UCP1抗体

目录号 GTX131207
目录号  GTX131207
Anti-UCP1 antibody used in Western Blot (WB). GTX131207
GTX131207 WB Image

Mouse tissue extract (50 μg) was separated by 12% SDS-PAGE, and the membrane was blotted with UCP1 antibody (GTX131207) diluted at 1:1000.

1 / 2
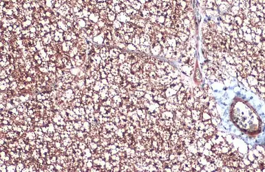
Anti-UCP1 antibody used in IHC (Paraffin sections) (IHC-P). GTX131207
GTX131207 IHC-P Image

UCP1 antibody detects UCP1 protein at cytoplasm by immunohistochemical analysis.
Sample: Paraffin-embedded mouse brown adipocyte.
UCP1 stained by UCP1 antibody (GTX131207) diluted at 1:500.
Antigen Retrieval: Citrate buffer, pH 6.0, 15 min

2 / 2
Anti-UCP1 antibody used in Western Blot (WB). GTX131207
Anti-UCP1 antibody used in IHC (Paraffin sections) (IHC-P). GTX131207
  • 宿主
    Rabbit
  • 克隆
    Polyclonal
  • 同种型
    IgG
  • 实验应用
    WB IHC-P
  • 种属反应
    Mouse
查看所有 UCP1 的产品