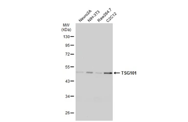
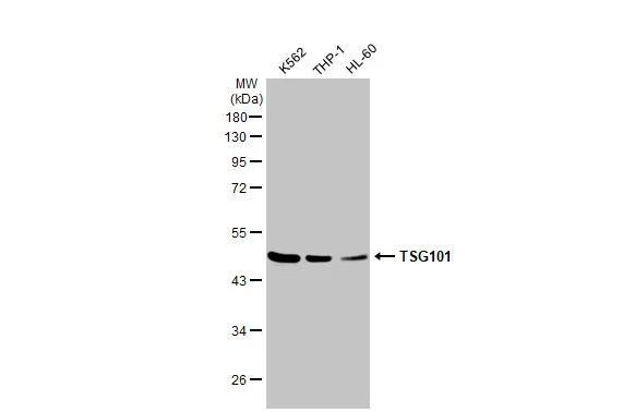
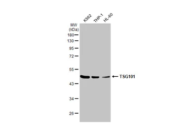
![Anti-TSG101 antibody [4A10] used in Western Blot (WB). GTX70255](/upload/website/prouct_img/middle/GTX70255/GTX70255_45273_20240119_WB_25070323_578.webp) 
                                                        
                                                    Various whole cell extracts (30 μg) were separated by 10% SDS-PAGE, and the membrane was blotted with TSG101 antibody [4A10] (GTX70255) diluted at 1:500. The HRP-conjugated anti-mouse IgG antibody (GTX213111-01) was used to detect the primary antibody, and the signal was developed with Trident ECL plus-Enhanced.
![Anti-TSG101 antibody [4A10] used in Western Blot (WB). GTX70255](/upload/website/prouct_img/middle/GTX70255/GTX70255_41449_WB_M_w_23061221_857.webp) 
                                                            
                                                        
                                                    
                                                                    TSG101 antibody [4A10] detects TSG101 protein by western blot analysis.
A. 30 μg NIH-3T3 whole cell lysate/extract
B. 30 μg JC whole cell lysate/extract
C. 30 μg BCL-1 whole cell lysate/extract
10% SDS-PAGE
TSG101 antibody [4A10] (GTX70255) dilution: 1:500
The HRP-conjugated anti-mouse IgG antibody (GTX213111-01) was used to detect the primary antibody.
                                                                
![Anti-TSG101 antibody [4A10] used in Flow cytometry (FCM). GTX70255](/upload/website/prouct_img/middle/GTX70255/GTX70255_43383_20190201_FACS_w_23061221_980.webp) 
                                                            
                                                        
                                                    
                                                                    TSG101 antibody [4A10]  (GTX70255) detects TSG101 protein by flow cytometry analysis.
 Sample:  THP-1 cell.
 Black: Unlabelled sample was used as a control.
 Red:  TSG101 antibody [4A10]  (GTX70255)  dilution: 1:25.
 Acquisition of 20,000 events were collected using a Dylight 488-conjugated secondary antibody for FACS analysis.
                                                                
![Anti-TSG101 antibody [4A10] used in Western Blot (WB). GTX70255](/upload/website/prouct_img/middle/GTX70255/GTX70255_41449_20161201_WB_shRNA_watermark_w_23061221_273.webp) 
                                                            
                                                        
                                                    Non-transfected (–) and transfected (+) 293T whole cell extracts (30 μg) were separated by 10% SDS-PAGE, and the membrane was blotted with TSG101 antibody [4A10] (GTX70255) diluted at 1:500. The HRP-conjugated anti-mouse IgG antibody (GTX213111-01) was used to detect the primary antibody.
![Anti-TSG101 antibody [4A10] used in Western Blot (WB). GTX70255](/upload/website/prouct_img/middle/GTX70255/GTX70255_20240411_citeab_WB_3204_24041502_217.webp) 
                                                            
                                                        
                                                    The data was published in the journal J Exp Clin Cancer Res in 2018. PMID: 30290833
![Anti-TSG101 antibody [4A10] used in Western Blot (WB). GTX70255](/upload/website/prouct_img/middle/GTX70255/GTX70255_20240411_citeab_WB_2351_24041502_157.webp) 
                                                            
                                                        
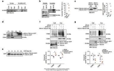
                                                    The data was published in the journal PLoS One in 2018. PMID: 29953492
![Anti-TSG101 antibody [4A10] used in Western Blot (WB). GTX70255](/upload/website/prouct_img/middle/GTX70255/GTX70255_20240411_citeab_WB_2352_24041502_126.webp) 
                                                            
                                                        
                                                    The data was published in the journal Cell Death Dis in 2018. PMID: 29743530
![Anti-TSG101 antibody [4A10] used in Western Blot (WB). GTX70255](/upload/website/prouct_img/middle/GTX70255/GTX70255_20240411_citeab_WB_2247_24041502_538.webp) 
                                                            
                                                        
                                                    The data was published in the journal Front Neurosci in 2019. PMID: 32009885
![Anti-TSG101 antibody [4A10] used in Immunocytochemistry/ Immunofluorescence (ICC/IF). GTX70255](/upload/website/prouct_img/middle/GTX70255/GTX70255_20240411_citeab_ICCIF_1954_24041502_476.webp) 
                                                            
                                                        
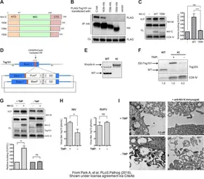
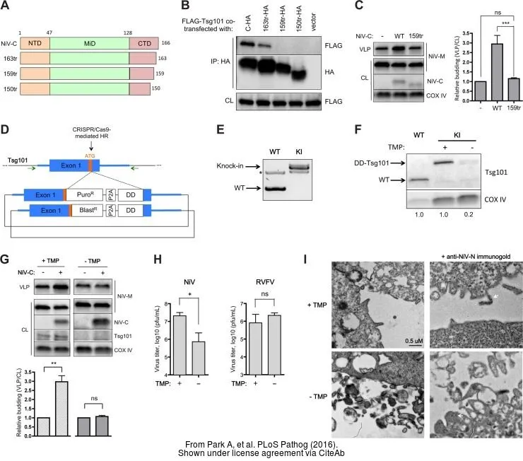
                                                    The data was published in the journal PLoS Pathog in 2015. PMID: 25710462
![Anti-TSG101 antibody [4A10] used in Western Blot (WB). GTX70255](/upload/website/prouct_img/middle/GTX70255/GTX70255_20240411_citeab_WB_1980_24041502_133.webp) 
                                                            
                                                        
                                                    The data was published in the journal PLoS One in 2017. PMID: 28241021
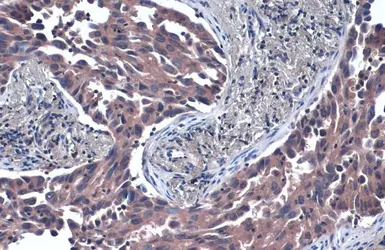
![Anti-TSG101 antibody [4A10] used in IHC (Free Floating) (IHC (Free Floating)). GTX70255](/upload/website/prouct_img/middle/GTX70255/GTX70255_20240411_citeab_IHC(FreeFloating)_525_24041501_881.webp) 
                                                            
                                                        
                                                    The data was published in the journal Mol Neurodegener in 2017.PMID: 28835279
![Anti-TSG101 antibody [4A10] used in Immunocytochemistry/ Immunofluorescence (ICC/IF). GTX70255](/upload/website/prouct_img/middle/GTX70255/GTX70255_20240411_citeab_ICCIF_526_24041501_731.webp) 
                                                            
                                                        
                                                    The data was published in the journal Mol Neurodegener in 2017.PMID: 28835279
![Anti-TSG101 antibody [4A10] used in Western Blot (WB). GTX70255](/upload/website/prouct_img/middle/GTX70255/GTX70255_20240411_citeab_WB_519_24041501_960.webp) 
                                                            
                                                        
                                                    The data was published in the journal PLoS Biol in 2013.PMID: 23874151
![Anti-TSG101 antibody [4A10] used in Western Blot (WB). GTX70255](/upload/website/prouct_img/middle/GTX70255/GTX70255_20240411_citeab_WB_523_24041501_300.webp) 
                                                            
                                                        
                                                    The data was published in the journal Acta Neuropathol Commun in 2017.PMID: 28851452
![Anti-TSG101 antibody [4A10] used in Western Blot (WB). GTX70255](/upload/website/prouct_img/middle/GTX70255/GTX70255_20240411_citeab_WB_528_24041501_619.webp) 
                                                            
                                                        
                                                    The data was published in the journal Nat Commun in 2015.PMID: 26103923
![Anti-TSG101 antibody [4A10] used in Western Blot (WB). GTX70255](/upload/website/prouct_img/middle/GTX70255/GTX70255_20240411_citeab_WB_521_24041501_220.webp) 
                                                            
                                                        
                                                    The data was published in the journal Mol Neurodegener in 2017.PMID: 28835279
![Anti-TSG101 antibody [4A10] used in Western Blot (WB). GTX70255](/upload/website/prouct_img/middle/GTX70255/GTX70255_20240411_citeab_WB_522_24041501_913.webp) 
                                                            
                                                        
                                                    The data was published in the journal Acta Neuropathol Commun in 2017.PMID: 28851452
![Anti-TSG101 antibody [4A10] used in Western Blot (WB). GTX70255](/upload/website/prouct_img/middle/GTX70255/GTX70255_20240411_citeab_WB_527_24041501_560.webp) 
                                                            
                                                        
                                                    The data was published in the journal Acta Neuropathol Commun in 2017.PMID: 28851452
![Anti-TSG101 antibody [4A10] used in Western Blot (WB). GTX70255](/upload/website/prouct_img/middle/GTX70255/GTX70255_45273_20240119_WB_25070323_578.webp) 
                                            ![Anti-TSG101 antibody [4A10] used in Western Blot (WB). GTX70255](/upload/website/prouct_img/middle/GTX70255/GTX70255_41449_20161110_WB_M_w_23061221_308.webp) 
                                            ![Anti-TSG101 antibody [4A10] used in Western Blot (WB). GTX70255](/upload/website/prouct_img/middle/GTX70255/GTX70255_41449_WB_M_w_23061221_857.webp) 
                                            ![Anti-TSG101 antibody [4A10] used in Western Blot (WB). GTX70255](/upload/website/prouct_img/middle/GTX70255/GTX70255_43344_20190222_WB_M_w_23061221_642.webp) 
                                            ![Anti-TSG101 antibody [4A10] used in Flow cytometry (FCM). GTX70255](/upload/website/prouct_img/middle/GTX70255/GTX70255_43383_20190201_FACS_w_23061221_980.webp) 
                                            ![Anti-TSG101 antibody [4A10] used in IHC (Paraffin sections) (IHC-P). GTX70255](/upload/website/prouct_img/middle/GTX70255/GTX70255_43284_20181025_IHC-P_w_23061221_587.webp) 
                                            ![Anti-TSG101 antibody [4A10] used in Western Blot (WB). GTX70255](/upload/website/prouct_img/middle/GTX70255/GTX70255_43344_20190315_WB_M_tissue_w_23061221_184.webp) 
                                            ![Anti-TSG101 antibody [4A10] used in ELISA (ELISA). GTX70255](/upload/website/prouct_img/middle/GTX70255/GTX70255_TSG101_ELISA-PAIR_w_23061221_572.webp) 
                                            ![Anti-TSG101 antibody [4A10] used in IHC (Paraffin sections) (IHC-P). GTX70255](/upload/website/prouct_img/middle/GTX70255/GTX70255_43284_20181025_IHC-P_1_w_23061221_566.webp) 
                                            ![Anti-TSG101 antibody [4A10] used in Western Blot (WB). GTX70255](/upload/website/prouct_img/middle/GTX70255/GTX70255_41449_20161201_WB_shRNA_watermark_w_23061221_273.webp) 
                                            ![Anti-TSG101 antibody [4A10] used in IHC (Paraffin sections) (IHC-P). GTX70255](/upload/website/prouct_img/middle/GTX70255/GTX70255_43964_20200724_IHC-P_w_23061221_433.webp) 
                                                    
                                            ![Anti-TSG101 antibody [4A10] used in Western Blot (WB). GTX70255](/upload/website/prouct_img/middle/GTX70255/GTX70255_20240411_citeab_WB_3204_24041502_217.webp) 
                                                    
                                            ![Anti-TSG101 antibody [4A10] used in Western Blot (WB). GTX70255](/upload/website/prouct_img/middle/GTX70255/GTX70255_20240411_citeab_WB_3052_24041502_411.webp) 
                                                    
                                            ![Anti-TSG101 antibody [4A10] used in Western Blot (WB). GTX70255](/upload/website/prouct_img/middle/GTX70255/GTX70255_20240411_citeab_WB_2846_24041502_663.webp) 
                                                    
                                            ![Anti-TSG101 antibody [4A10] used in Western Blot (WB). GTX70255](/upload/website/prouct_img/middle/GTX70255/GTX70255_20240411_citeab_WB_2829_24041502_873.webp) 
                                                    
                                            ![Anti-TSG101 antibody [4A10] used in Western Blot (WB). GTX70255](/upload/website/prouct_img/middle/GTX70255/GTX70255_20240411_citeab_WB_2798_24041502_209.webp) 
                                                    
                                            ![Anti-TSG101 antibody [4A10] used in Western Blot (WB). GTX70255](/upload/website/prouct_img/middle/GTX70255/GTX70255_20240411_citeab_WB_518_24041501_387.webp) 
                                                    
                                            ![Anti-TSG101 antibody [4A10] used in Western Blot (WB). GTX70255](/upload/website/prouct_img/middle/GTX70255/GTX70255_20240411_citeab_WB_520_24041501_314.webp) 
                                                    
                                            ![Anti-TSG101 antibody [4A10] used in Western Blot (WB). GTX70255](/upload/website/prouct_img/middle/GTX70255/GTX70255_20240411_citeab_WB_524_24041501_552.webp) 
                                                    
                                            ![Anti-TSG101 antibody [4A10] used in Western Blot (WB). GTX70255](/upload/website/prouct_img/middle/GTX70255/GTX70255_20240411_citeab_WB_408_24041502_819.webp) 
                                                    
                                            ![Anti-TSG101 antibody [4A10] used in Western Blot (WB). GTX70255](/upload/website/prouct_img/middle/GTX70255/GTX70255_20240411_citeab_WB_407_24041501_349.webp) 
                                                    
                                            ![Anti-TSG101 antibody [4A10] used in Western Blot (WB). GTX70255](/upload/website/prouct_img/middle/GTX70255/GTX70255_20240411_citeab_WB_130_24041501_498.webp) 
                                                    
                                            ![Anti-TSG101 antibody [4A10] used in Western Blot (WB). GTX70255](/upload/website/prouct_img/middle/GTX70255/GTX70255_20240411_citeab_WB_168_24041501_954.webp) 
                                                    
                                            ![Anti-TSG101 antibody [4A10] used in Western Blot (WB). GTX70255](/upload/website/prouct_img/middle/GTX70255/GTX70255_20240411_citeab_WB_169_24041501_555.webp) 
                                                    
                                            ![Anti-TSG101 antibody [4A10] used in Western Blot (WB). GTX70255](/upload/website/prouct_img/middle/GTX70255/GTX70255_20240411_citeab_WB_2351_24041502_157.webp) 
                                                    
                                            ![Anti-TSG101 antibody [4A10] used in Western Blot (WB). GTX70255](/upload/website/prouct_img/middle/GTX70255/GTX70255_20240411_citeab_WB_2352_24041502_126.webp) 
                                                    
                                            ![Anti-TSG101 antibody [4A10] used in Western Blot (WB). GTX70255](/upload/website/prouct_img/middle/GTX70255/GTX70255_20240411_citeab_WB_2247_24041502_538.webp) 
                                                    
                                            ![Anti-TSG101 antibody [4A10] used in Immunocytochemistry/ Immunofluorescence (ICC/IF). GTX70255](/upload/website/prouct_img/middle/GTX70255/GTX70255_20240411_citeab_ICCIF_1954_24041502_476.webp) 
                                                    
                                            ![Anti-TSG101 antibody [4A10] used in Western Blot (WB). GTX70255](/upload/website/prouct_img/middle/GTX70255/GTX70255_20240411_citeab_WB_1980_24041502_133.webp) 
                                                    
                                            ![Anti-TSG101 antibody [4A10] used in IHC (Free Floating) (IHC (Free Floating)). GTX70255](/upload/website/prouct_img/middle/GTX70255/GTX70255_20240411_citeab_IHC(FreeFloating)_525_24041501_881.webp) 
                                                    
                                            ![Anti-TSG101 antibody [4A10] used in Immunocytochemistry/ Immunofluorescence (ICC/IF). GTX70255](/upload/website/prouct_img/middle/GTX70255/GTX70255_20240411_citeab_ICCIF_526_24041501_731.webp) 
                                                    
                                            ![Anti-TSG101 antibody [4A10] used in Western Blot (WB). GTX70255](/upload/website/prouct_img/middle/GTX70255/GTX70255_20240411_citeab_WB_519_24041501_960.webp) 
                                                    
                                            ![Anti-TSG101 antibody [4A10] used in Western Blot (WB). GTX70255](/upload/website/prouct_img/middle/GTX70255/GTX70255_20240411_citeab_WB_523_24041501_300.webp) 
                                                    
                                            ![Anti-TSG101 antibody [4A10] used in Western Blot (WB). GTX70255](/upload/website/prouct_img/middle/GTX70255/GTX70255_20240411_citeab_WB_528_24041501_619.webp) 
                                                    
                                            ![Anti-TSG101 antibody [4A10] used in Western Blot (WB). GTX70255](/upload/website/prouct_img/middle/GTX70255/GTX70255_20240411_citeab_WB_521_24041501_220.webp) 
                                                    
                                            ![Anti-TSG101 antibody [4A10] used in Western Blot (WB). GTX70255](/upload/website/prouct_img/middle/GTX70255/GTX70255_20240411_citeab_WB_522_24041501_913.webp) 
                                                    
                                            ![Anti-TSG101 antibody [4A10] used in Western Blot (WB). GTX70255](/upload/website/prouct_img/middle/GTX70255/GTX70255_20240411_citeab_WB_527_24041501_560.webp) 
                                                    
                                            - 
                                            宿主Mouse
- 
                                            克隆Monoclonal
- 
                                            克隆编号4A10
- 
                                                同种型IgG1
- 
                                            实验应用WB ICC/IF IHC-P FCM IP ELISA EM IHC IHC (Free Floating)
- 
                                            种属反应Human, Mouse, Rat, Zebrafish, Dog, Hamster, Pig, Monkey
 
                                             
                                             
                                            