Tyrosine Hydroxylase抗体 [N1C1]

目录号 GTX102424
目录号  GTX102424
Anti-Tyrosine Hydroxylase antibody [N1C1] used in IHC (Frozen sections) (IHC-Fr). GTX102424
GTX102424 IHC-Fr Image

Tyrosine Hydroxylase antibody [N1C1] detects Tyrosine Hydroxylase protein expression by immunohistochemical analysis.
Sample: Frozen sectioned E13.5 Rat brain.
Green: Tyrosine Hydroxylase protein stained by Tyrosine Hydroxylase antibody [N1C1] (GTX102424) diluted at 1:250.
Red: SOX2, stained by SOX2 antibody [GT1876] (GTX627404) diluted at 1:250.
Blue: Fluoroshield with DAPI (GTX30920).

1 / 15
Anti-Tyrosine Hydroxylase antibody [N1C1] used in IHC (Paraffin sections) (IHC-P). GTX102424
GTX102424 IHC-P Image

Tyrosine Hydroxylase antibody [N1C1] detects Tyrosine Hydroxylase protein in midbrain dopaminergic neurons by immunohistochemical analysis.
Sample: Paraffin-embedded mouse brain.
Green: Tyrosine Hydroxylase stained by Tyrosine Hydroxylase antibody [N1C1] (GTX102424) diluted at 1:500.
Blue: Fluoroshield with DAPI (GTX30920).
Antigen Retrieval: Citrate buffer, pH 6.0, 15 min

2 / 15
Anti-Tyrosine Hydroxylase antibody [N1C1] used in IHC (Frozen sections) (IHC-Fr). GTX102424
GTX102424 IHC-Fr Image

Tyrosine Hydroxylase antibody [N1C1] detects Tyrosine Hydroxylase protein by immunohistochemical analysis.
Sample: Frozen sectioned adult mouse retina.
Green: Tyrosine Hydroxylase protein stained by Tyrosine Hydroxylase antibody [N1C1] (GTX102424) diluted at 1:250.
Red: beta Tubulin 3/ TUJ1, stained by beta Tubulin 3/ TUJ1 antibody [GT11710] (GTX631836) diluted at 1:250.
Blue: Fluoroshield with DAPI (GTX30920).

3 / 15
Anti-Tyrosine Hydroxylase antibody [N1C1] used in IHC (Paraffin sections) (IHC-P). GTX102424
GTX102424 IHC-P Image

Tyrosine Hydroxylase antibody [N1C1] detects Tyrosine Hydroxylase protein at cell membrane and cytoplasm by immunohistochemical analysis.
Sample: Paraffin-embedded mouse brain.
Tyrosine Hydroxylase stained by Tyrosine Hydroxylase antibody [N1C1] (GTX102424) diluted at 1:500.
Antigen Retrieval: Citrate buffer, pH 6.0, 15 min

4 / 15
Anti-Tyrosine Hydroxylase antibody [N1C1] used in IHC (Whole mount) (IHC-Wm). GTX102424
GTX102424 IHC-Wm Image

Tyrosine Hydroxylase antibody [N1C1] detects Tyrosine Hydroxylase protein on zebrafish by whole mount immunohistochemical analysis.
Sample: 2 days-post-fertilization zebrafish embryo.
Tyrosine Hydroxylase antibody [N1C1] (GTX102424) dilution: 1:100.

5 / 15
Anti-Tyrosine Hydroxylase antibody [N1C1] used in Immunocytochemistry/ Immunofluorescence (ICC/IF). GTX102424
GTX102424 ICC/IF Image

Tyrosine Hydroxylase antibody [N1C1] detects Tyrosine Hydroxylase protein at cytoplasm by immunofluorescent analysis.
Sample: HeLa cells were fixed in 4% paraformaldehyde at RT for 15 min.
Green: Tyrosine Hydroxylase protein stained by Tyrosine Hydroxylase antibody [N1C1] (GTX102424) diluted at 1:200.
Red: alpha Tubulin, a cytoskeleton marker, stained by alpha Tubulin antibody [GT114] (GTX628802) diluted at 1:1000.
Blue: Hoechst 33342 staining.

6 / 15
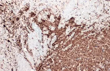
Anti-Tyrosine Hydroxylase antibody [N1C1] used in IHC (Paraffin sections) (IHC-P). GTX102424
GTX102424 IHC-P Image

Tyrosine Hydroxylase antibody [N1C1] detects Tyrosine Hydroxylase protein at cytoplasm by immunohistochemical analysis.
Sample: Paraffin-embedded rat brain.
Tyrosine Hydroxylase stained by Tyrosine Hydroxylase antibody [N1C1] (GTX102424) diluted at 1:1000.
Antigen Retrieval: Citrate buffer, pH 6.0, 15 min

7 / 15
Anti-Tyrosine Hydroxylase antibody [N1C1] used in Western Blot (WB). GTX102424
GTX102424 WB Image

Various tissue extracts (50 μg) were separated by 10% SDS-PAGE, and the membrane was blotted with Tyrosine Hydroxylase antibody [N1C1] (GTX102424) diluted at 1:1000. The HRP-conjugated anti-rabbit IgG antibody (GTX213110-01) was used to detect the primary antibody.

8 / 15
Anti-Tyrosine Hydroxylase antibody [N1C1] used in IHC (Paraffin sections) (IHC-P). GTX102424
GTX102424 IHC-P Image

Tyrosine Hydroxylase antibody [N1C1] detects Tyrosine Hydroxylase protein at cytoplasm by immunohistochemical analysis.
Sample: Paraffin-embedded mouse brain.
Tyrosine Hydroxylase stained by Tyrosine Hydroxylase antibody [N1C1] (GTX102424) diluted at 1:500.
Antigen Retrieval: Citrate buffer, pH 6.0, 15 min

9 / 15
Anti-Tyrosine Hydroxylase antibody [N1C1] used in Immunocytochemistry/ Immunofluorescence (ICC/IF). GTX102424
GTX102424 ICC/IF Image

Tyrosine Hydroxylase antibody [N1C1] detects Tyrosine Hydroxylase protein at cytoplasm by immunofluorescent analysis.
Sample: SK-N-SH cells were fixed in 4% paraformaldehyde at RT for 15 min.
Green: Tyrosine Hydroxylase protein stained by Tyrosine Hydroxylase antibody [N1C1] (GTX102424) diluted at 1:200.
Red: alpha Tubulin, a cytoskeleton marker, stained by alpha Tubulin antibody [GT114] (GTX628802) diluted at 1:1000.
Blue: Hoechst 33342 staining.

10 / 15
Anti-Tyrosine Hydroxylase antibody [N1C1] used in IHC (Paraffin sections) (IHC-P). GTX102424
GTX102424 IHC-P Image

Tyrosine Hydroxylase antibody [N1C1] detects Tyrosine Hydroxylase protein at cell membrane and cytoplasm by immunohistochemical analysis.
Sample: Paraffin-embedded mouse brain.
Tyrosine Hydroxylase stained by Tyrosine Hydroxylase antibody [N1C1] (GTX102424) diluted at 1:500.
Antigen Retrieval: Citrate buffer, pH 6.0, 15 min

11 / 15
Anti-Tyrosine Hydroxylase antibody [N1C1] used in IHC (Paraffin sections) (IHC-P). GTX102424
GTX102424 IHC-P Image

Tyrosine Hydroxylase antibody [N1C1] detects Tyrosine Hydroxylase protein at cytoplasm by immunohistochemical analysis.
Sample: Paraffin-embedded mouse brain.
Tyrosine Hydroxylase stained by Tyrosine Hydroxylase antibody [N1C1] (GTX102424) diluted at 1:1000.
Antigen Retrieval: Citrate buffer, pH 6.0, 15 min

12 / 15
Anti-Tyrosine Hydroxylase antibody [N1C1] used in IHC (Whole mount) (IHC-Wm). GTX102424
GTX102424 IHC-Wm Image

Tyrosine Hydroxylase antibody [N1C1] detects Tyrosine Hydroxylase protein on zebrafish by whole mount immunohistochemical analysis.
Sample: 2 days-post-fertilization zebrafish embryo.
Tyrosine Hydroxylase antibody [N1C1] (GTX102424) dilution: 1:100.

13 / 15
Anti-Tyrosine Hydroxylase antibody [N1C1] used in IHC (Paraffin sections) (IHC-P). GTX102424
GTX102424 IHC-P Image

Tyrosine Hydroxylase antibody [N1C1] detects Tyrosine Hydroxylase protein at cytoplasm by immunohistochemical analysis.
Sample: Paraffin-embedded mouse brain.
Tyrosine Hydroxylase stained by Tyrosine Hydroxylase antibody [N1C1] (GTX102424) diluted at 1:500.
Antigen Retrieval: Citrate buffer, pH 6.0, 15 min

14 / 15
Anti-Tyrosine Hydroxylase antibody [N1C1] used in Western Blot (WB). GTX102424
GTX102424 WB Image

Whole cell extract (30 μg) was separated by 10% SDS-PAGE, and the membrane was blotted with Tyrosine Hydroxylase antibody [N1C1] (GTX102424) diluted at 1:1000. The HRP-conjugated anti-rabbit IgG antibody (GTX213110-01) was used to detect the primary antibody.

15 / 15
Anti-Tyrosine Hydroxylase antibody [N1C1] used in IHC (Frozen sections) (IHC-Fr). GTX102424
Anti-Tyrosine Hydroxylase antibody [N1C1] used in IHC (Paraffin sections) (IHC-P). GTX102424
Anti-Tyrosine Hydroxylase antibody [N1C1] used in IHC (Frozen sections) (IHC-Fr). GTX102424
Anti-Tyrosine Hydroxylase antibody [N1C1] used in IHC (Paraffin sections) (IHC-P). GTX102424
Anti-Tyrosine Hydroxylase antibody [N1C1] used in IHC (Whole mount) (IHC-Wm). GTX102424
Anti-Tyrosine Hydroxylase antibody [N1C1] used in Immunocytochemistry/ Immunofluorescence (ICC/IF). GTX102424
Anti-Tyrosine Hydroxylase antibody [N1C1] used in IHC (Paraffin sections) (IHC-P). GTX102424
Anti-Tyrosine Hydroxylase antibody [N1C1] used in Western Blot (WB). GTX102424
Anti-Tyrosine Hydroxylase antibody [N1C1] used in IHC (Paraffin sections) (IHC-P). GTX102424
Anti-Tyrosine Hydroxylase antibody [N1C1] used in Immunocytochemistry/ Immunofluorescence (ICC/IF). GTX102424
Anti-Tyrosine Hydroxylase antibody [N1C1] used in IHC (Paraffin sections) (IHC-P). GTX102424
Anti-Tyrosine Hydroxylase antibody [N1C1] used in IHC (Paraffin sections) (IHC-P). GTX102424
Anti-Tyrosine Hydroxylase antibody [N1C1] used in IHC (Whole mount) (IHC-Wm). GTX102424
Anti-Tyrosine Hydroxylase antibody [N1C1] used in IHC (Paraffin sections) (IHC-P). GTX102424
Anti-Tyrosine Hydroxylase antibody [N1C1] used in Western Blot (WB). GTX102424
  • 宿主
    Rabbit
  • 克隆
    Polyclonal
  • 同种型
    IgG
  • 实验应用
    WB ICC/IF IHC-P IHC-Fr IHC-Wm
  • 种属反应
    Human, Mouse, Rat, Zebrafish
查看所有 Tyrosine Hydroxylase 的产品