TOMM20抗体

目录号 GTX133756
目录号  GTX133756
Anti-TOMM20 antibody used in Western Blot (WB). GTX133756
GTX133756 WB Image

Mouse tissue extract (50 μg) was separated by 15% SDS-PAGE, and the membranes were blotted with TOMM20 antibody (GTX133756) diluted at 1:1000 and competitor's antibody (Competitor A) diluted at 1:500. The HRP-conjugated anti-rabbit IgG antibody (GTX213110-01) was used to detect the primary antibody.

*The competitor is not affiliated with GeneTex and does not endorse this product.

1 / 15
Anti-TOMM20 antibody used in Western Blot (WB). GTX133756
GTX133756 WB Image

HepG2 and mitochondria extracts (30 μg) were separated by SDS-PAGE, and the membrane was blotted with TOMM20 antibody (GTX133756) diluted at 1:1000. The HRP-conjugated anti-rabbit IgG antibody (GTX213110-01) was used to detect the primary antibody.

2 / 15
Anti-TOMM20 antibody used in Western Blot (WB). GTX133756
GTX133756 WB Image

Various whole cell extracts (30 μg) were separated by 15% SDS-PAGE, and the membrane was blotted with TOMM20 antibody (GTX133756) diluted at 1:1000. The HRP-conjugated anti-rabbit IgG antibody (GTX213110-01) was used to detect the primary antibody.

3 / 15
Anti-TOMM20 antibody used in Immunocytochemistry/ Immunofluorescence (ICC/IF). GTX133756
GTX133756 ICC/IF Image

TOMM20 antibody detects TOMM20 protein at mitochondria by immunofluorescent analysis.
Sample: HeLa cells were fixed in 4% paraformaldehyde at RT for 15 min.
Green: TOMM20 stained by TOMM20 antibody (GTX133756) diluted at 1:500.
Red: alpha Tubulin, a cytoskeleton marker, stained by alpha Tubulin antibody [GT114] (GTX628802) diluted at 1:1000.
Blue: Fluoroshield with DAPI (GTX30920).

4 / 15
Anti-TOMM20 antibody used in Western Blot (WB). GTX133756
GTX133756 WB Image

Rat tissue extract (50 μg) was separated by 15% SDS-PAGE, and the membrane was blotted with TOMM20 antibody (GTX133756) diluted at 1:1000. The HRP-conjugated anti-rabbit IgG antibody (GTX213110-01) was used to detect the primary antibody.

5 / 15
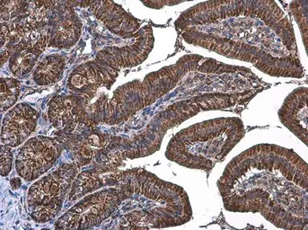
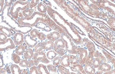
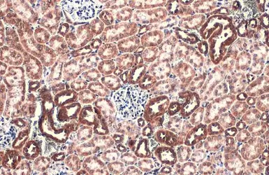
Anti-TOMM20 antibody used in IHC (Paraffin sections) (IHC-P). GTX133756
GTX133756 IHC-P Image

TOMM20 antibody detects TOMM20 protein at mitochondria by immunohistochemical analysis.
Sample: Paraffin-embedded rat kidney.
TOMM20 stained by TOMM20 antibody (GTX133756) diluted at 1:500.
Antigen Retrieval: Citrate buffer, pH 6.0, 15 min

6 / 15
Anti-TOMM20 antibody used in Western Blot (WB). GTX133756
GTX133756 WB Image

Rat tissue extract (50 μg) was separated by 15% SDS-PAGE, and the membrane was blotted with TOMM20 antibody (GTX133756) diluted at 1:1000. The HRP-conjugated anti-rabbit IgG antibody (GTX213110-01) was used to detect the primary antibody.

7 / 15
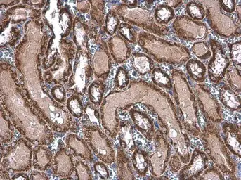
Anti-TOMM20 antibody used in IHC (Paraffin sections) (IHC-P). GTX133756
GTX133756 IHC-P Image

TOMM20 antibody detects TOMM20 protein at mitochondria by immunohistochemical analysis.
Sample: Paraffin-embedded mouse kidney.
TOMM20 stained by TOMM20 antibody (GTX133756) diluted at 1:500.
Antigen Retrieval: Citrate buffer, pH 6.0, 15 min

8 / 15
Anti-TOMM20 antibody used in IHC (Paraffin sections) (IHC-P). GTX133756
GTX133756 IHC-P Image

TOMM20 antibody detects TOMM20 protein at mitochondria by immunohistochemical analysis.
Sample: Paraffin-embedded mouse duodenum.
TOMM20 stained by TOMM20 antibody (GTX133756) diluted at 1:500.
Antigen Retrieval: Citrate buffer, pH 6.0, 15 min

9 / 15
Anti-TOMM20 antibody used in Western Blot (WB). GTX133756
GTX133756 WB Image

Various whole cell extracts (30 μg) were separated by 15% SDS-PAGE, and the membranes were blotted with TOMM20 antibody (GTX133756) diluted at 1:1000 and competitor's antibody (sc-11415) diluted at 1:1000. The HRP-conjugated anti-rabbit IgG antibody (GTX213110-01) was used to detect the primary antibody.

10 / 15
Anti-TOMM20 antibody used in Western Blot (WB). GTX133756
GTX133756 WB Image

Mouse tissue extract (50 μg) was separated by 15% SDS-PAGE, and the membrane was blotted with TOMM20 antibody (GTX133756) diluted at 1:1000. The HRP-conjugated anti-rabbit IgG antibody (GTX213110-01) was used to detect the primary antibody.

11 / 15
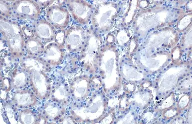
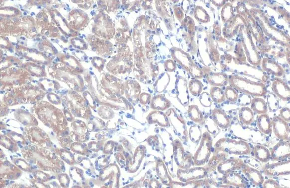
Anti-TOMM20 antibody used in IHC (Paraffin sections) (IHC-P). GTX133756
GTX133756 IHC-P Image

TOMM20 antibody detects TOMM20 protein at cytoplasm by immunohistochemical analysis.
Sample: Paraffin-embedded mouse kidney.
TOMM20 stained by TOMM20 antibody (GTX133756) diluted at 1:500.
Antigen Retrieval: Citrate buffer, pH 6.0, 15 min

12 / 15
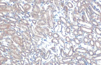
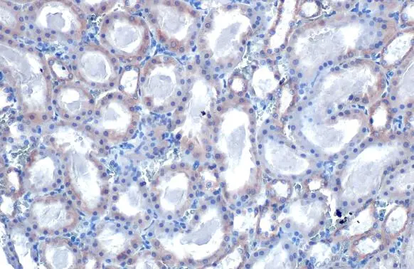
Anti-TOMM20 antibody used in IHC (Paraffin sections) (IHC-P). GTX133756
GTX133756 IHC-P Image

TOMM20 antibody detects TOMM20 protein at cytoplasm by immunohistochemical analysis.
Sample: Paraffin-embedded rat kidney.
TOMM20 stained by TOMM20 antibody (GTX133756) diluted at 1:500.
Antigen Retrieval: Citrate buffer, pH 6.0, 15 min

13 / 15
Anti-TOMM20 antibody used in Immunocytochemistry/ Immunofluorescence (ICC/IF). GTX133756
GTX133756 ICC/IF Image

TOMM20 antibody detects TOMM20 protein at mitochondria by immunofluorescent analysis.
Sample: HeLa cells were fixed in 4% paraformaldehyde at RT for 15 min.
Green: TOMM20 stained by TOMM20 antibody (GTX133756) diluted at 1:500.
Red: alpha Tubulin, a cytoskeleton marker, stained by alpha Tubulin antibody [GT114] (GTX628802) diluted at 1:1000.
Blue: Fluoroshield with DAPI (GTX30920).
Scale bar= 10μm.

14 / 15
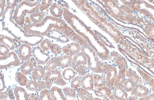
Anti-TOMM20 antibody used in IHC (Paraffin sections) (IHC-P). GTX133756
GTX133756 IHC-P Image

TOMM20 antibody detects TOMM20 protein at mitochondria by immunohistochemical analysis.
Sample: Paraffin-embedded mouse kidney.
TOMM20 stained by TOMM20 antibody (GTX133756) diluted at 1:615.
Antigen Retrieval: Citrate buffer, pH 6.0, 15 min

15 / 15
Anti-TOMM20 antibody used in Western Blot (WB). GTX133756
Anti-TOMM20 antibody used in Western Blot (WB). GTX133756
Anti-TOMM20 antibody used in Western Blot (WB). GTX133756
Anti-TOMM20 antibody used in Immunocytochemistry/ Immunofluorescence (ICC/IF). GTX133756
Anti-TOMM20 antibody used in Western Blot (WB). GTX133756
Anti-TOMM20 antibody used in IHC (Paraffin sections) (IHC-P). GTX133756
Anti-TOMM20 antibody used in Western Blot (WB). GTX133756
Anti-TOMM20 antibody used in IHC (Paraffin sections) (IHC-P). GTX133756
Anti-TOMM20 antibody used in IHC (Paraffin sections) (IHC-P). GTX133756
Anti-TOMM20 antibody used in Western Blot (WB). GTX133756
Anti-TOMM20 antibody used in Western Blot (WB). GTX133756
Anti-TOMM20 antibody used in IHC (Paraffin sections) (IHC-P). GTX133756
Anti-TOMM20 antibody used in IHC (Paraffin sections) (IHC-P). GTX133756
Anti-TOMM20 antibody used in Immunocytochemistry/ Immunofluorescence (ICC/IF). GTX133756
Anti-TOMM20 antibody used in IHC (Paraffin sections) (IHC-P). GTX133756
  • 宿主
    Rabbit
  • 克隆
    Polyclonal
  • 同种型
    IgG
  • 实验应用
    WB ICC/IF IHC-P
  • 种属反应
    Human, Mouse, Rat
查看所有 TOMM20 的产品