VCP抗体 [N1N2], N-term

目录号 GTX113030
目录号  GTX113030
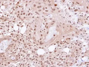
Anti-VCP antibody [N1N2], N-term used in IHC (Paraffin sections) (IHC-P). GTX113030
GTX113030 IHC-P Image

Immunohistochemical analysis of paraffin-embedded Ca922 xenograft, using VCP(p97)(GTX113030) antibody at 1:500 dilution.
Antigen Retrieval: Trilogy™ (EDTA based, pH 8.0) buffer, 15min

1 / 17
Anti-VCP antibody [N1N2], N-term used in Western Blot (WB). GTX113030
GTX113030 WB Image

Sample (50 ug of whole cell lysate)
A: mouse brain
7.5% SDS PAGE
GTX113030 diluted at 1:5000

2 / 17
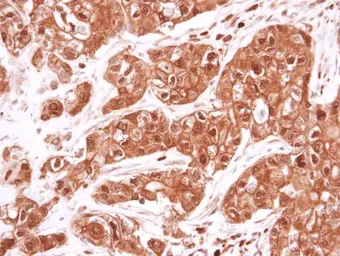
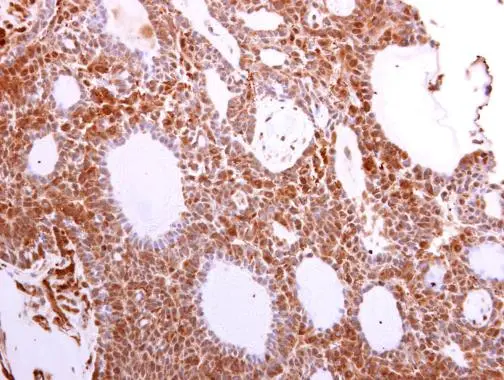
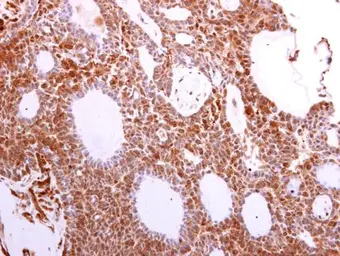
Anti-VCP antibody [N1N2], N-term used in IHC (Paraffin sections) (IHC-P). GTX113030
GTX113030 IHC-P Image

VCP antibody [N1N2], N-term detects VCP protein at cytoplasm and nucleus in human lung adenocarcinoma by immunohistochemical analysis.
Sample: Paraffin-embedded human lung adenocarcinoma.
VCP antibody [N1N2], N-term (GTX113030) diluted at 1:500.

Antigen Retrieval: Trilogy™ (EDTA based, pH 8.0) buffer, 15min

3 / 17
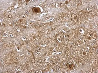
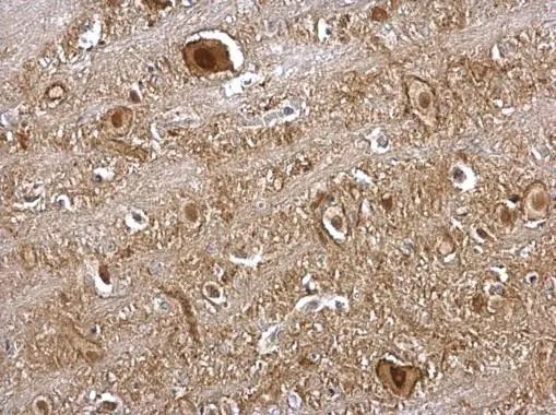
Anti-VCP antibody [N1N2], N-term used in IHC (Paraffin sections) (IHC-P). GTX113030
GTX113030 IHC-P Image

VCP antibody [N1N2], N-term detects VCP protein at nucleus and cytosol on rat brain stem by immunohistochemical analysis.
Sample: Paraffin-embedded rat brain stem.
VCP antibody [N1N2], N-term (GTX113030) dilution: 1:500.

Antigen Retrieval: Trilogy™ (EDTA based, pH 8.0) buffer, 15min

4 / 17
Anti-VCP antibody [N1N2], N-term used in Western Blot (WB). GTX113030
GTX113030 WB Image

Various whole cell extracts (30 μg) were separated by 7.5% SDS-PAGE, and the membrane was blotted with VCP antibody [N1N2], N-term (GTX113030) diluted at 1:1000. The HRP-conjugated anti-rabbit IgG antibody (GTX213110-01) was used to detect the primary antibody.

5 / 17
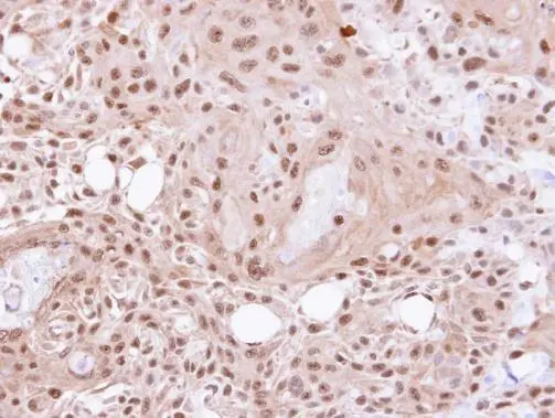
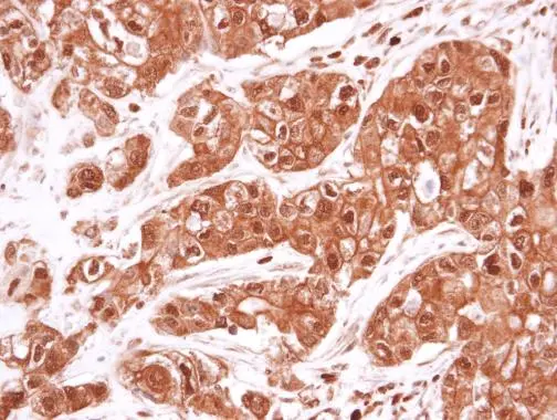
Anti-VCP antibody [N1N2], N-term used in IHC (Paraffin sections) (IHC-P). GTX113030
GTX113030 IHC-P Image

VCP antibody [N1N2], N-term detects VCP protein at cytoplasm and nucleus in human lung adenocarcinoma by immunohistochemical analysis.
Sample: Paraffin-embedded human lung adenocarcinoma.
VCP antibody [N1N2], N-term (GTX113030) diluted at 1:500.

Antigen Retrieval: Trilogy™ (EDTA based, pH 8.0) buffer, 15min

6 / 17
Anti-VCP antibody [N1N2], N-term used in Western Blot (WB). GTX113030
GTX113030 WB Image

VCP antibody detects VCP protein by Western blot analysis.
A. 50 μg rat brain lysate/extract
7.5 % SDS-PAGE
VCP antibody (GTX113030) dilution: 1:1000

7 / 17
Anti-VCP antibody [N1N2], N-term used in IHC (Whole mount) (IHC-Wm). GTX113030
GTX113030 IHC-Wm Image

VCP antibody [N1N2], N-term detects Vcp protein on zebrafish by whole mount immunohistochemical analysis.
Sample: 1 day-post-fertilization zebrafish embryo.
VCP antibody [N1N2], N-term (GTX113030) dilution: 1:100.

8 / 17
Anti-VCP antibody [N1N2], N-term used in Western Blot (WB). GTX113030
GTX113030 WB Image

Various tissue extracts (30 μg) were separated by 7.5% SDS-PAGE, and the membrane was blotted with VCP antibody [N1N2], N-term (GTX113030) diluted at 1:1000. The HRP-conjugated anti-rabbit IgG antibody (GTX213110-01) was used to detect the primary antibody.

9 / 17
Anti-VCP antibody [N1N2], N-term used in IHC (Paraffin sections) (IHC-P). GTX113030
GTX113030 IHC-P Image

Immunohistochemical analysis of paraffin-embedded zebrafish tissue, using VCP antibody [N1N2], N-term (GTX113030) at 1:300 dilution.

10 / 17
Anti-VCP antibody [N1N2], N-term used in Western Blot (WB). GTX113030
GTX113030 WB Image

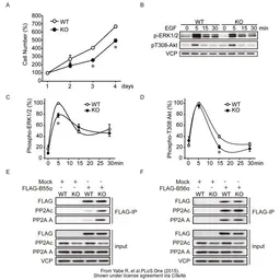
The data was published in the journal PLoS One in 2015. PMID: 26678046

11 / 17
Anti-VCP antibody [N1N2], N-term used in Western Blot (WB). GTX113030
GTX113030 WB Image

The data was published in the journal Sci Rep in 2017. PMID: 28655918

12 / 17
Anti-VCP antibody [N1N2], N-term used in Western Blot (WB). GTX113030
GTX113030 WB Image

The data was published in the journal FEBS Open Bio in 2018.PMID: 30186749

13 / 17
Anti-VCP antibody [N1N2], N-term used in Western Blot (WB). GTX113030
GTX113030 WB Image

The data was published in the journal FEBS Open Bio in 2018.PMID: 30186749

14 / 17
Anti-VCP antibody [N1N2], N-term used in Western Blot (WB). GTX113030
GTX113030 WB Image

The data was published in the journal FEBS Open Bio in 2018.PMID: 30186749

15 / 17
Anti-VCP antibody [N1N2], N-term used in Western Blot (WB). GTX113030
GTX113030 WB Image

The data was published in the journal FEBS Open Bio in 2018.PMID: 30186749

16 / 17
Anti-VCP antibody [N1N2], N-term used in Western Blot (WB). GTX113030
GTX113030 WB Image

The data was published in the 2022 in BMC Cancer. PMID: 35277124

17 / 17
Anti-VCP antibody [N1N2], N-term used in IHC (Paraffin sections) (IHC-P). GTX113030
Anti-VCP antibody [N1N2], N-term used in Western Blot (WB). GTX113030
Anti-VCP antibody [N1N2], N-term used in IHC (Paraffin sections) (IHC-P). GTX113030
Anti-VCP antibody [N1N2], N-term used in IHC (Paraffin sections) (IHC-P). GTX113030
Anti-VCP antibody [N1N2], N-term used in Western Blot (WB). GTX113030
Anti-VCP antibody [N1N2], N-term used in IHC (Paraffin sections) (IHC-P). GTX113030
Anti-VCP antibody [N1N2], N-term used in Western Blot (WB). GTX113030
Anti-VCP antibody [N1N2], N-term used in IHC (Whole mount) (IHC-Wm). GTX113030
Anti-VCP antibody [N1N2], N-term used in Western Blot (WB). GTX113030
Anti-VCP antibody [N1N2], N-term used in IHC (Paraffin sections) (IHC-P). GTX113030
Anti-VCP antibody [N1N2], N-term used in Western Blot (WB). GTX113030
Anti-VCP antibody [N1N2], N-term used in Western Blot (WB). GTX113030
Anti-VCP antibody [N1N2], N-term used in Western Blot (WB). GTX113030
Anti-VCP antibody [N1N2], N-term used in Western Blot (WB). GTX113030
Anti-VCP antibody [N1N2], N-term used in Western Blot (WB). GTX113030
Anti-VCP antibody [N1N2], N-term used in Western Blot (WB). GTX113030
Anti-VCP antibody [N1N2], N-term used in Western Blot (WB). GTX113030
  • 宿主
    Rabbit
  • 克隆
    Polyclonal
  • 同种型
    IgG
  • 实验应用
    WB IHC-P IHC-Wm
  • 种属反应
    Human, Mouse, Rat, Zebrafish, Dog
查看所有 VCP 的产品