GTX134087
Anti-TMEM119 antibody used in IHC (Frozen sections) (IHC-Fr). GTX134087
Anti-TMEM119 antibody used in IHC (Frozen sections) (IHC-Fr). GTX134087
Anti-TMEM119 antibody used in IHC (Paraffin sections) (IHC-P). GTX134087
Anti-TMEM119 antibody used in IHC (Paraffin sections) (IHC-P). GTX134087
Anti-TMEM119 antibody used in IHC (Paraffin sections) (IHC-P). GTX134087
Anti-TMEM119 antibody used in IHC (Frozen sections) (IHC-Fr). GTX134087
  • 宿主
    Rabbit
  • 克隆
    Polyclonal
  • 同种型
    IgG
  • 实验应用
    IHC-P IHC-Fr
  • 种属反应
    Mouse, Rat
查看所有 TMEM119 的产品