Vesicular Acetylcholine Transporter抗体

目录号 GTX133251
目录号  GTX133251
Anti-Vesicular Acetylcholine Transporter antibody used in IHC (Paraffin sections) (IHC-P). GTX133251
GTX133251 IHC-P Image

Vesicular Acetylcholine Transporter antibody detects Vesicular Acetylcholine Transporter protein by immunohistochemical analysis.
Samples: Paraffin-embedded mouse retina.
Green: Vesicular Acetylcholine Transporter protein stained by Vesicular Acetylcholine Transporter antibody (GTX133251) diluted at 1:250.
Red: beta Tubulin 3/ Tuj1, a marker, stained by beta Tubulin 3/ Tuj1 antibody [GT1338] (GTX631831) diluted at 1:500.
Blue: Fluoroshield with DAPI (GTX30920).

Antigen Retrieval: Citrate buffer, pH 6.0, 15 min

1 / 3
Anti-Vesicular Acetylcholine Transporter antibody used in IHC (Frozen sections) (IHC-Fr). GTX133251
GTX133251 IHC-Fr Image

Vesicular Acetylcholine Transporter antibody detects Vesicular Acetylcholine Transporter protein by immunohistochemical analysis.
Sample: Frozen-sectioned mouse hippocampus.
Green: Vesicular Acetylcholine Transporter stained by Vesicular Acetylcholine Transporter antibody (GTX133251) diluted at 1:250.
Blue: Fluoroshield with DAPI (GTX30920).
Antigen Retrieval: Citrate buffer, pH 6.0, 10 min

2 / 3
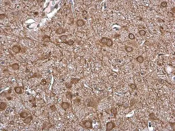
Anti-Vesicular Acetylcholine Transporter antibody used in IHC (Paraffin sections) (IHC-P). GTX133251
GTX133251 IHC-P Image

Vesicular Acetylcholine Transporter antibody detects Vesicular Acetylcholine Transporter protein at cell membrane and cytoplasm by immunohistochemical analysis.
Sample: Paraffin-embedded rat brain.
Vesicular Acetylcholine Transporter stained by Vesicular Acetylcholine Transporter antibody (GTX133251) diluted at 1:500.
Antigen Retrieval: Citrate buffer, pH 6.0, 15 min

3 / 3
Anti-Vesicular Acetylcholine Transporter antibody used in IHC (Paraffin sections) (IHC-P). GTX133251
Anti-Vesicular Acetylcholine Transporter antibody used in IHC (Frozen sections) (IHC-Fr). GTX133251
Anti-Vesicular Acetylcholine Transporter antibody used in IHC (Paraffin sections) (IHC-P). GTX133251
  • 宿主
    Rabbit
  • 克隆
    Polyclonal
  • 同种型
    IgG
  • 实验应用
    IHC-P IHC-Fr
  • 种属反应
    Mouse, Rat
查看所有 Vesicular Acetylcholine Transporter 的产品