USP40抗体

目录号 GTX87648
目录号  GTX87648
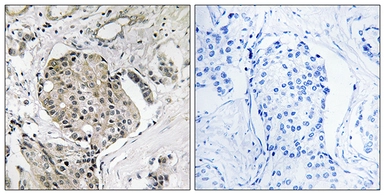
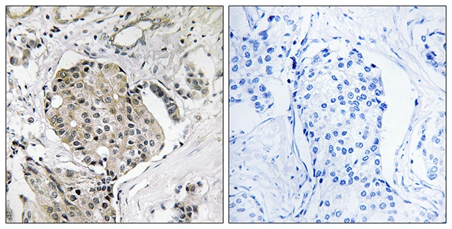
Anti-USP40 antibody used in IHC (Paraffin sections) (IHC-P). GTX87648
GTX87648 IHC-P Image

IHC-P analysis of human breast carcinoma tissue using GTX87648 USP40 antibody. The picture on the right is blocked with the synthesized peptide.

1 / 1
Anti-USP40 antibody used in IHC (Paraffin sections) (IHC-P). GTX87648
  • 宿主
    Rabbit
  • 克隆
    Polyclonal
  • 同种型
    IgG
  • 实验应用
    IHC-P
  • 种属反应
    Human
查看所有 USP40 的产品