Thyroglobulin抗体 [2H11]
目录号 GTX35115
                        目录号  GTX35115
                    
                            - 
                                            宿主Mouse
- 
                                            克隆Monoclonal
- 
                                            克隆编号2H11
- 
                                                同种型IgG1
- 
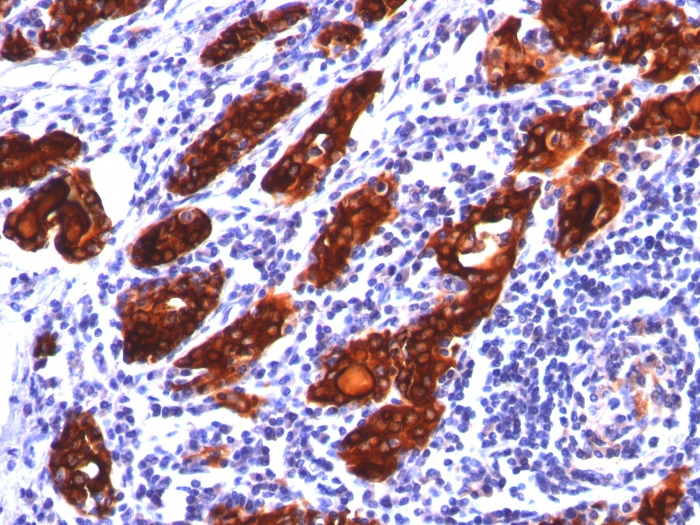
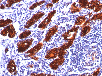
                                            实验应用IHC-P FCM
- 
                                            种属反应Human, Mouse, Rat
![Anti-Thyroglobulin antibody [2H11] used in IHC (Paraffin sections) (IHC-P). GTX35115](/upload/website/prouct_img/middle/GTX35115/GTX35115_20200115_IHC-P_1243_w_23060801_194.webp)