UGP2抗体 [N3C3-2]

目录号 GTX107967
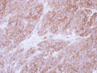
目录号  GTX107967
Anti-UGP2 antibody [N3C3-2] used in IHC (Paraffin sections) (IHC-P). GTX107967
GTX107967 IHC-P Image

UGP2 antibody [N3C3-2] detects UGP2 protein at cytoplasm in mouse duodenum by immunohistochemical analysis.
Sample: Paraffin-embedded mouse duodenum.
UGP2 antibody [N3C3-2] (GTX107967) diluted at 1:500.

Antigen Retrieval: Citrate buffer, pH 6.0, 15 min

1 / 6
Anti-UGP2 antibody [N3C3-2] used in Western Blot (WB). GTX107967
GTX107967 WB Image

Sample (30 ug of whole cell lysate)
A: Hela S3
7.5% SDS PAGE
GTX107967 diluted at 1:1000

2 / 6
Anti-UGP2 antibody [N3C3-2] used in Immunocytochemistry/ Immunofluorescence (ICC/IF). GTX107967
GTX107967 ICC/IF Image

Immunofluorescence analysis of paraformaldehyde-fixed HeLa, using UGP2(GTX107967) antibody at 1:200 dilution.

3 / 6
Anti-UGP2 antibody [N3C3-2] used in IHC (Paraffin sections) (IHC-P). GTX107967
GTX107967 IHC-P Image

UGP2 antibody [N3C3-2] detects UGP2 protein at cytoplasm in mouse liver by immunohistochemical analysis.
Sample: Paraffin-embedded mouse liver.
UGP2 antibody [N3C3-2] (GTX107967) diluted at 1:500.

Antigen Retrieval: Citrate buffer, pH 6.0, 15 min

4 / 6
Anti-UGP2 antibody [N3C3-2] used in IHC (Paraffin sections) (IHC-P). GTX107967
GTX107967 IHC-P Image

Immunohistochemical analysis of paraffin-embedded DLD-1 xenograft , using UGP2(GTX107967) antibody at 1:500 dilution.
Antigen Retrieval: Citrate buffer, pH 6.0, 15 min

5 / 6
Anti-UGP2 antibody [N3C3-2] used in Western Blot (WB). GTX107967
GTX107967 WB Image

The data was published in the journal Elife in 2016.PMID: 26981769

6 / 6
Anti-UGP2 antibody [N3C3-2] used in IHC (Paraffin sections) (IHC-P). GTX107967
Anti-UGP2 antibody [N3C3-2] used in Western Blot (WB). GTX107967
Anti-UGP2 antibody [N3C3-2] used in Immunocytochemistry/ Immunofluorescence (ICC/IF). GTX107967
Anti-UGP2 antibody [N3C3-2] used in IHC (Paraffin sections) (IHC-P). GTX107967
Anti-UGP2 antibody [N3C3-2] used in IHC (Paraffin sections) (IHC-P). GTX107967
Anti-UGP2 antibody [N3C3-2] used in Western Blot (WB). GTX107967
  • 宿主
    Rabbit
  • 克隆
    Polyclonal
  • 同种型
    IgG
  • 实验应用
    WB ICC/IF IHC-P
  • 种属反应
    Human, Mouse
查看所有 UGP2 的产品