Transgelin抗体

目录号 GTX101608
目录号  GTX101608
Anti-Transgelin antibody used in Western Blot (WB). GTX101608
GTX101608 WB Image

Non-transfected (–) and transfected (+) HeLa whole cell extracts (15 μg) were separated by 12% SDS-PAGE, and the membrane was blotted with Transgelin antibody (GTX101608) diluted at 1:5000. The HRP-conjugated anti-rabbit IgG antibody (GTX213110-01) was used to detect the primary antibody.

1 / 8
Anti-Transgelin antibody used in Western Blot (WB). GTX101608
GTX101608 WB Image

Various whole cell extracts (30 μg) were separated by 12% SDS-PAGE, and the membrane was blotted with Transgelin antibody (GTX101608) diluted at 1:1000. The HRP-conjugated anti-rabbit IgG antibody (GTX213110-01) was used to detect the primary antibody.

2 / 8
Anti-Transgelin antibody used in Western Blot (WB). GTX101608
GTX101608 WB Image

Various whole cell extracts (30 μg) were separated by 12% SDS-PAGE, and the membrane was blotted with Transgelin antibody (GTX101608) diluted at 1:1000. The HRP-conjugated anti-rabbit IgG antibody (GTX213110-01) was used to detect the primary antibody.

3 / 8
Anti-Transgelin antibody used in IHC (Paraffin sections) (IHC-P). GTX101608
GTX101608 IHC-P Image

Transgelin antibody detects Transgelin protein at cytoplasm by immunohistochemical analysis.
Sample: Paraffin-embedded mouse smooth muscle.
Transgelin stained by Transgelin antibody (GTX101608) diluted at 1:500.
Antigen Retrieval: Citrate buffer, pH 6.0, 15 min

4 / 8
Anti-Transgelin antibody used in Western Blot (WB). GTX101608
GTX101608 WB Image

Transgelin antibody detects TAGLN protein by western blot analysis.
A. 30 μg C8D30 whole cell lysate/extract
12% SDS-PAGE
Transgelin antibody (GTX101608) dilution: 1:1000
The HRP-conjugated anti-rabbit IgG antibody (GTX213110-01) was used to detect the primary antibody.

5 / 8
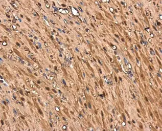
Anti-Transgelin antibody used in IHC (Paraffin sections) (IHC-P). GTX101608
GTX101608 IHC-P Image

Transgelin antibody detects Transgelin protein at cytoplasm in rat stomach by immunohistochemical analysis.
Sample: Paraffin-embedded rat stomach.
Transgelin antibody (GTX101608) diluted at 1:500.

Antigen Retrieval: Citrate buffer, pH 6.0, 15 min

6 / 8
Anti-Transgelin antibody used in Western Blot (WB). GTX101608
GTX101608 WB Image

Transgelin antibody detects TAGLN protein by western blot analysis.
A. 30 μg Rat-2 whole cell lysate/extract
12% SDS-PAGE
Transgelin antibody (GTX101608) dilution: 1:5000
The HRP-conjugated anti-rabbit IgG antibody (GTX213110-01) was used to detect the primary antibody.

7 / 8
Anti-Transgelin antibody used in Immunocytochemistry/ Immunofluorescence (ICC/IF). GTX101608
GTX101608 ICC/IF Image

Transgelin antibody detects Transgelin protein at cytoplasm and nucleus by immunofluorescent analysis.
Sample: HeLa cells were fixed in 4% paraformaldehyde at RT for 15 min.
Green: Transgelin protein stained by Transgelin antibody (GTX101608) diluted at 1:500.
Red: alpha Tubulin, a cytoskeleton marker, stained by alpha Tubulin antibody [GT114] (GTX628802) diluted at 1:1000.
Blue: Hoechst 33342 staining.

8 / 8
Anti-Transgelin antibody used in Western Blot (WB). GTX101608
Anti-Transgelin antibody used in Western Blot (WB). GTX101608
Anti-Transgelin antibody used in Western Blot (WB). GTX101608
Anti-Transgelin antibody used in IHC (Paraffin sections) (IHC-P). GTX101608
Anti-Transgelin antibody used in Western Blot (WB). GTX101608
Anti-Transgelin antibody used in IHC (Paraffin sections) (IHC-P). GTX101608
Anti-Transgelin antibody used in Western Blot (WB). GTX101608
Anti-Transgelin antibody used in Immunocytochemistry/ Immunofluorescence (ICC/IF). GTX101608
  • 宿主
    Rabbit
  • 克隆
    Polyclonal
  • 同种型
    IgG
  • 实验应用
    WB ICC/IF IHC-P
  • 种属反应
    Human, Mouse, Rat
查看所有 Transgelin 的产品