Tau抗体

目录号 GTX112981
目录号  GTX112981
Anti-Tau antibody used in IHC (Frozen sections) (IHC-Fr). GTX112981
GTX112981 IHC-Fr Image

Tau antibody detects Tau protein expression by immunohistochemical analysis.
Sample: Frozen sectioned E13.5 Rat brain.
Green: Tau protein stained by Tau antibody (GTX112981) diluted at 1:250.
Red: beta Tubulin 3/ TUJ1, a mature neuron marker, stained by beta Tubulin 3/ TUJ1 antibody [GT11710] (GTX631836) diluted at 1:500.
Blue: Fluoroshield with DAPI (GTX30920).

1 / 6
Anti-Tau antibody used in Western Blot (WB). GTX112981
GTX112981 WB Image

Various whole cell extracts (30 μg) were separated by 10% SDS-PAGE, and the membrane was blotted with Tau antibody (GTX112981) diluted at 1:1000. The HRP-conjugated anti-rabbit IgG antibody (GTX213110-01) was used to detect the primary antibody.

2 / 6
Anti-Tau antibody used in Immunocytochemistry/ Immunofluorescence (ICC/IF). GTX112981
GTX112981 ICC/IF Image

Tau antibody detects Tau protein by immunofluorescent analysis.
Sample: DIV10 rat E18 primary cortical neuron cells were fixed in 4% paraformaldehyde at RT for 15 min.
Green: Tau stained by Tau antibody (GTX112981) diluted at 1:500.
Red: Tau, stained by Tau antibody [GT287] (GTX634809) diluted at 1:500.
Blue: Fluoroshield with DAPI (GTX30920).

3 / 6
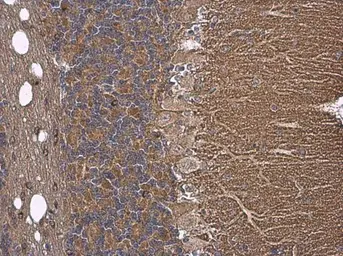
Anti-Tau antibody used in IHC (Paraffin sections) (IHC-P). GTX112981
GTX112981 IHC-P Image

Tau antibody detects Tau protein at cytoplasm by immunohistochemical analysis.
Sample: Paraffin-embedded mouse cerebellum.
Tau stained by Tau antibody (GTX112981) diluted at 1:200.
Antigen Retrieval: Citrate buffer, pH 6.0, 15 min

4 / 6
Anti-Tau antibody used in IHC (Paraffin sections) (IHC-P). GTX112981
GTX112981 IHC-P Image

Tau antibody detects Tau protein at cytoplasm by immunohistochemical analysis.
Sample: Paraffin-embedded mouse eye.
Green: Tau stained by Tau antibody (GTX112981) diluted at 1:500.
Red: beta Tubulin 3/ Tuj1, a cytoskeleton marker, stained by beta Tubulin 3/ Tuj1 antibody [GT11710] (GTX631836) diluted at 1:500.
Blue: Fluoroshield with DAPI (GTX30920).
Antigen Retrieval: Citrate buffer, pH 6.0, 15 min

5 / 6
Anti-Tau antibody used in Western Blot (WB). GTX112981
GTX112981 WB Image

Various tissue extracts (50 μg) were separated by 10% SDS-PAGE, and the membrane was blotted with Tau antibody (GTX112981) diluted at 1:1000. The HRP-conjugated anti-rabbit IgG antibody (GTX213110-01) was used to detect the primary antibody.

6 / 6
Anti-Tau antibody used in IHC (Frozen sections) (IHC-Fr). GTX112981
Anti-Tau antibody used in Western Blot (WB). GTX112981
Anti-Tau antibody used in Immunocytochemistry/ Immunofluorescence (ICC/IF). GTX112981
Anti-Tau antibody used in IHC (Paraffin sections) (IHC-P). GTX112981
Anti-Tau antibody used in IHC (Paraffin sections) (IHC-P). GTX112981
Anti-Tau antibody used in Western Blot (WB). GTX112981
  • 宿主
    Rabbit
  • 克隆
    Polyclonal
  • 同种型
    IgG
  • 实验应用
    WB ICC/IF IHC-P IHC-Fr
  • 种属反应
    Human, Mouse, Rat
查看所有 Tau 的产品